【50代男性】前歯の被せ物を新しく
治療概要
- 患者様:50代男性
- 治療期間:2ヶ月
- 概算治療費:62.7万円
※費用は治療当時の料金となります - 担当医:福本健生
治療動機
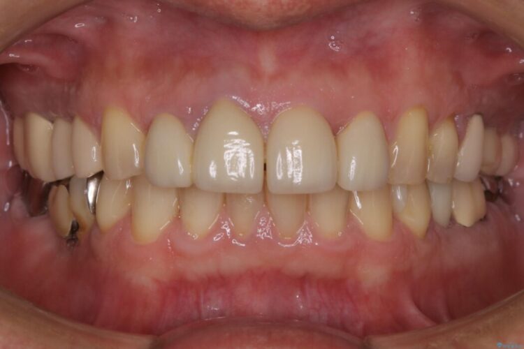
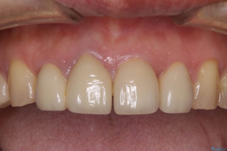
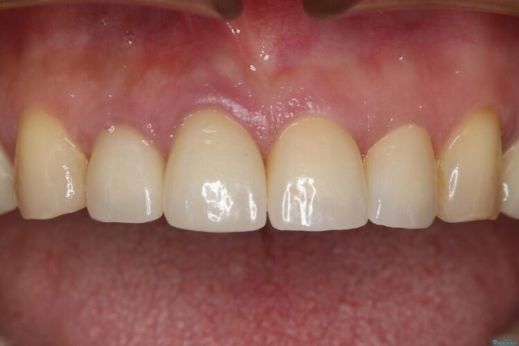
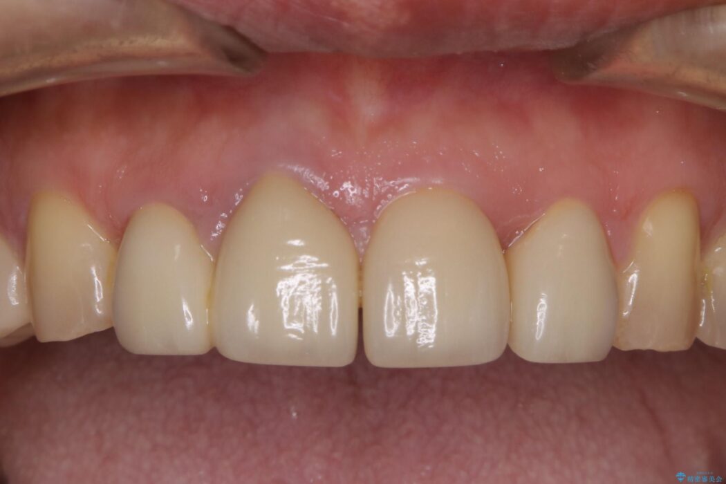
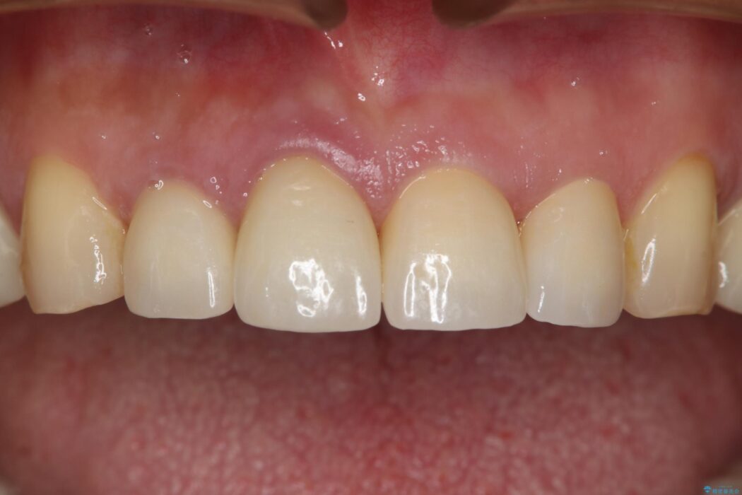
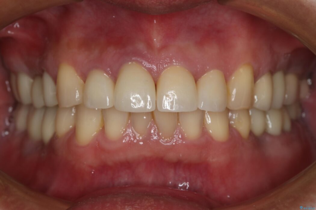
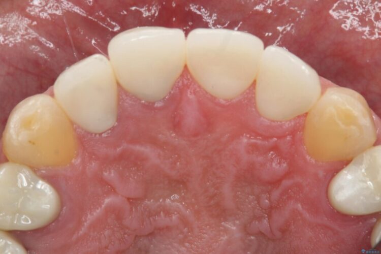
上の前歯のすきっ歯と歯の色が気になるとご来院されました。
治療計画
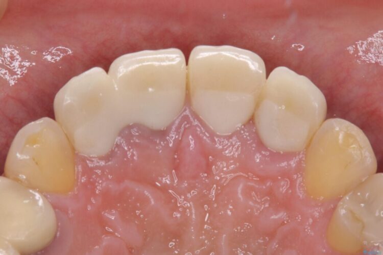
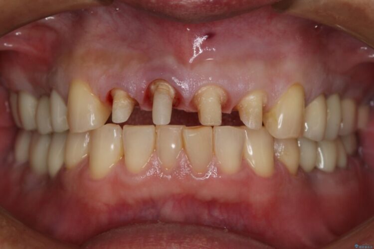
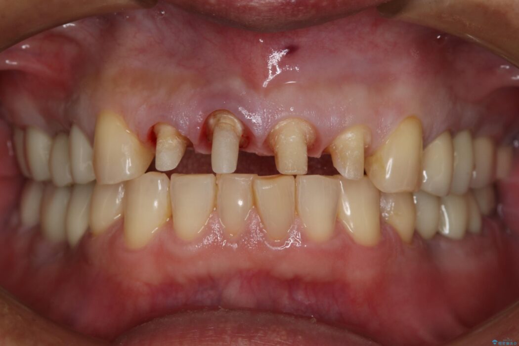
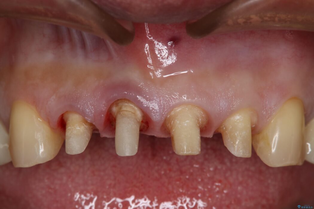
神経を抜いた右上2番の歯は、根の先の病巣を治療してから土台と被せ物を作製しました。一方、右上1番は、深く大きな金属の土台が被せ物の色に悪影響を与えていました。除去のリスクを避けるため、金属土台を一部残し、色の影響が少ないファイバーコア(白い土台)で補強と審美性の改善を行いました。
正中離開(すきっ歯)
真ん中の歯が左右に開いてしまい隙間ができてしまう状態を「正中離開」といい、俗にすきっ歯と呼ばれています。
隙間を埋めていく方向に歯を移動させることで改善していくケースが多く、比較的治りやすい不正咬合のひとつとされています。
しかしながら、歯が捻じれていたり、噛み合う歯との位置関係によっては治療が難しくなる場合があります。
関連する他の症例
セラミック治療の注意事項(リスク・副作用など)
- 天然歯を削ります
- 硬い素材は天然歯を傷つけてしまう場合があります
- かみ合わせや歯ぎしりが強すぎる方はセラミックが割れてしまう可能性があります
- 自費診療(保険適用外治療)となります









