【20代女性】前歯が噛み合わない!開咬(オープンバイト)の矯正治療
治療概要
- 患者様:20代女性
- 治療期間:1年2ヶ月
- 矯正装置:インビザライン ライトパッケージ
- 概算治療費:49.5万円
※費用は治療当時の料金となります - 担当医:福本健生
治療動機
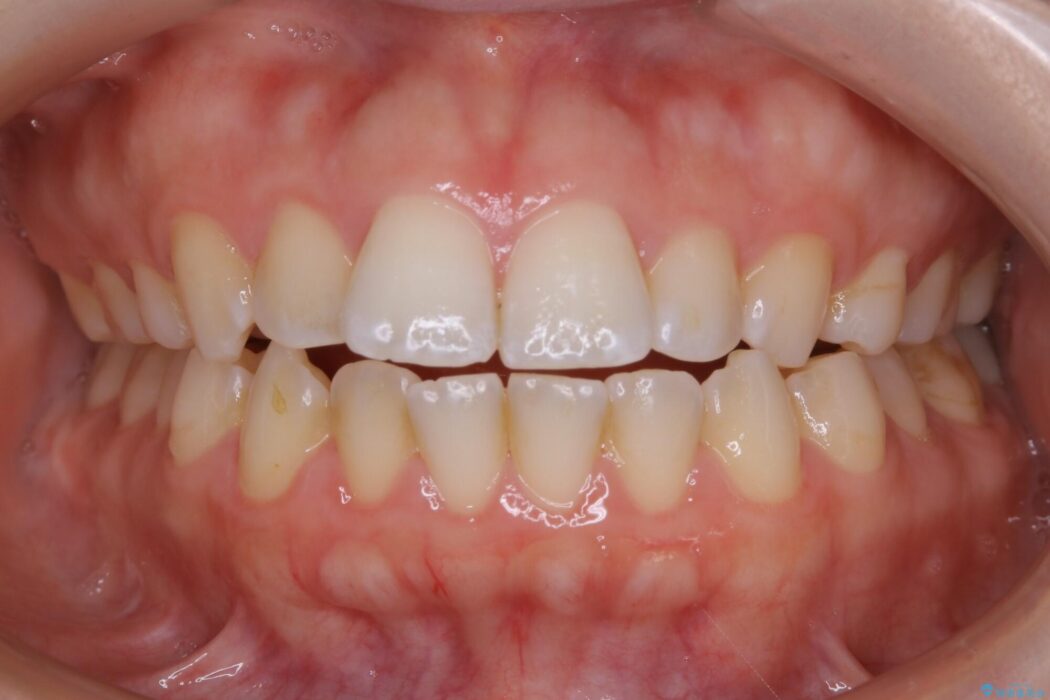
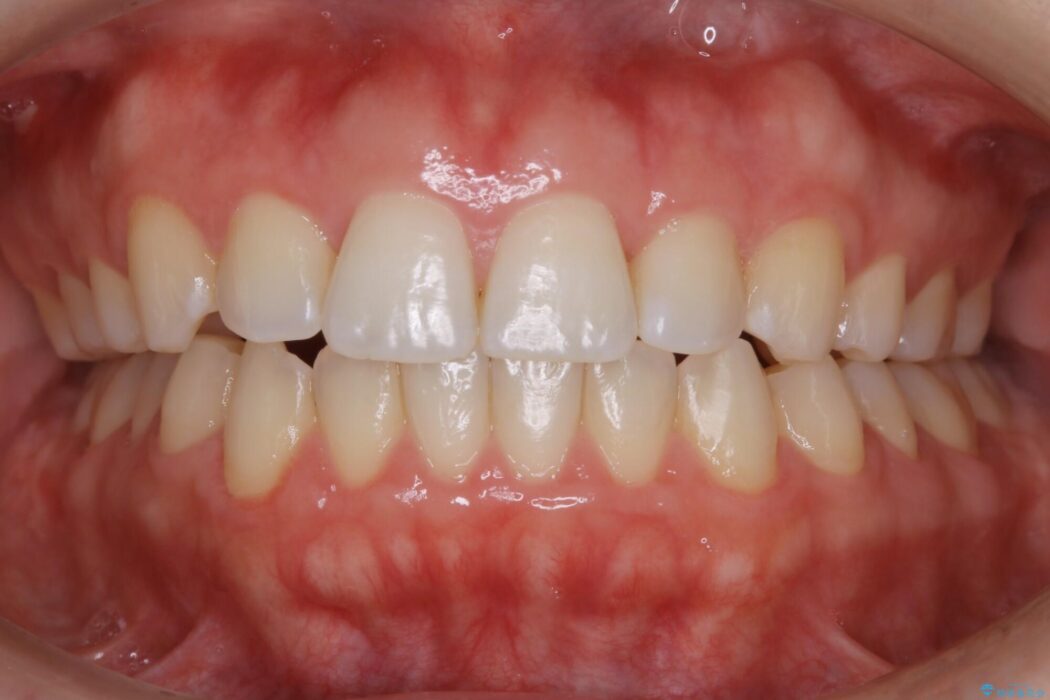
噛み合わせが悪く困っているため改善したいとのことで来院されました。
治療計画
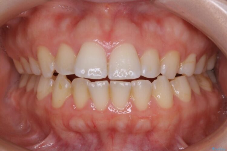
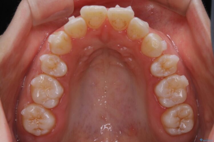
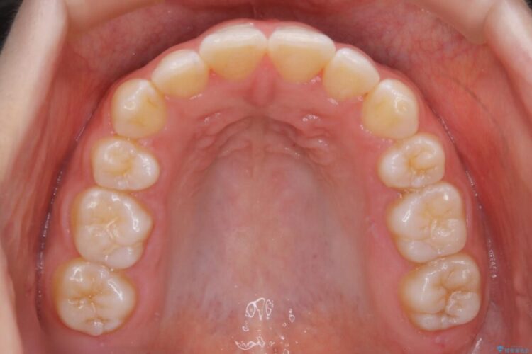
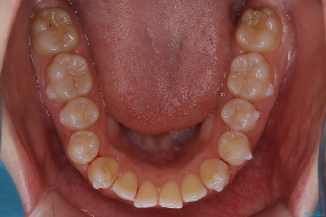
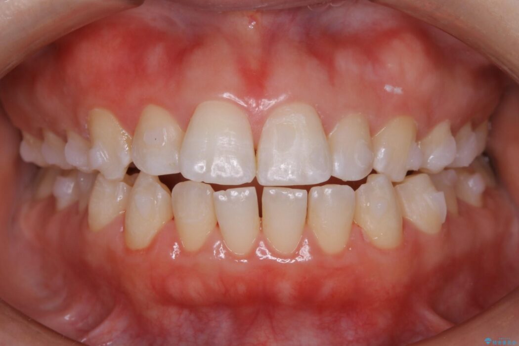
噛んだ時に奥歯しか当たっていない状態で、上の前歯が下の前歯に被蓋せず隙間が空いてしまっている開咬を認めました。
詳しく検査したところ、骨格的な問題もありました。
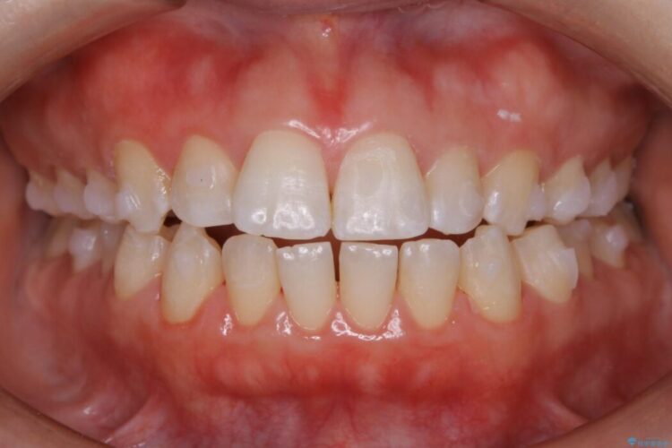
本症例では奥歯を沈めてあげることで噛み合わせを改善していく計画としました。
開咬(オープンバイト)とは
開咬(オープンバイト)は不正咬合の一種です。臼歯の位置が高く、噛んだ時に奥歯しか当たらなかったり、舌癖などが原因で前歯が前に倒れてしまうことで上下の前歯の被蓋がなくなってしまっている状態のことをいいます。
前者の場合は臼歯を圧下し沈めてあげることで改善させます。
後者の場合は前方に傾斜している歯を元の角度に戻してあげることで改善しますが、舌癖がある場合はその癖自体を無くす治療をしない限りまた同じ状態へと後戻りしてしまいます。
関連する他の症例
マウスピース矯正の注意事項(リスク・副作用など)
- 口腔内・歯並びの状態によっては対応できない場合があります
- マウスピース型矯正装置の長時間装着(1日20時間以上)が必須です
- 治療計画通りに進めるためには、患者様の意志が重要になります
- 矯正治療後の保定が不十分だと後戻り(元の位置に戻ろうとする動き)をします
- 薬機法対象外の矯正歯科装置のため医薬品副作用被害救済制度の対象外となる場合があります
- 自費診療(保険適用外)となります









