【20代女性】矯正後の後戻り、出っ歯の改善
治療概要
- 患者様:20代女性
- 治療期間:1年
- 矯正装置:インビザラインモデレート
- 概算治療費:64万円
※費用は治療当時の料金となります - 担当医:草深敏毅
治療動機
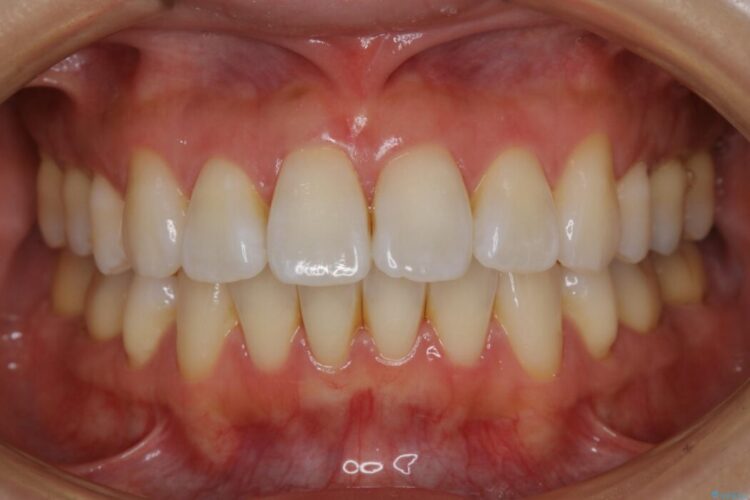
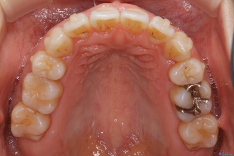
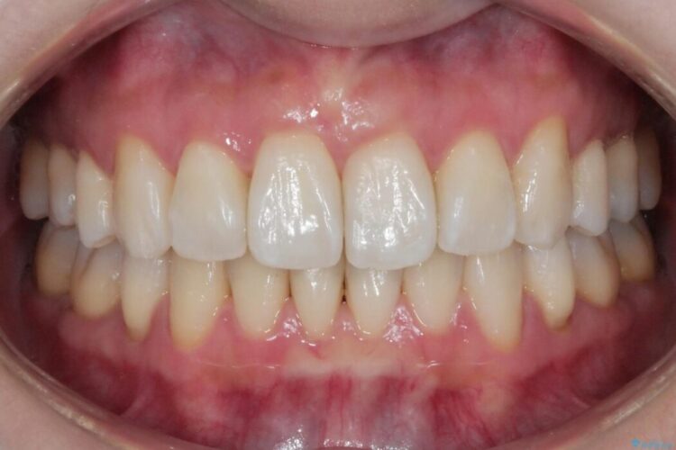
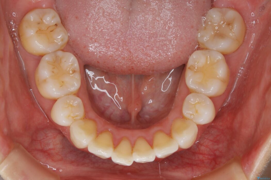
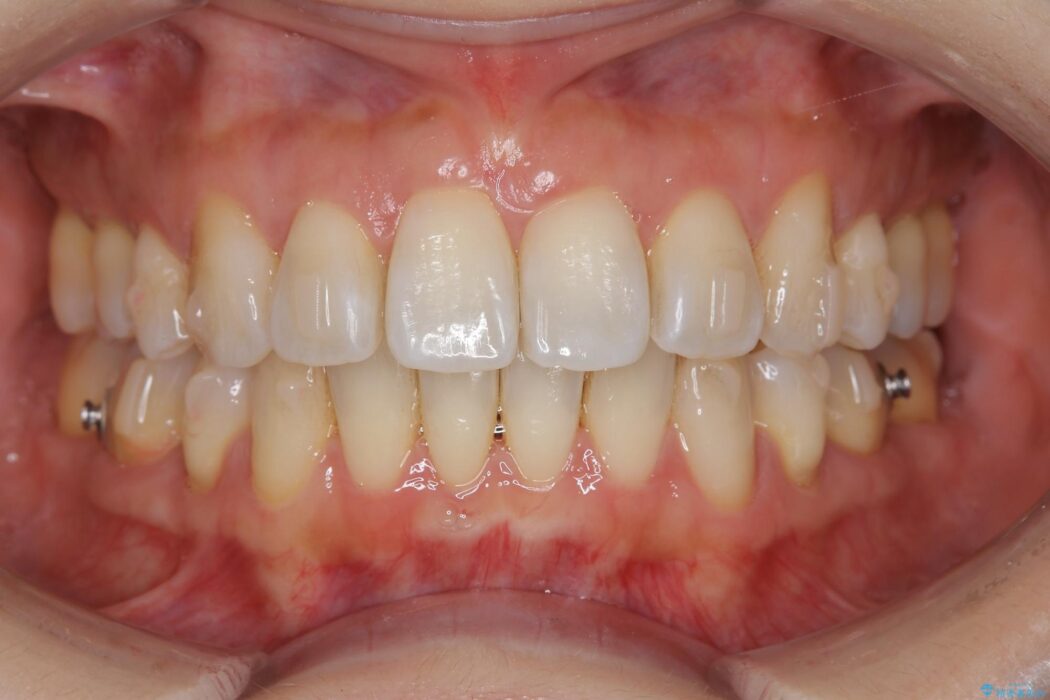
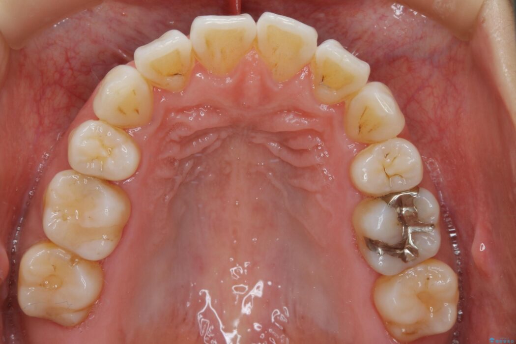
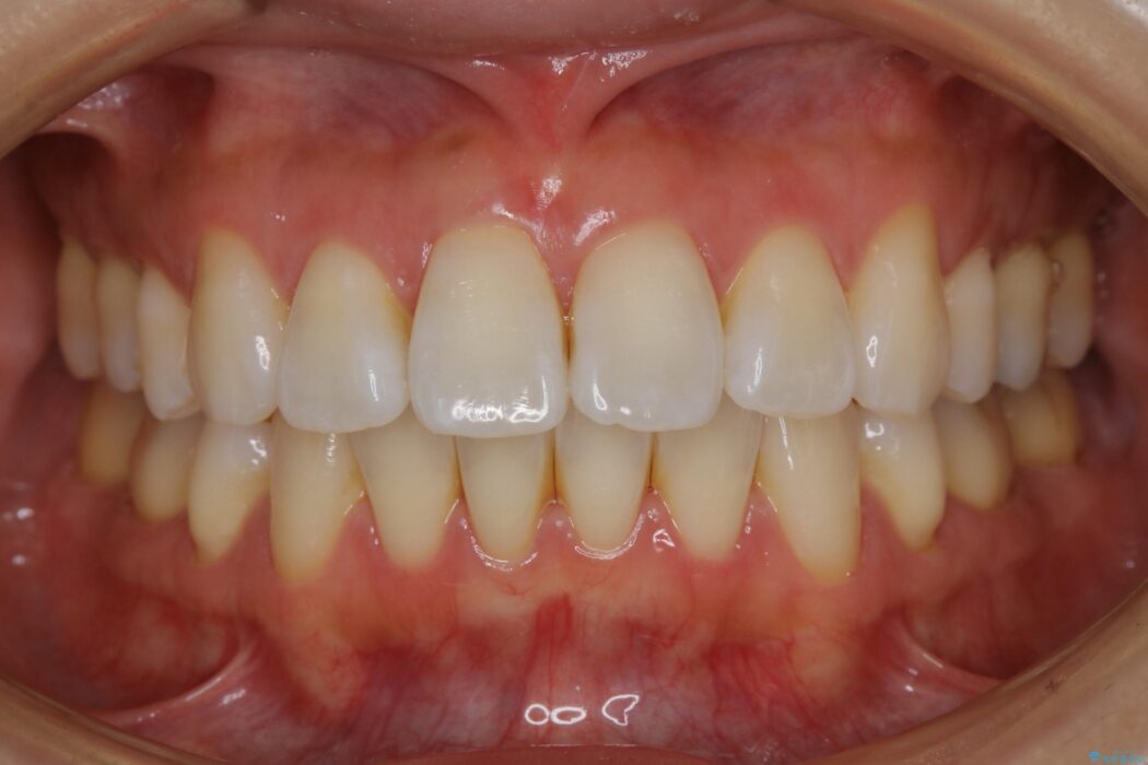
抜歯矯正後の上の前歯の後戻りが気になるとご来院された患者様です。
治療計画
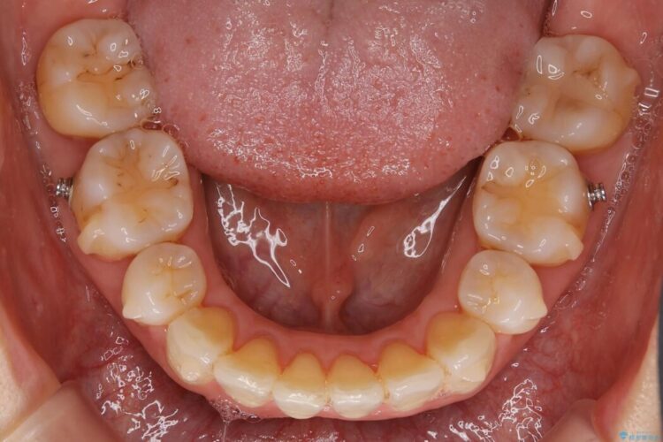
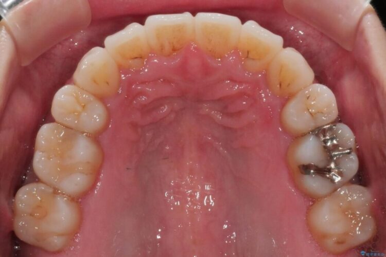
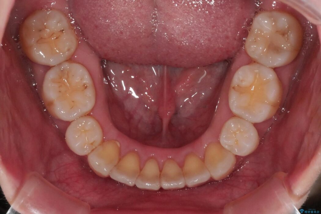
インビザラインモデレートで治療が可能と診断し、矯正治療を行いました。
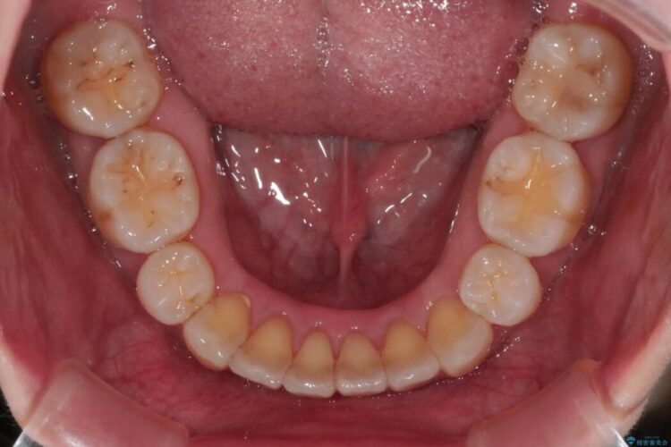
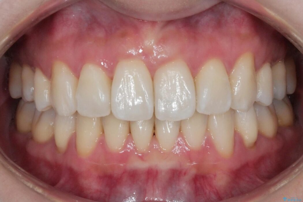
治療後について
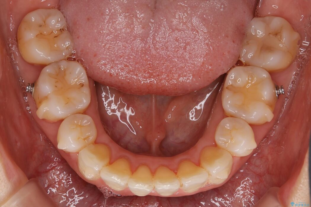
歯と歯の間を削るのと、歯列のU字型のアーチを僅かに外側に広げる事でスペースを作り、前歯の角度の改善をしました。
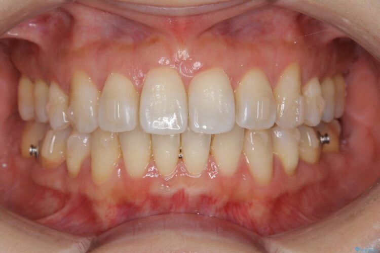
保定装置は、マウスピースと前歯の裏側を細いワイヤーで固定(ボンディングリテーナー)を併用していただいてます。
関連する他の症例
マウスピース矯正の注意事項(リスク・副作用など)
- 口腔内・歯並びの状態によっては対応できない場合があります
- マウスピース型矯正装置の長時間装着(1日20時間以上)が必須です
- 治療計画通りに進めるためには、患者様の意志が重要になります
- 矯正治療後の保定が不十分だと後戻り(元の位置に戻ろうとする動き)をします
- 薬機法対象外の矯正歯科装置のため医薬品副作用被害救済制度の対象外となる場合があります
- 自費診療(保険適用外)となります









