【20代女性】噛み合わせの歪みを超短期間でインビザライン治療
治療概要
- 患者様:20代女性
- 治療期間:11ヶ月
- 矯正装置:インビザライン ライトパッケージ
- 概算治療費:44万円(紹介10%割引)
※費用は治療当時の料金となります - 担当医:福本健生
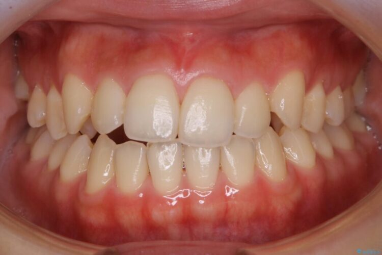
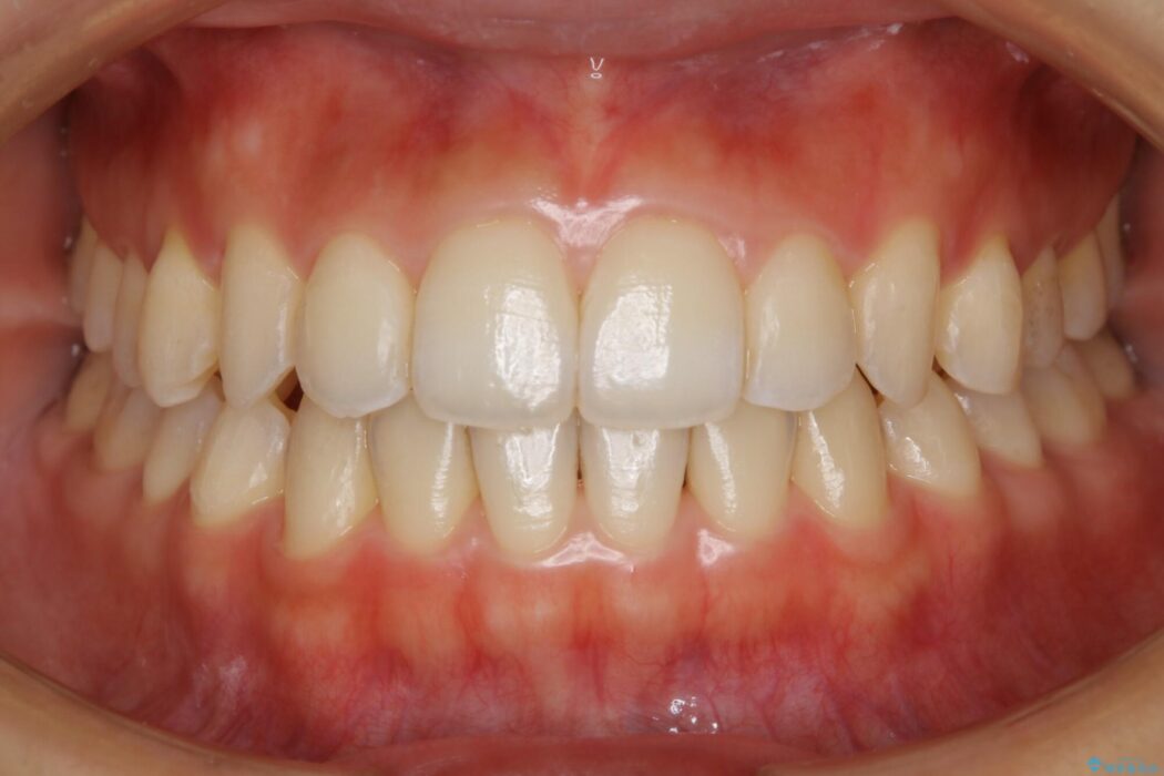
治療動機
歯並びと噛み合わせが悪く治したいとの主訴で、当院の患者様からのご紹介により来院されました。
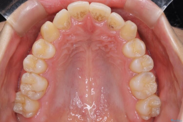
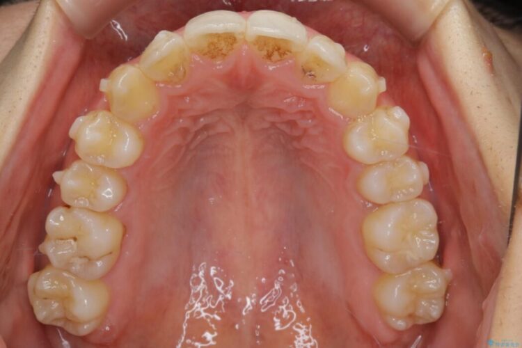
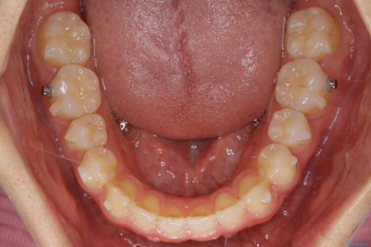
治療計画
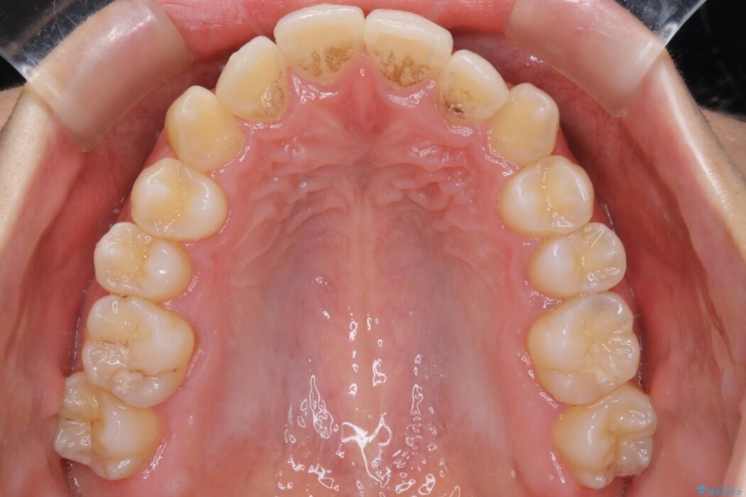
検査したところ叢生度合いから抜歯をせずとも治療が可能と判断しましたので、インビザラインでの非抜歯矯正を行う方針としました。
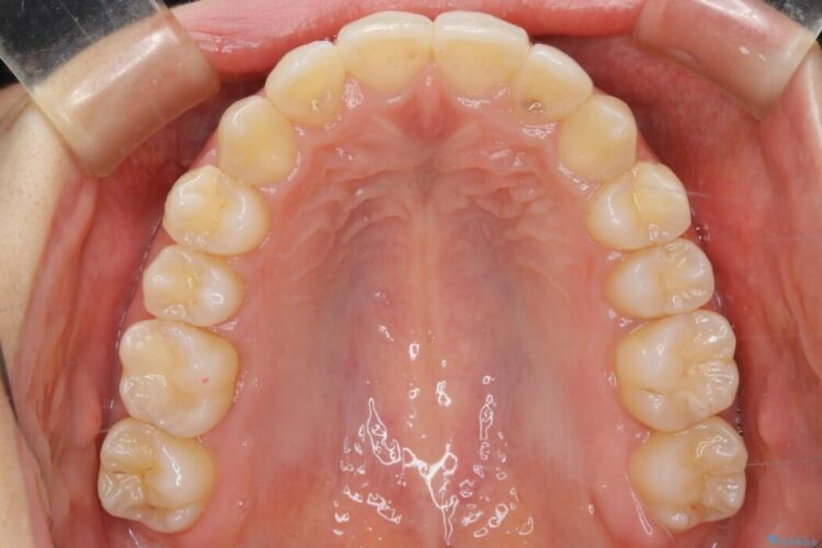
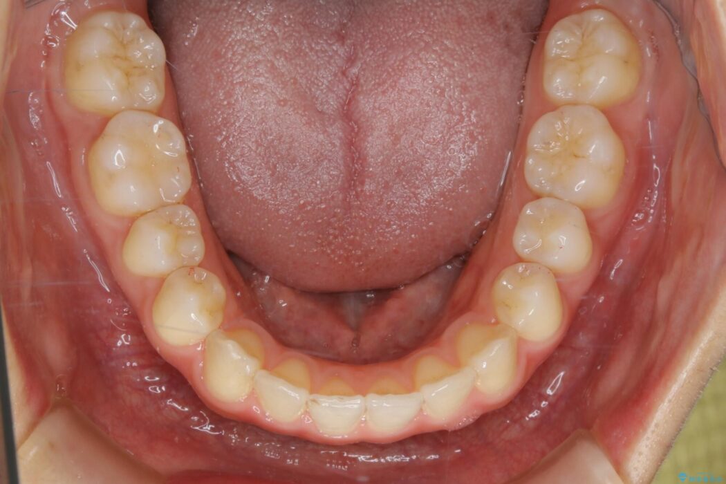
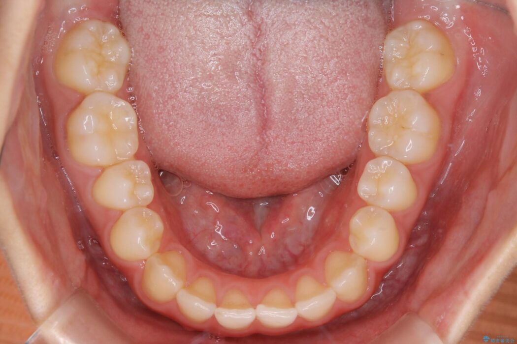
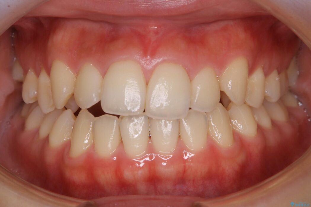
治療後について
治療後写真を見ても歪みが解消され、歯列弓がきれいに整ったのが分かると思います。インビザラインをしっかりと装着されていたこともあり、矯正としては短期間の治療となりました。
関連する他の症例
マウスピース矯正の注意事項(リスク・副作用など)
- 口腔内・歯並びの状態によっては対応できない場合があります
- マウスピース型矯正装置の長時間装着(1日20時間以上)が必須です
- 治療計画通りに進めるためには、患者様の意志が重要になります
- 矯正治療後の保定が不十分だと後戻り(元の位置に戻ろうとする動き)をします
- 薬機法対象外の矯正歯科装置のため医薬品副作用被害救済制度の対象外となる場合があります
- 自費診療(保険適用外)となります









