【30代男性】神経一歩手前の深い虫歯をセラミッククラウンで治療
治療概要
- 患者様:30代男性
- 治療期間:1ヶ月
- 概算治療費:10万円
※費用は治療当時の料金となります - 担当医:福本健生
治療動機
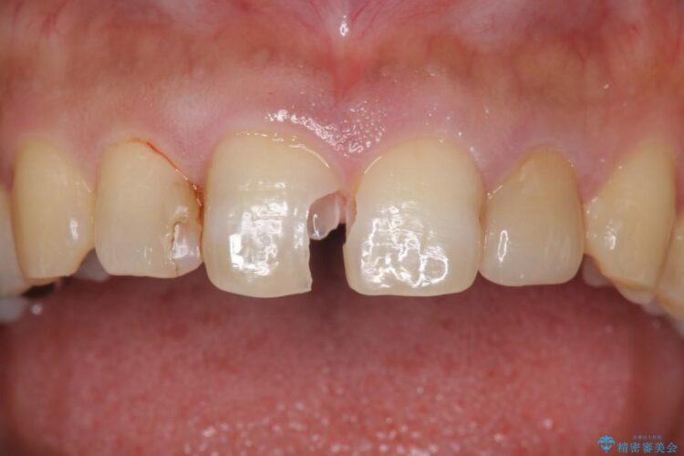
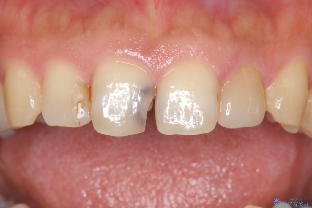
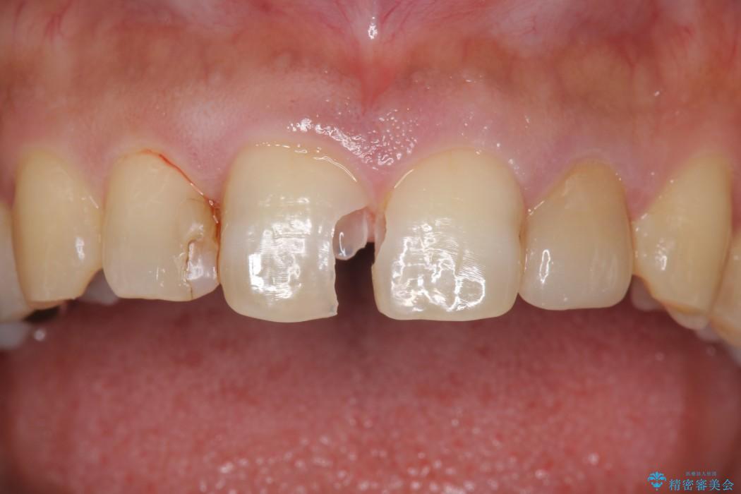
虫歯による歯の欠けと変色を主訴に来院されました。
治療計画
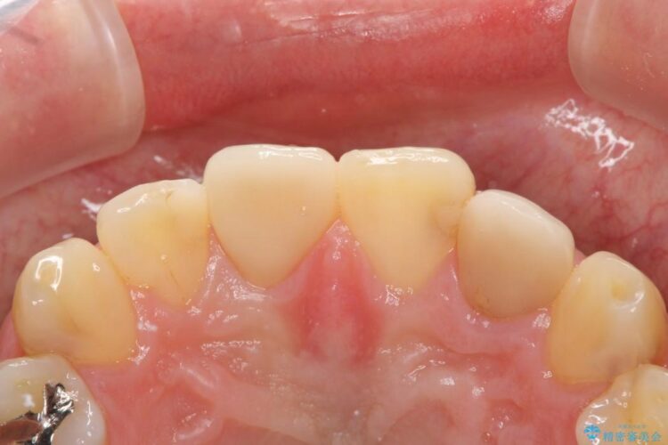
神経に届く一歩手前の虫歯を前歯に認めました。
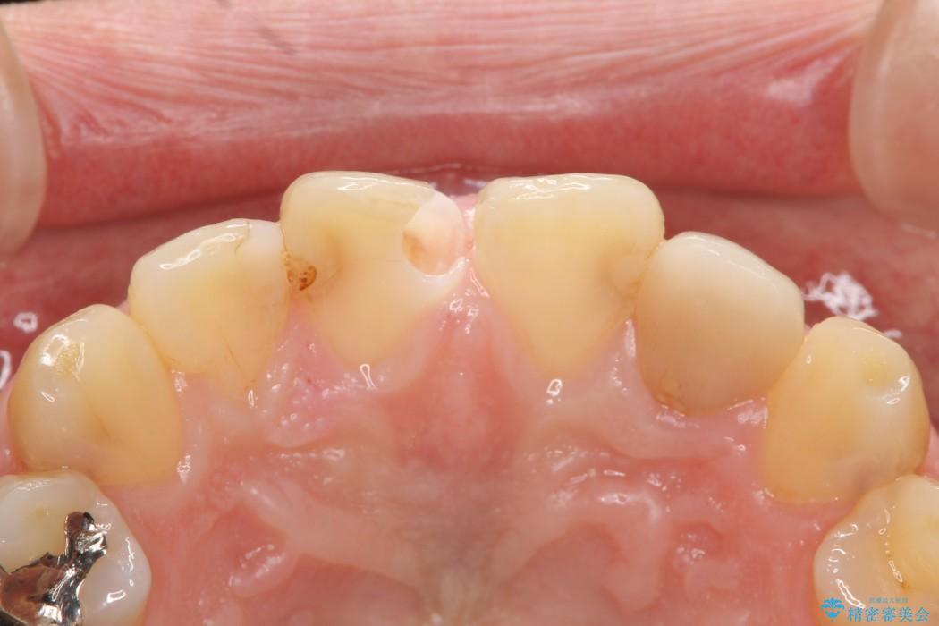
虫歯の範囲が大きいため詰め物ではなく、被せ物を使用した治療を行うこととしました。
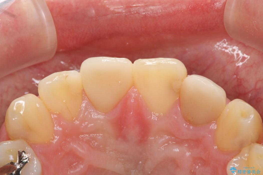
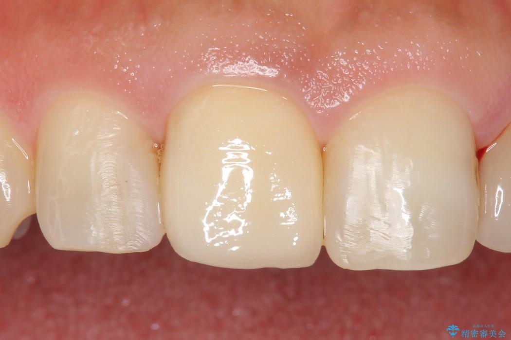
治療後について
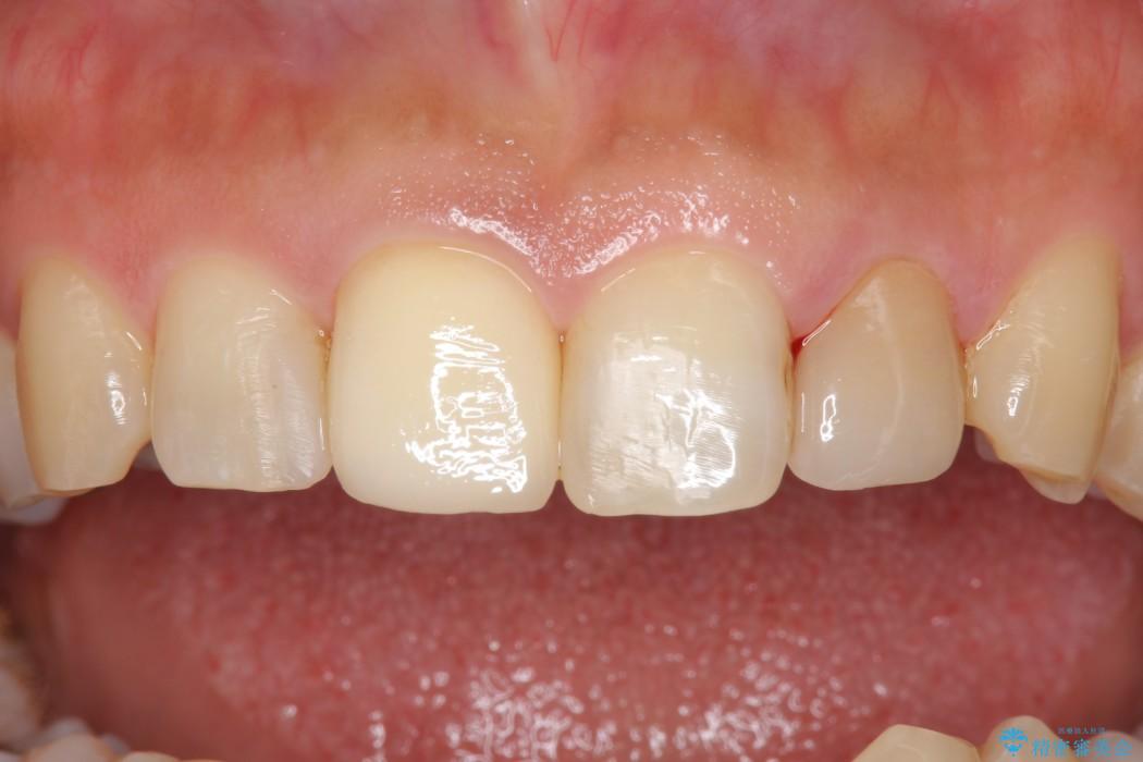
今回のケースでは丁寧に虫歯を取りきることにより、神経を保存することができました。
虫歯は早期発見・治療ができれば患者様への負担も軽く歯を長持ちさせることができますので、定期検診や異変を感じたらなるべくお早めに歯科医院へ行かれることをお勧めいたします。
深い虫歯について
虫歯は深く進行すればするほど歯が脆く、弱くなっていきます。
進行して虫歯が神経まで達してしまっている場合は根管治療を行う必要があります。
関連する他の症例
セラミック治療の注意事項(リスク・副作用など)
- 天然歯を削ります
- 硬い素材は天然歯を傷つけてしまう場合があります
- かみ合わせや歯ぎしりが強すぎる方はセラミックが割れてしまう可能性があります
- 自費診療(保険適用外治療)となります










