【30代女性】前歯の反対咬合をマウスピースで改善
治療概要
- 患者様:30代女性
- 治療期間:1年4ヶ月
- 矯正装置:インビザライン コンプリヘンシブパッケージ
- 概算治療費:88万円
※費用は治療当時の料金となります - 担当医:福本健生
治療動機
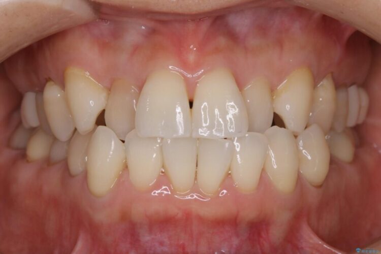
前歯のガタつき、噛み合わせの不調を改善したいとご来院されました。
治療計画
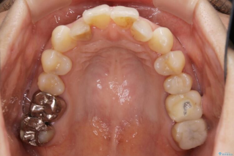
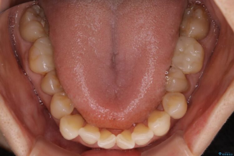
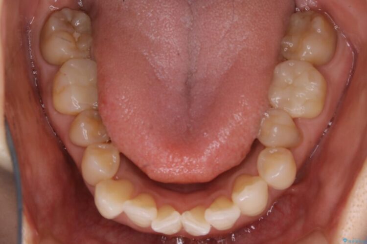
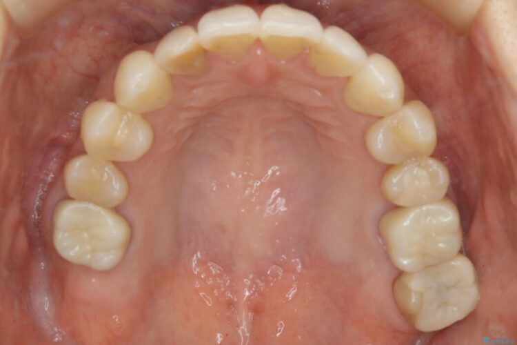
全体的に歯列が狭窄しており、本来外側に覆いかぶさっている上の前歯が内側に入り込んでいました。
歯列弓全体の形状を整えるとともに歯の大きさもコントロールすることで非抜歯にて矯正を行いました。
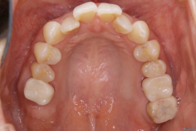
治療後について
気になっていたガタつきも改善され、患者様にはご満足いただけました。
歯列弓の拡大
歯並びが悪くなる原因の一つに「歯列弓の狭窄」というものがあります。
奥歯や前歯が内側(舌側)に倒れ込んでしまったり、歯が生えてくる位置が内側になってしまうことにより歯並びのアーチが狭くなってしまうことを言います。
このような場合、歯並びのアーチを拡大してあげるだけでもガタつきを無くすためのスペースがかなり作れることがあります。
関連する他の症例
マウスピース矯正の注意事項(リスク・副作用など)
- 口腔内・歯並びの状態によっては対応できない場合があります
- マウスピース型矯正装置の長時間装着(1日20時間以上)が必須です
- 治療計画通りに進めるためには、患者様の意志が重要になります
- 矯正治療後の保定が不十分だと後戻り(元の位置に戻ろうとする動き)をします
- 薬機法対象外の矯正歯科装置のため医薬品副作用被害救済制度の対象外となる場合があります
- 自費診療(保険適用外)となります









