【20代女性】短期間でのインビザライン治療で見た目の悩みを改善する
治療概要
- 患者様:20代女性
- 治療期間:6ヶ月
- 矯正装置:インビザラインライトパッケージ
- 概算治療費:49万円
※費用は治療当時の料金となります - 担当医:福本健生
治療動機
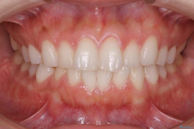
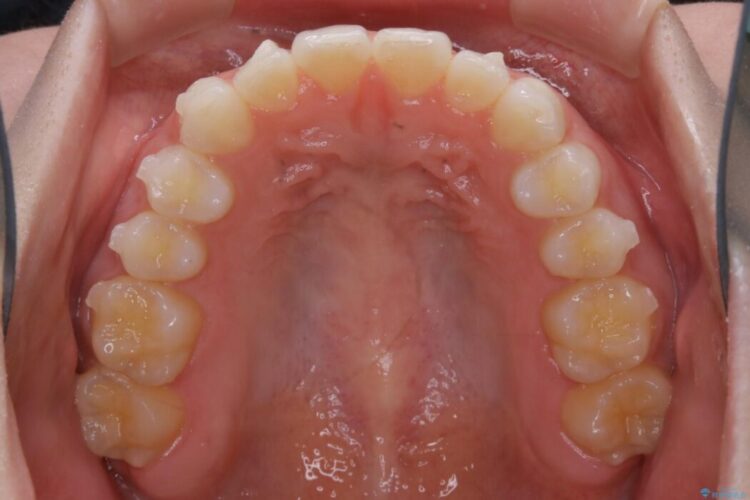
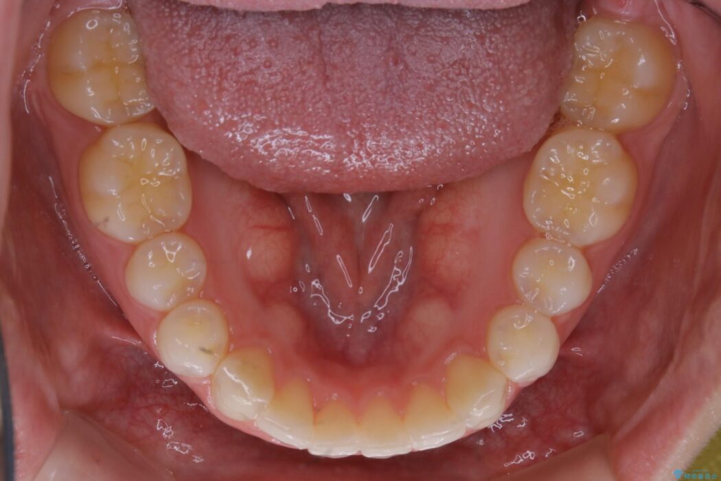
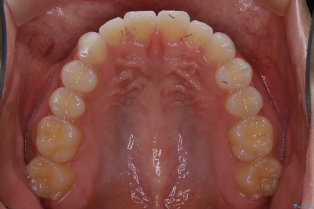
上下前歯のねじれなどで生じている歯列のガタつきをなおしたいとのことで来院されました。
治療計画
患者様のご要望は可能な限り短期間・低コストで、とのことでした。
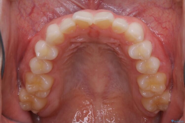
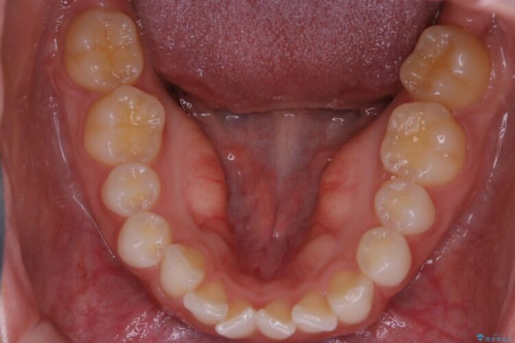
精密検査をしたところ、奥歯に大きな問題がないため移動はほとんど必要がなく、また主訴であるガタつきの改善に必要なスペースも少量であったため、インビザラインのライトパッケージの治療をご提案しました。
治療後について
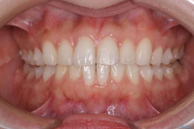
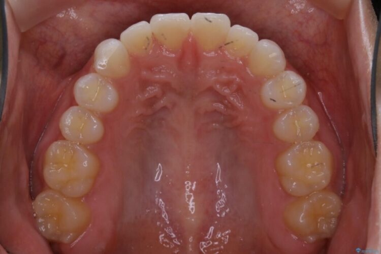
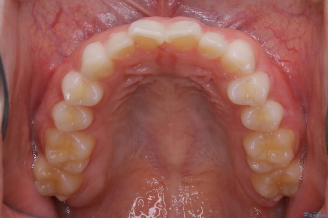
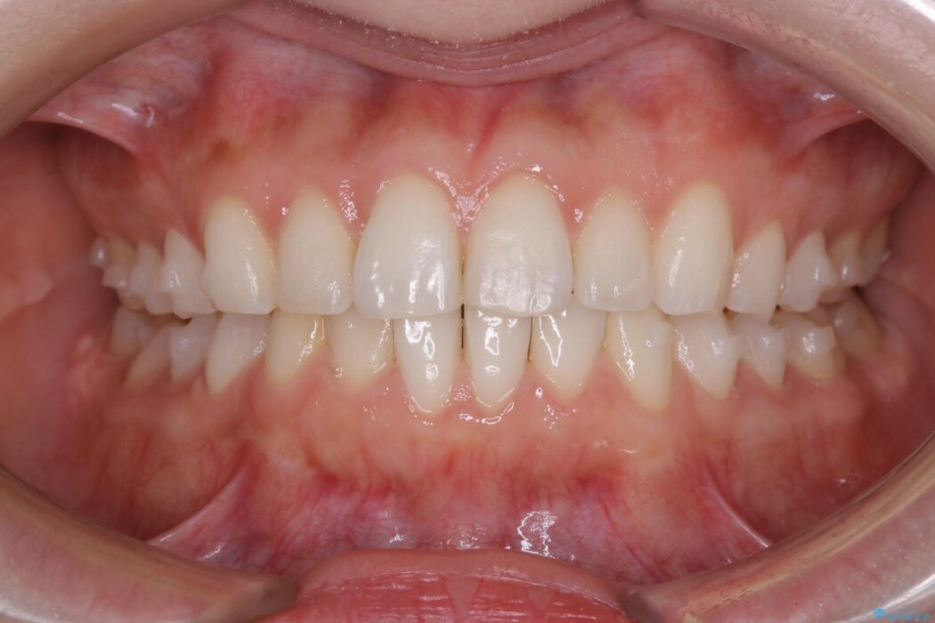
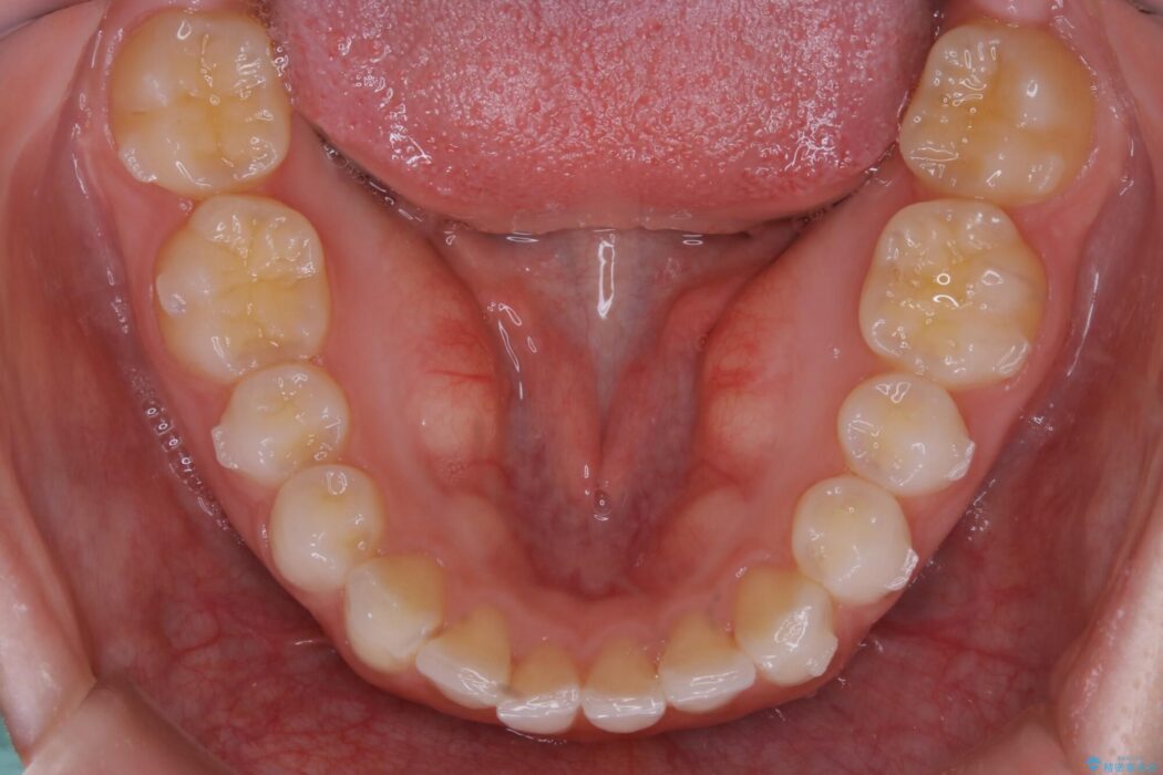
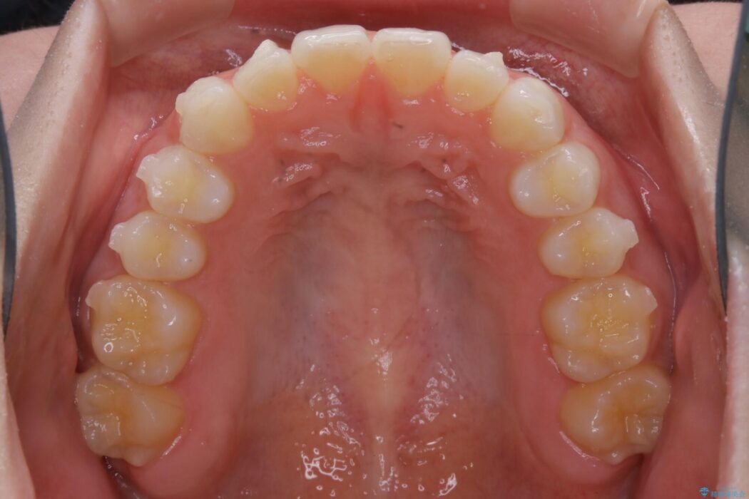
半年という短期間でスピード治療が完了しました。
治療期間、治療後の出来ともに大変ご満足いただけました。
治療について
患者様の歯の状態によってはマウスピース治療でも部分矯正のように短い治療期間で歯列の矯正をすることが可能です。
治療期間・費用が共に抑えられるため、今まで矯正への一歩を踏み出せずにいた方でも満足のいく治療が受けられる場合があります。
関連する他の症例
マウスピース矯正の注意事項(リスク・副作用など)
- 口腔内・歯並びの状態によっては対応できない場合があります
- マウスピース型矯正装置の長時間装着(1日20時間以上)が必須です
- 治療計画通りに進めるためには、患者様の意志が重要になります
- 矯正治療後の保定が不十分だと後戻り(元の位置に戻ろうとする動き)をします
- 薬機法対象外の矯正歯科装置のため医薬品副作用被害救済制度の対象外となる場合があります
- 自費診療(保険適用外)となります









