【10代女性】早めに始める受け口(反対咬合)の矯正治療
治療概要
- 患者様:10代女性
- 治療期間:1年6ヶ月
- 矯正装置:インビザライン コンプリヘンシブパッケージ
- 概算治療費:88万円
※費用は治療当時の料金となります - 担当医:福本健生
治療動機
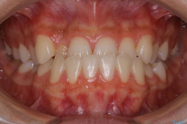
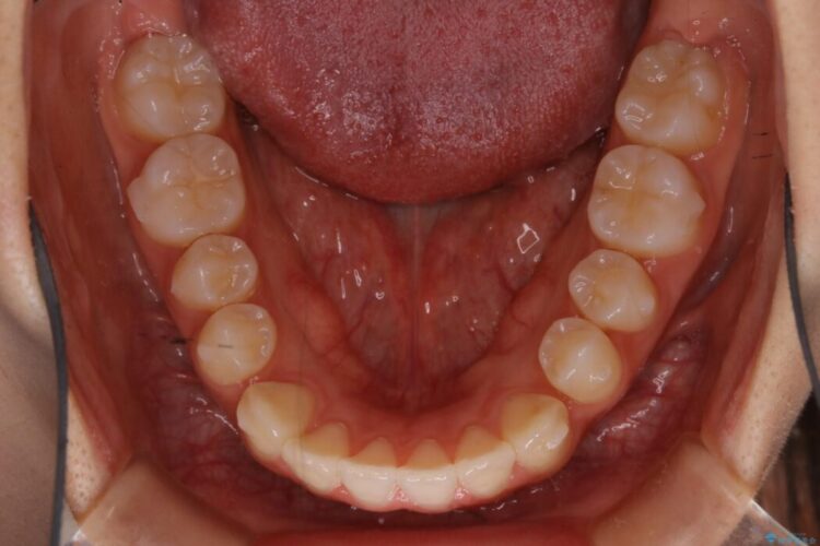
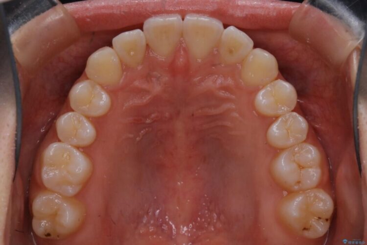
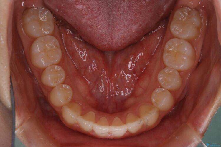
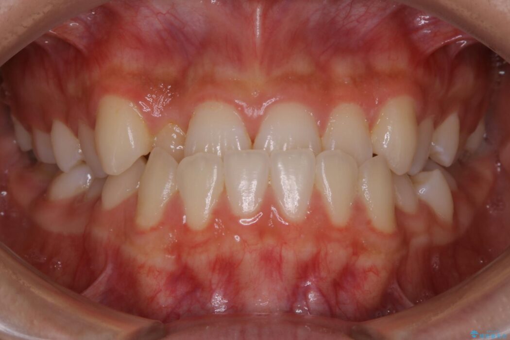
下の歯が上の歯より前に出ている受け口と前歯のガタガタ(叢生)について治療したいとのことで来院されました。
治療計画
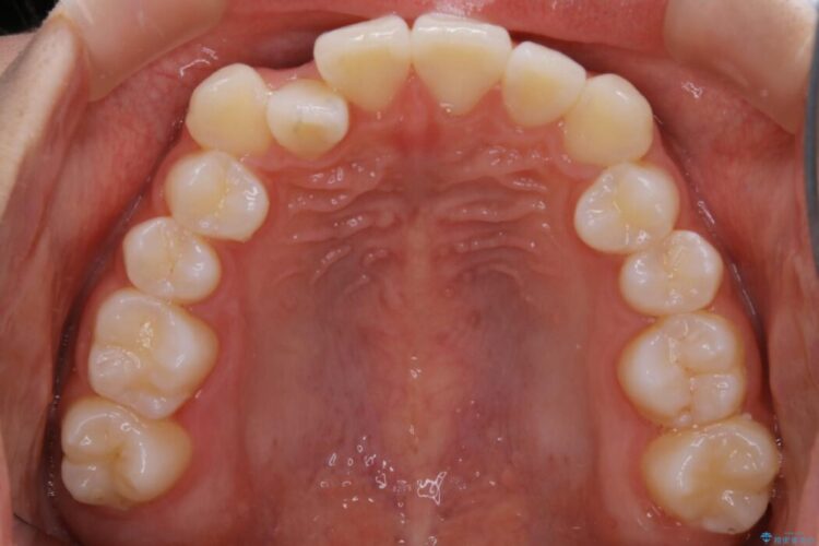
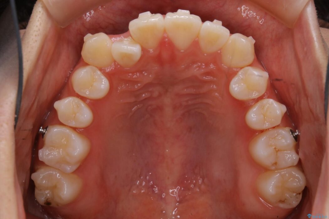
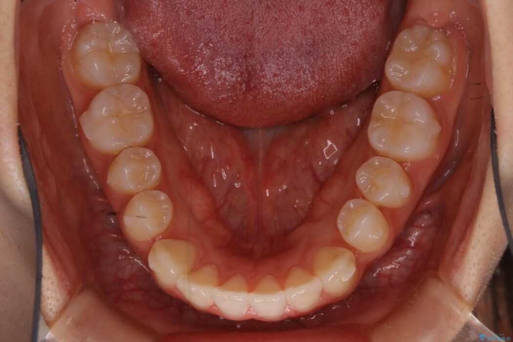
詳しく検査したところ、上顎の歯が舌側に倒れこんでしまっていることや歯列のガタガタなどにより口を閉じた時に上下の前歯の先端が接触してしまっていました。
更に深く噛もうと力を入れると、下顎が前方に突き出して前歯が当たらないように噛んでしまう機能性の反対咬合という診断となりました。
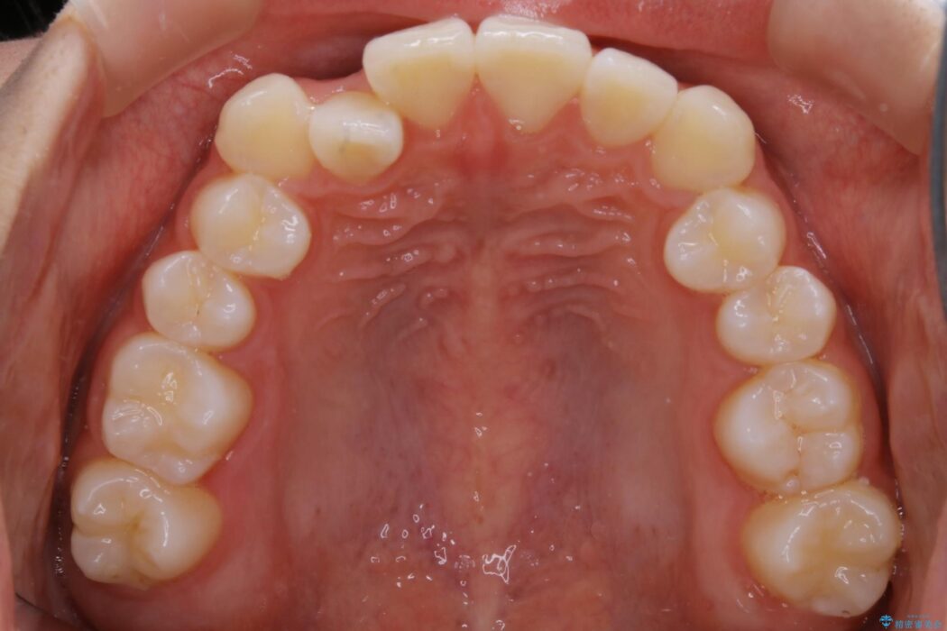
よってまずは上顎の歯列を整えることから始め、前歯同士の衝突を改善してから、噛みこむ位置を本来あるべき後方へと調整することとしました。
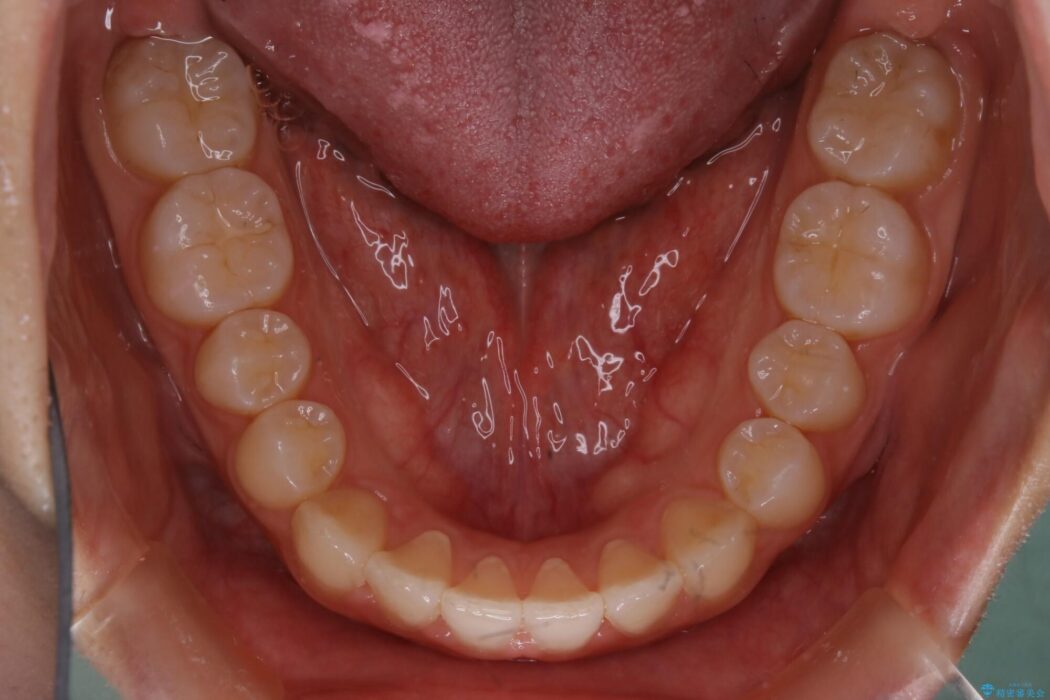
今回のケースでは非抜歯での治療を行っています。
治療後について
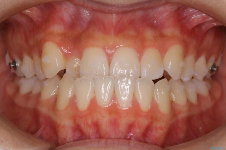
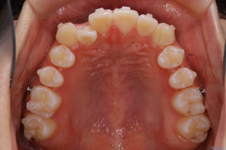
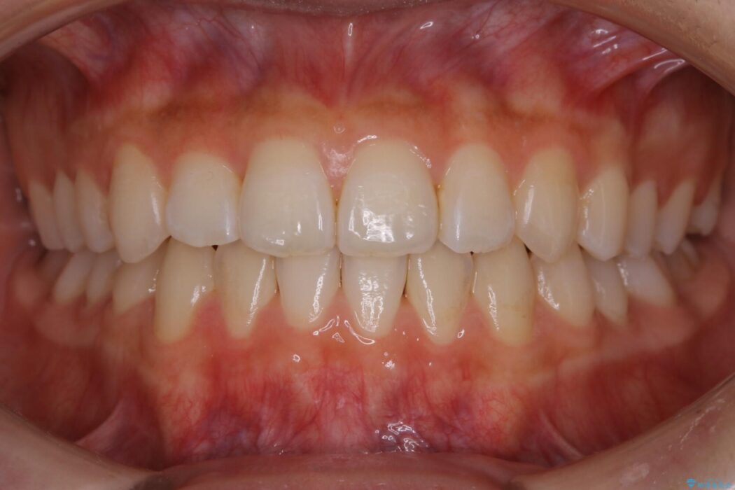
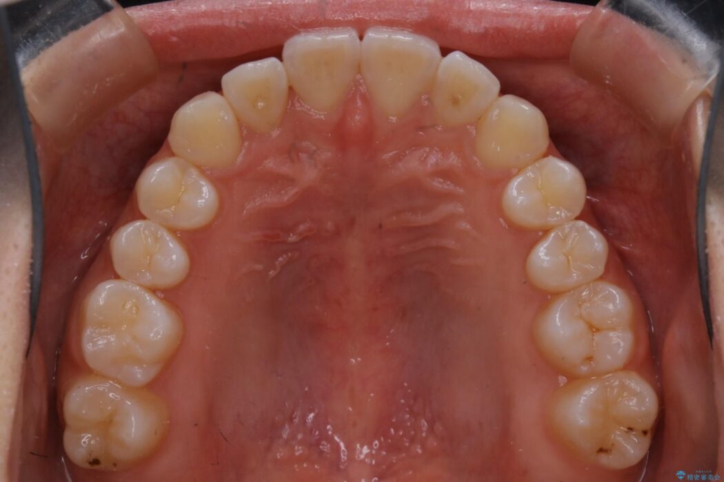
正常な噛み合わせ位置へと改善したことにより奥歯で噛みしめることができ、加えて見た目も受け口から変わって大変ご満足いただけました。
反対咬合(受け口)について
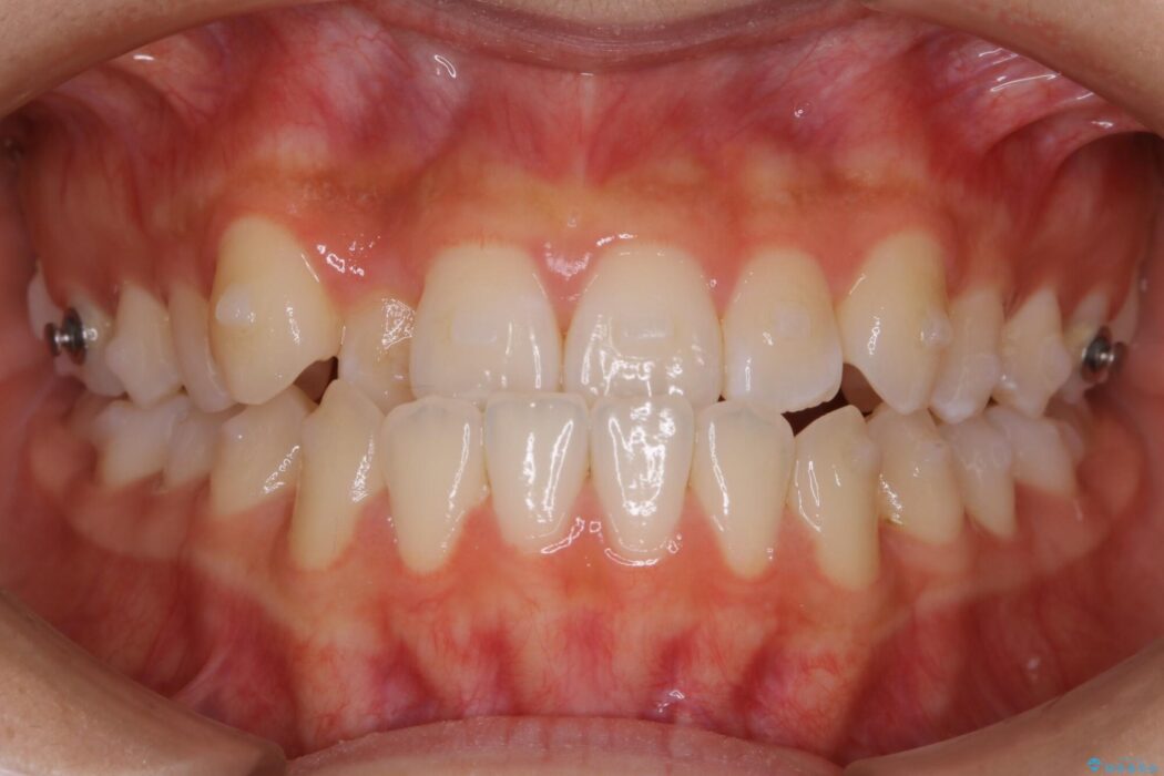
正常な噛み合わせの場合は、上顎の前歯が下顎前歯より前方にあり、覆いかぶさるような状態となります。
反対咬合(受け口)の場合は、その名の通り反対に下顎の前歯が上顎の前歯より前方へ出てきている状態です。
原因としては、先天的・後天的なものがあり、①骨格的問題 ②機能的問題 の2つに大きく分けることができます。
①に関しては、外科的手術を併用した矯正治療を必要とする場合が多く、大学病院や専門の設備を備えた医院での治療が必要となります。
②に関しては、外科的手術を必要とせず歯を本来の場所へと並べることによって噛み合わせが改善し、顔貌を変化させることができる場合があります。
関連する他の症例
マウスピース矯正の注意事項(リスク・副作用など)
- 口腔内・歯並びの状態によっては対応できない場合があります
- マウスピース型矯正装置の長時間装着(1日20時間以上)が必須です
- 治療計画通りに進めるためには、患者様の意志が重要になります
- 矯正治療後の保定が不十分だと後戻り(元の位置に戻ろうとする動き)をします
- 薬機法対象外の矯正歯科装置のため医薬品副作用被害救済制度の対象外となる場合があります
- 自費診療(保険適用外)となります









