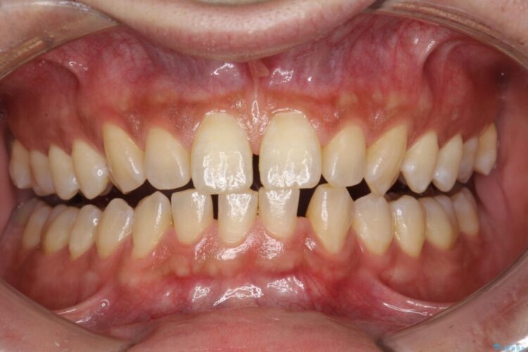
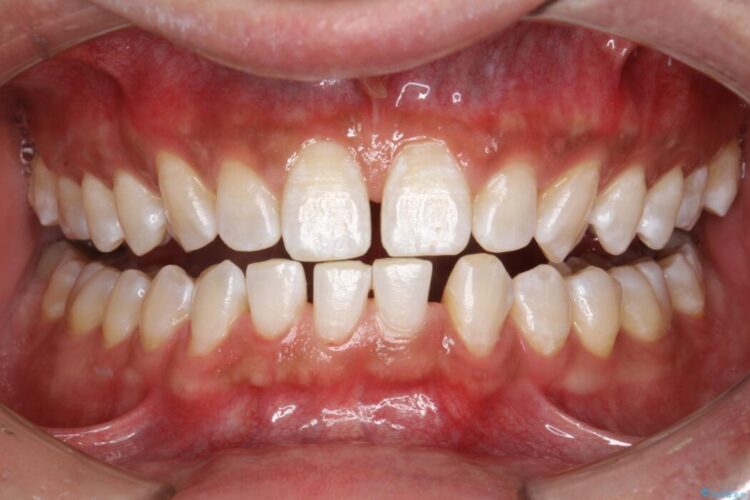
【30代男性】ホワイトニングでできる限り白くしたい
治療概要
- 患者様:30代男性
- 治療期間:1日
- 概算治療費:¥33,550 (税込)
※費用は治療当時の料金となります - 担当医:歯科衛生士
治療動機
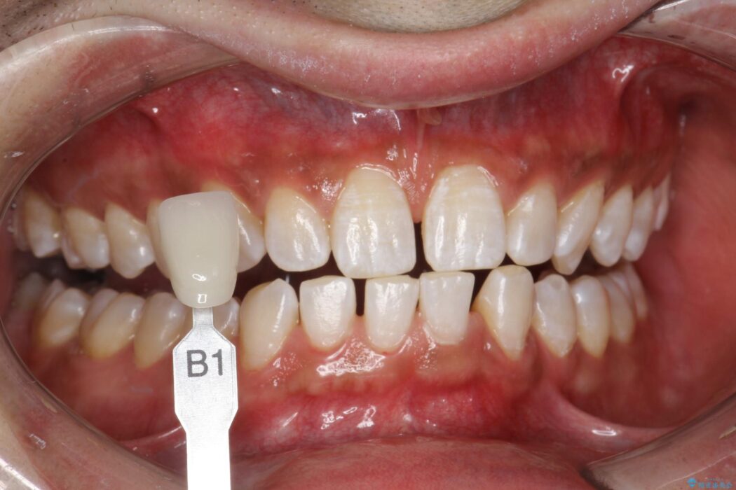
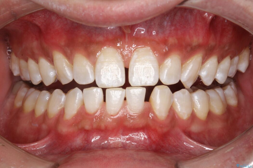
ホワイトニングで、できる限り白くしたいとのことで来院されました。
治療計画
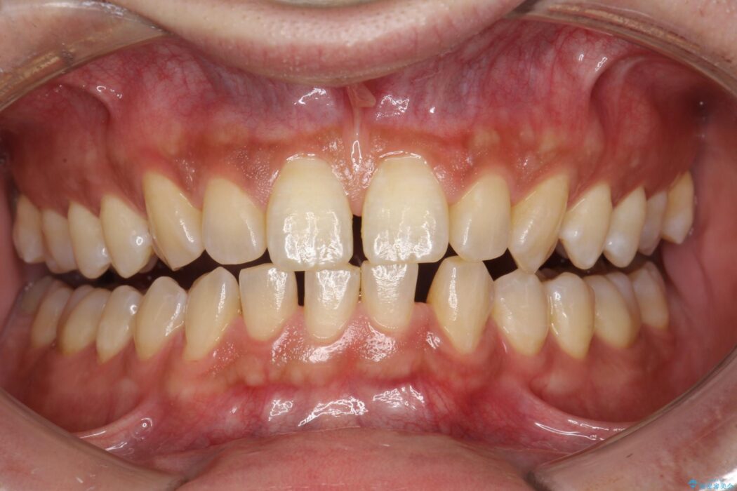
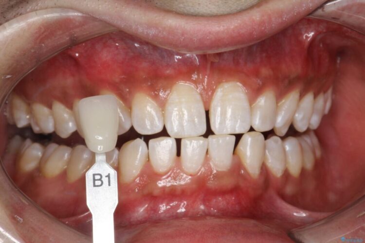
処置前クリーニング(¥3,300)・エクセレントホワイトニング(¥29,700)・トリートメント(¥550)を行いました。
治療後について
ホワイトニング剤に含まれる過酸化水素・過酸化尿素には、歯を痛めることなく内部の色素を分解する力があります。ホワイトニング剤を塗布することで、より深いところの色素まで分解し、白くすることができます。
さらに白さを目指す場合は、デュアルホワイトニングを行うことがより効果が期待できます。
デュアルホワイトニングとは
オフィスホワイトニングとホームホワイトニングを併用して行う方法です。
それぞれのホワイトニングを単体で行うよりも、短時間で、白さアップが期待できます。効果も長持ちしやすいと言われています。
関連する他の症例
ホワイトニングの注意事項(リスク・副作用など)
- 知覚過敏が出ることがあります
- ホワイトバンドや白い斑点が出ることがあります
- クラウンやインレー等の補綴物には効果がありません
- ホワイトニングによる効果や持続期間には個人差があります
- 歯牙の状態によっては適応できないことがあります
- 保険適用外となります




