【30代女性】短期間で非抜歯による反対咬合(受け口)の改善
治療概要
- 患者様:30代女性
- 治療期間:1年
- 矯正装置:インビザライン コンプリヘンシブパッケージ
- 概算治療費:77万円
※費用は治療当時の料金となります - 担当医:福本健生
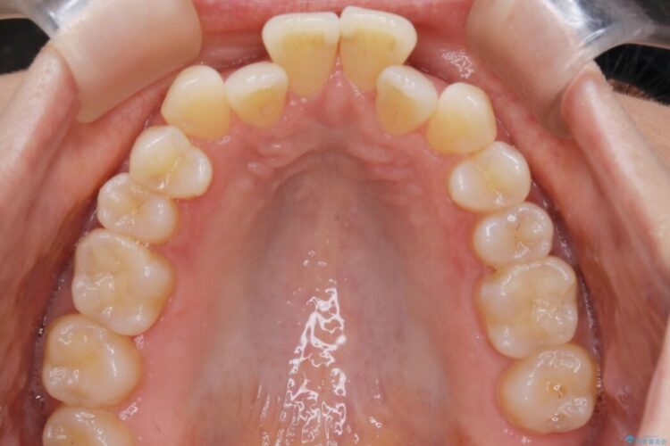
治療動機
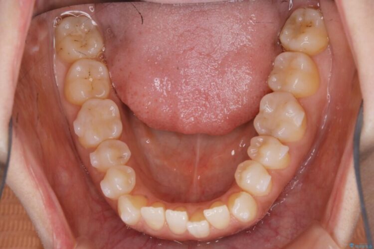
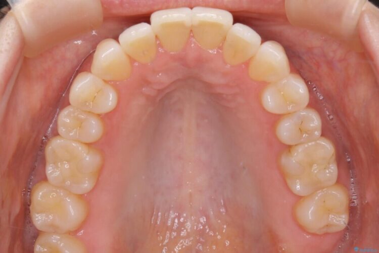
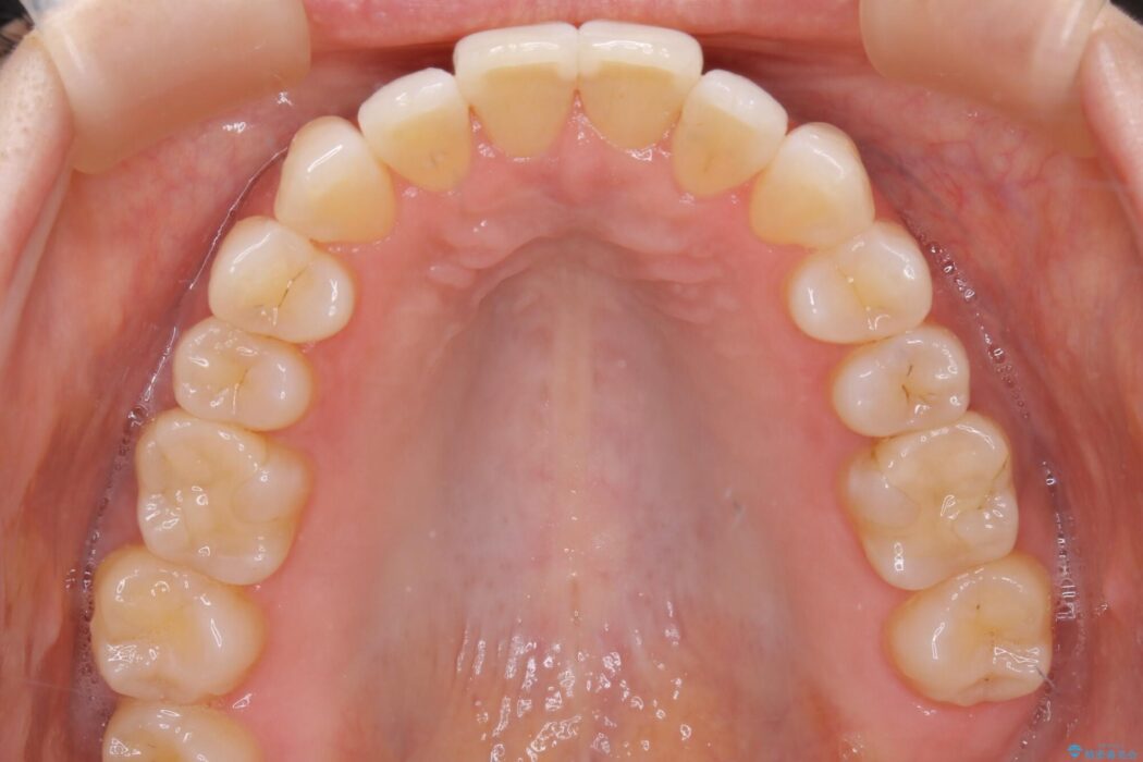
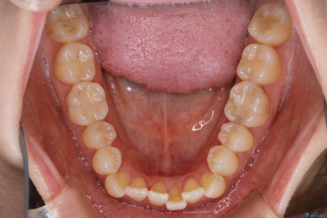
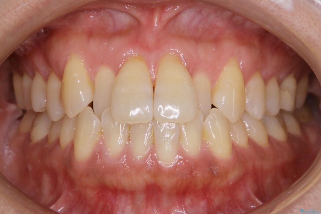
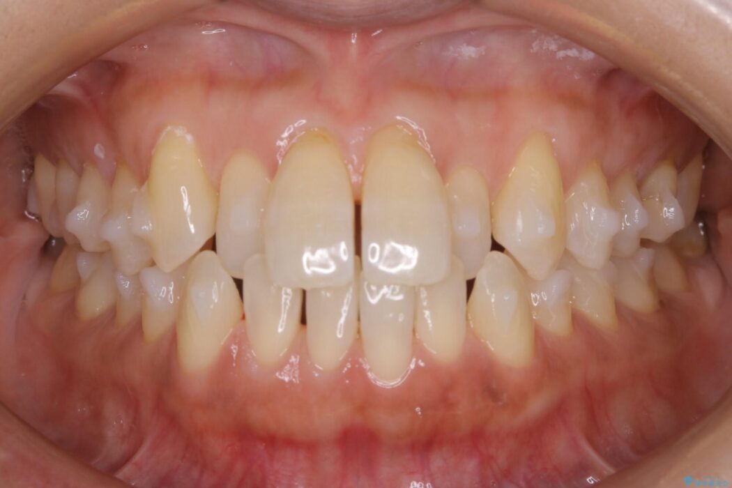
前から2番目の側切歯と呼ばれる歯が内側に生えており歯列がガタガタになっているのを治したいとのことで来院されました。
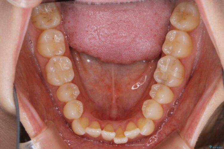
治療計画
詳しく検査をしたところ叢生はあるものの幸いにも奥歯の噛み合わせに問題がほとんど見られませんでした。よって歯列を整えるスペースを確保するため、歯列弓の拡大に加えIPR(歯と歯の隣接部分を少し削る)をする必要最低限の移動で歯列矯正治療をすることとしました。
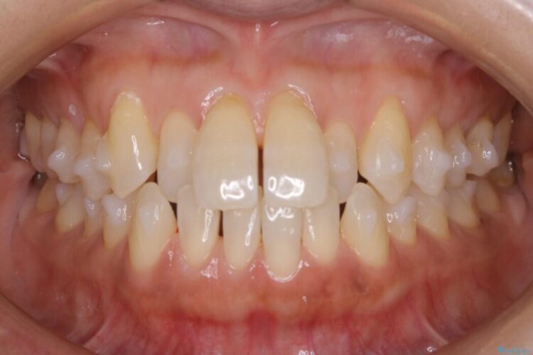
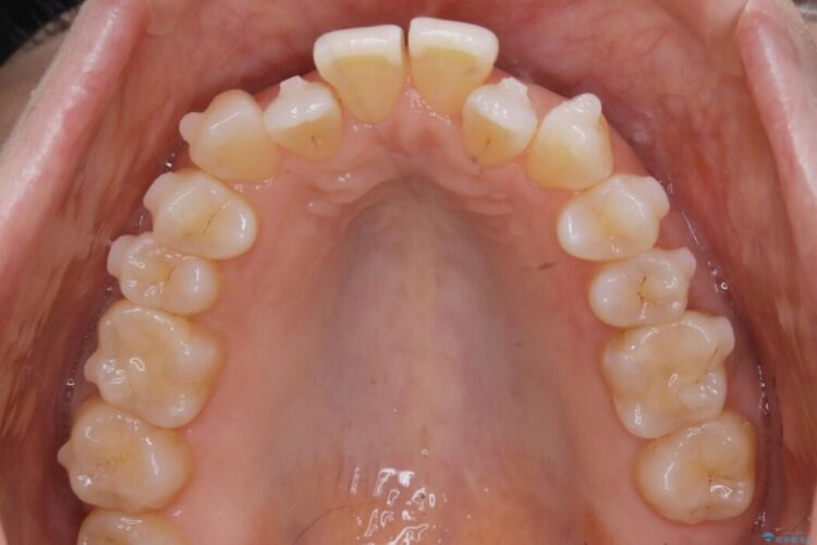
治療後について
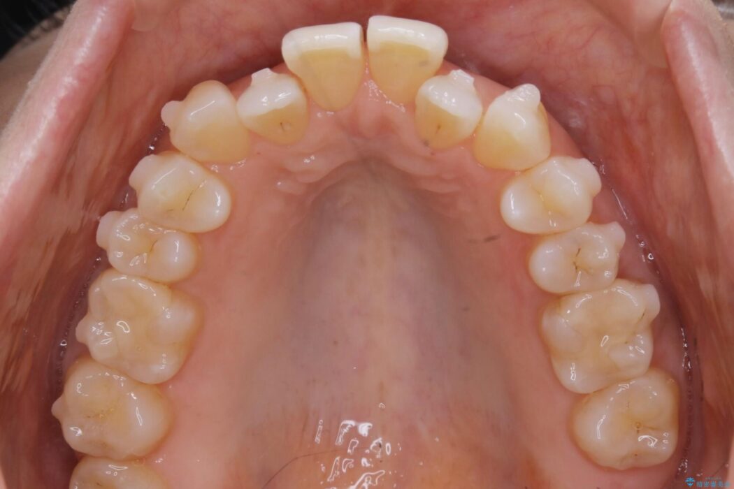
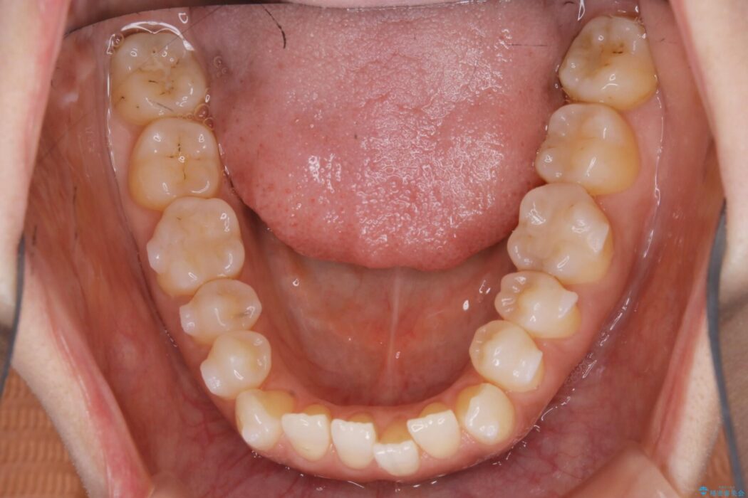
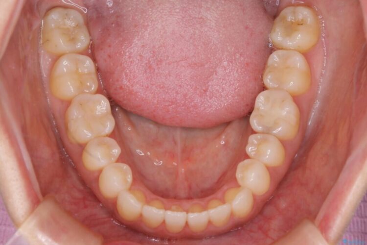
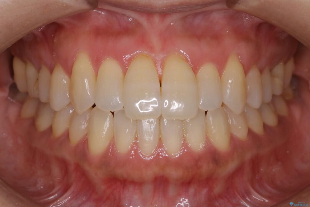
しっかりとインビザラインの装着をしていただけたため、短期間できれいな歯列弓となりました。
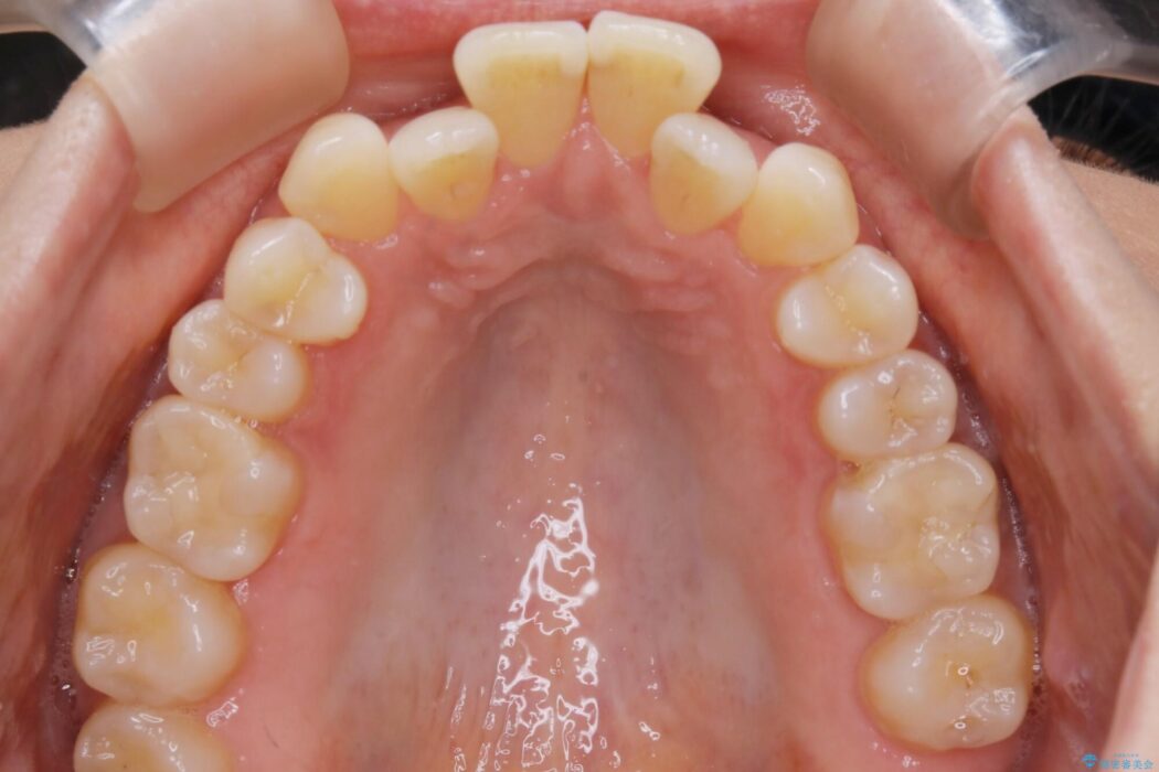
歯列の拡大とIPR(ディスキング)
非抜歯による矯正治療において歯を移動させるためのスペース確保が必要となります。
横に拡げる歯列の拡大することにより
スペースを確保する方法、
歯と歯の間を一ケ所あたり最大0.5mmまでの範囲内で削ることで空いたスペースを数か所分合わせることで合計で数mmの大きなスペースが作れるという方法があります。
当院ではなるべく歯の機能や審美的に影響の出ないよう、作業時に拡大鏡(マイクロスコープ)の使用や削るタイミングの微調整を行い治療をしていきます。
関連する他の症例
マウスピース矯正の注意事項(リスク・副作用など)
- 口腔内・歯並びの状態によっては対応できない場合があります
- マウスピース型矯正装置の長時間装着(1日20時間以上)が必須です
- 治療計画通りに進めるためには、患者様の意志が重要になります
- 矯正治療後の保定が不十分だと後戻り(元の位置に戻ろうとする動き)をします
- 薬機法対象外の矯正歯科装置のため医薬品副作用被害救済制度の対象外となる場合があります
- 自費診療(保険適用外)となります









