【20代女性】審美ワイヤー装置で出っ歯の改善
治療概要
- 患者様:20代女性
- 治療期間:3年
- 矯正装置:審美装置
- 概算治療費:90万円
※費用は治療当時の料金となります - 担当医:草深敏毅
治療動機
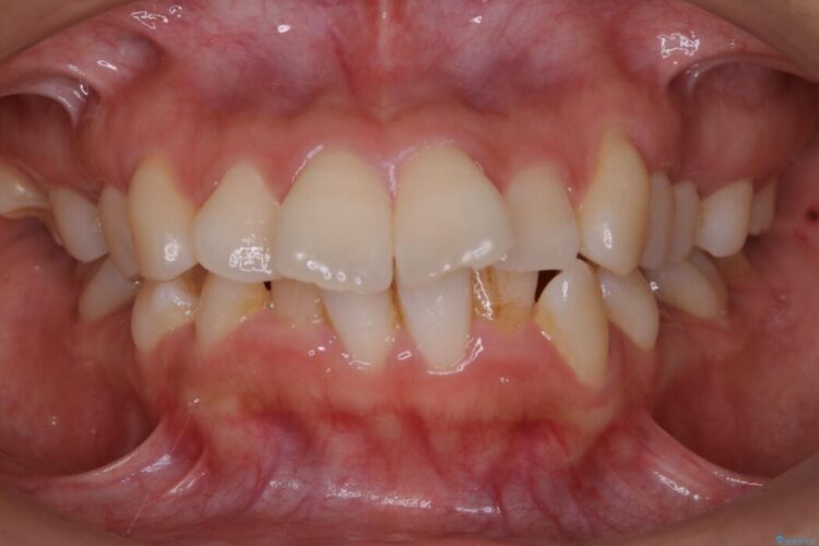
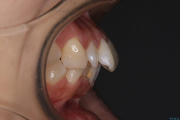
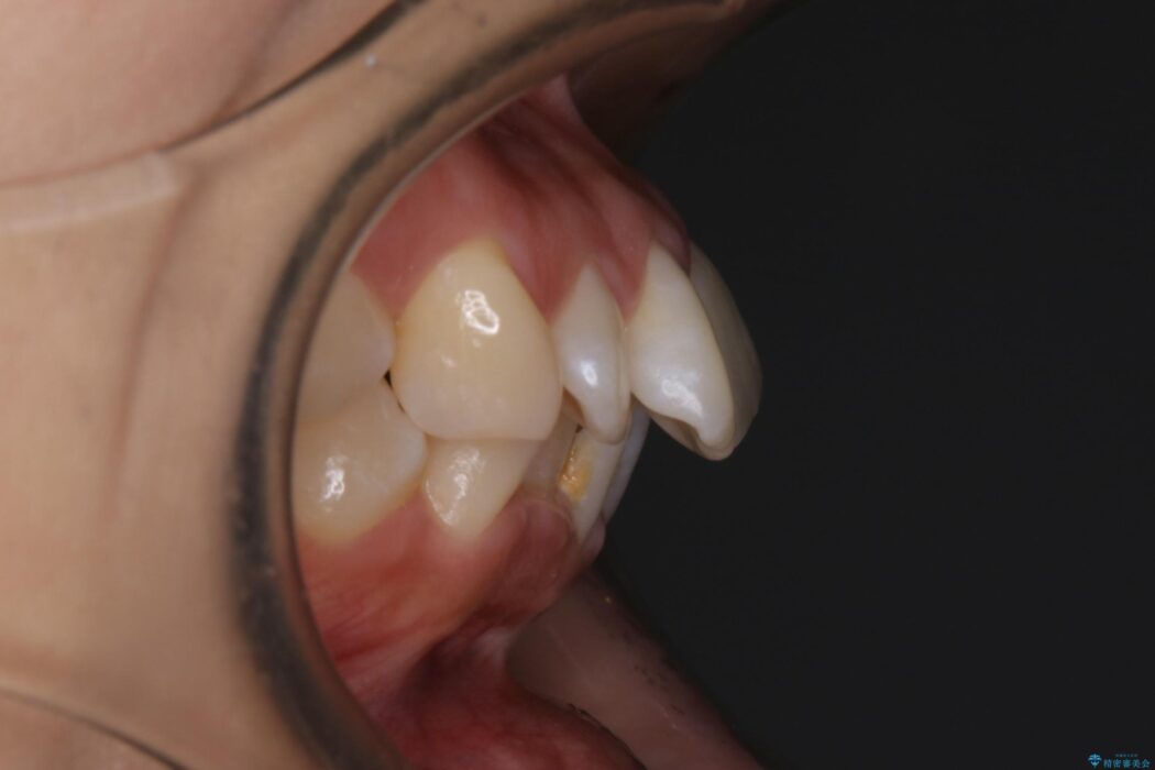
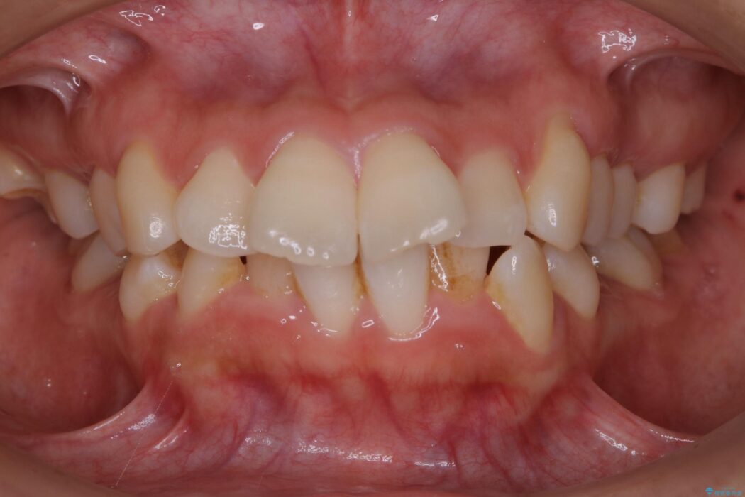
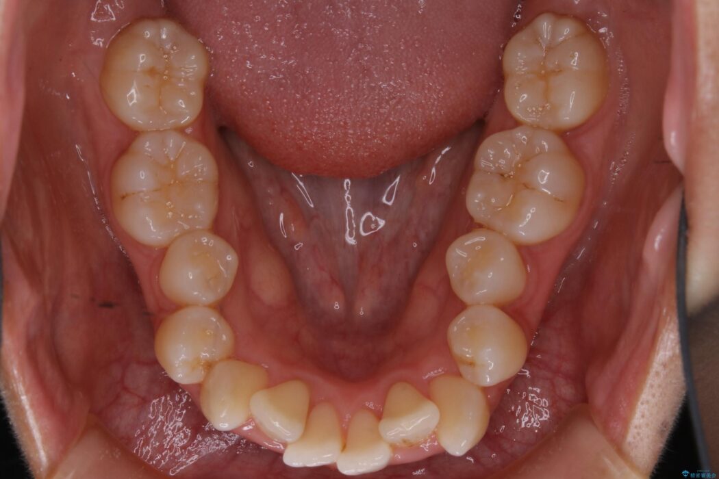
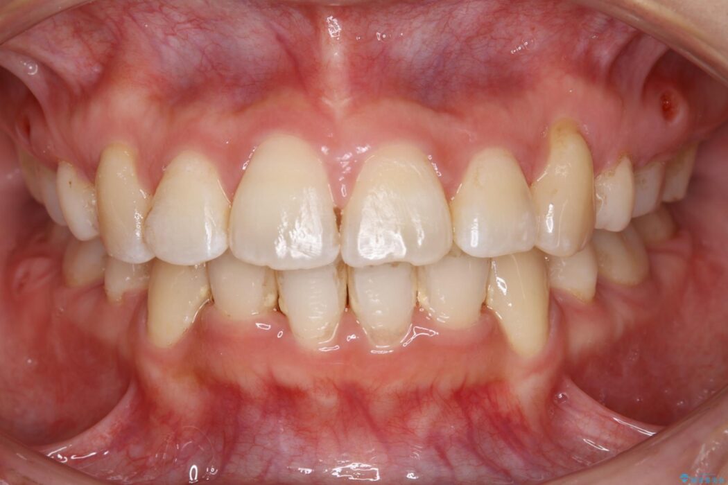
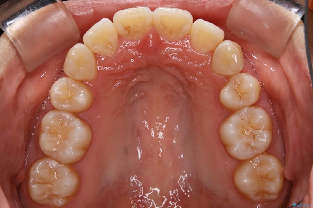
上の前歯が出ていることと、下の前歯のガタつきが気になるとご来院された患者様です。
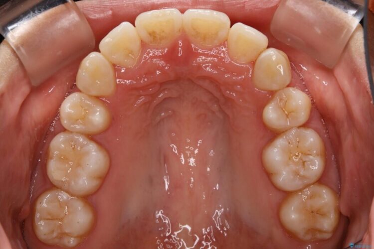
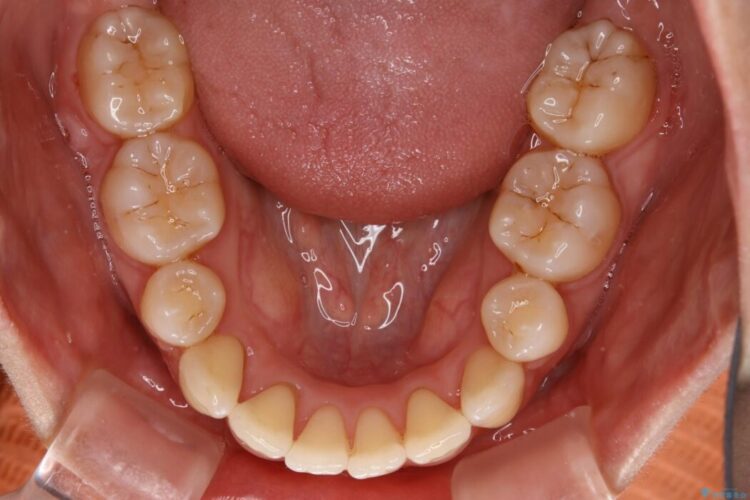
治療計画
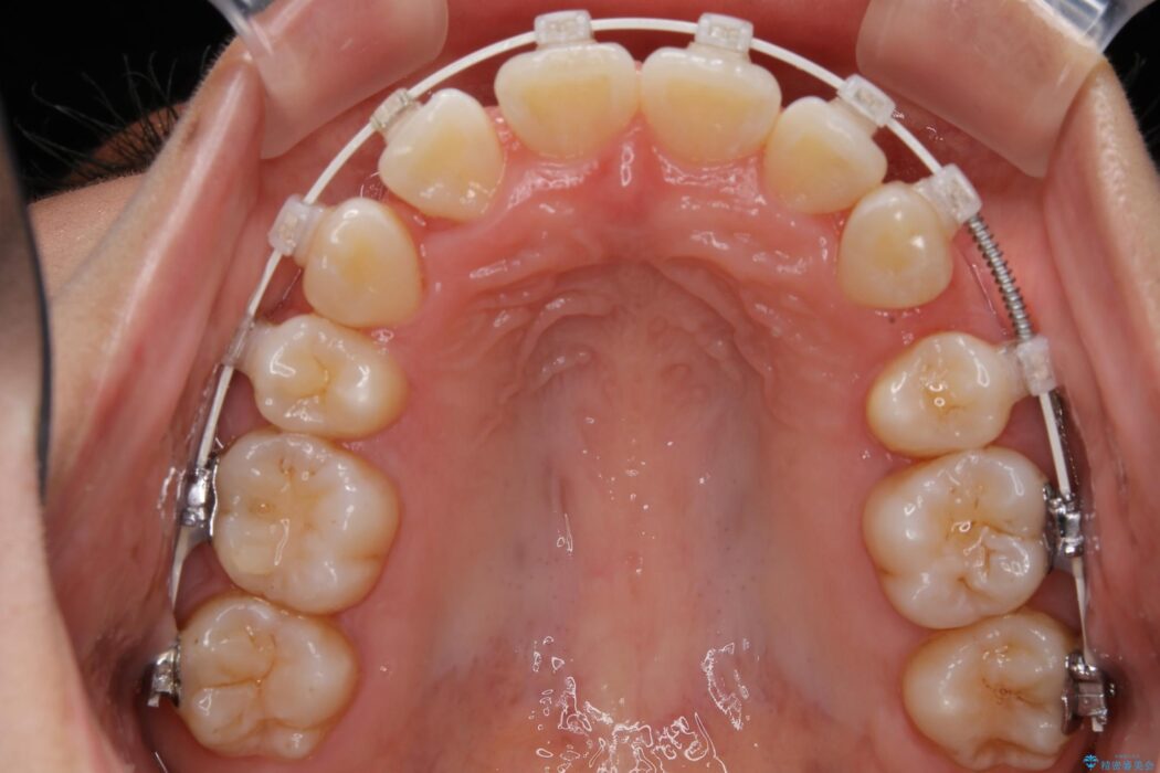
出っ歯とガタつきを改善するには抜歯が必要と判断し、上下左右第一小臼歯を抜歯しました。
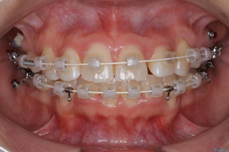
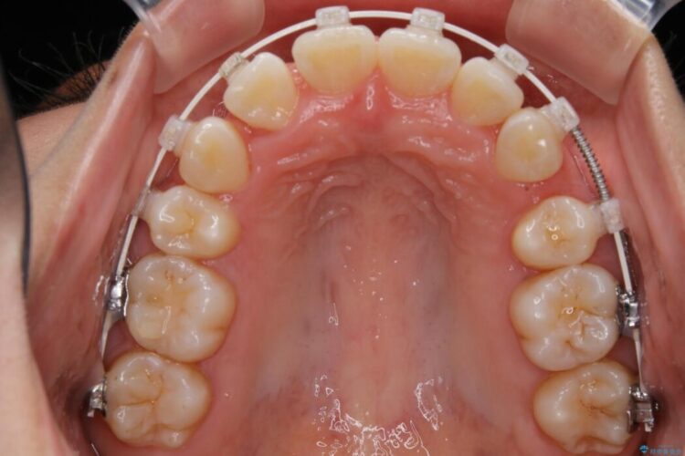
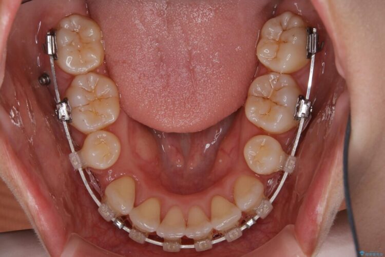
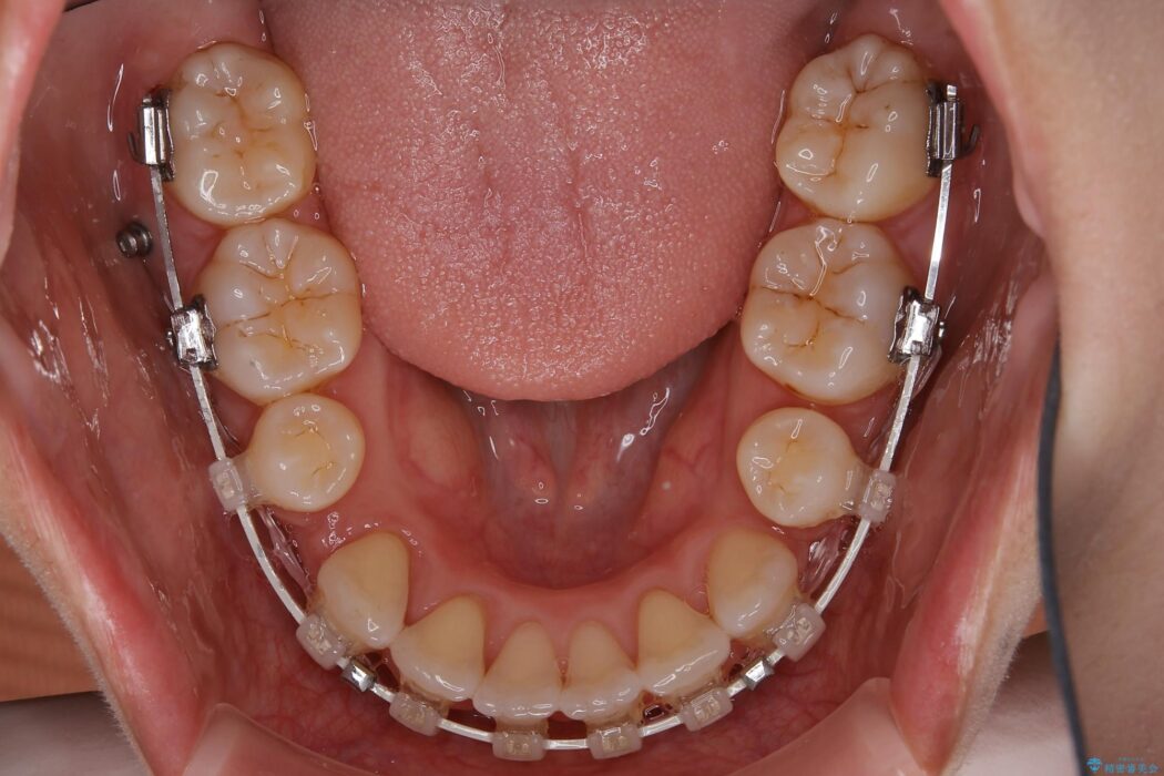
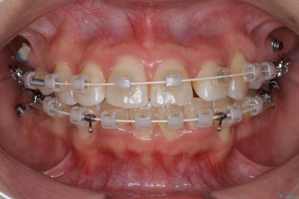
抜歯する事で歯の移動量が大きいことから、表側ワイヤー装置にて治療を行うこととしました。
装置は目立ちにくい審美装置を選択しました。
治療後について
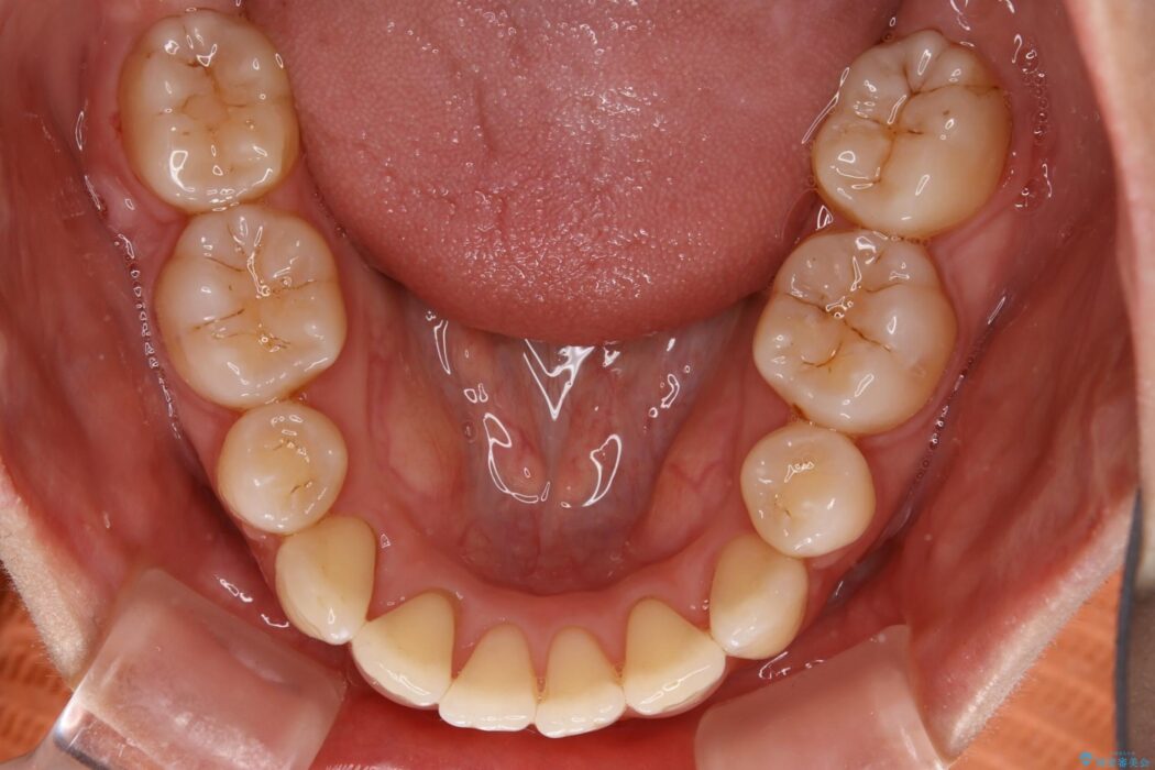
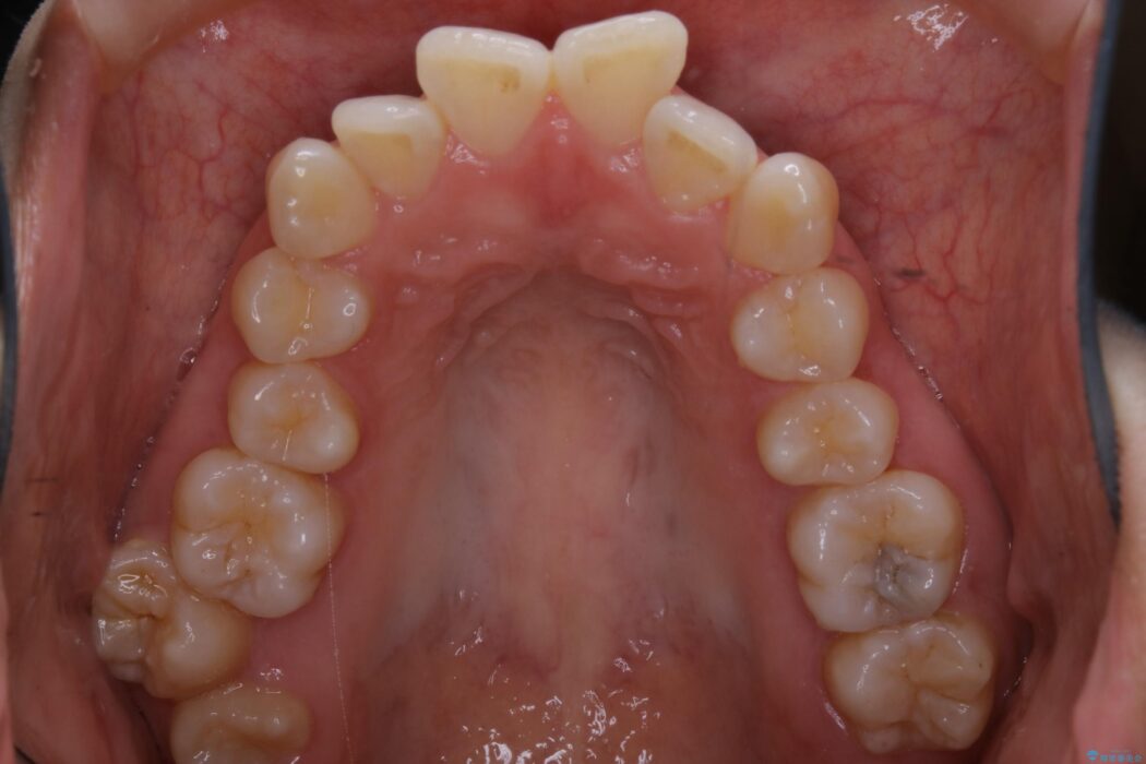
気になっていた前歯の突出とガタつきが改善され、患者様には大変お喜びいただけました。
関連する他の症例
ワイヤー矯正の注意事項(リスク・副作用など)
- 治療中は違和感や痛みが起こることがあります
- 症状により、抜歯が必要な場合があります
- 治療中は歯磨きがしにくくなるため、虫歯や歯周病になりやすくなります
- 矯正治療後の保定が不十分だと後戻り(元の位置に戻ろうとする動き)をします
- 自費診療(保険適用外)となります











