【10代女性】すきっ歯(正中離開)のインビザライン治療
治療概要
- 患者様:10代女性
- 治療期間:1年6ヶ月
- 矯正装置:インビザライン コンプリヘンシブパッケージ
- 概算治療費:88万円
※費用は治療当時の料金となります - 担当医:福本健生
治療動機
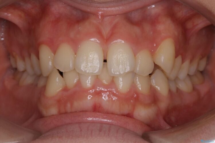
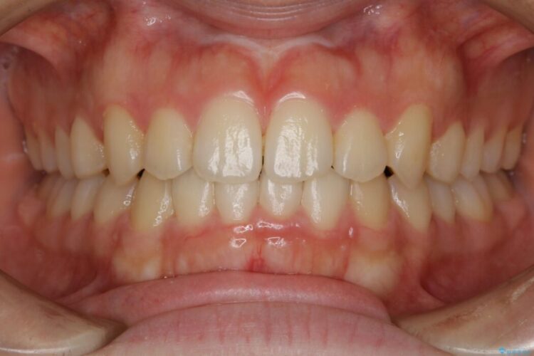
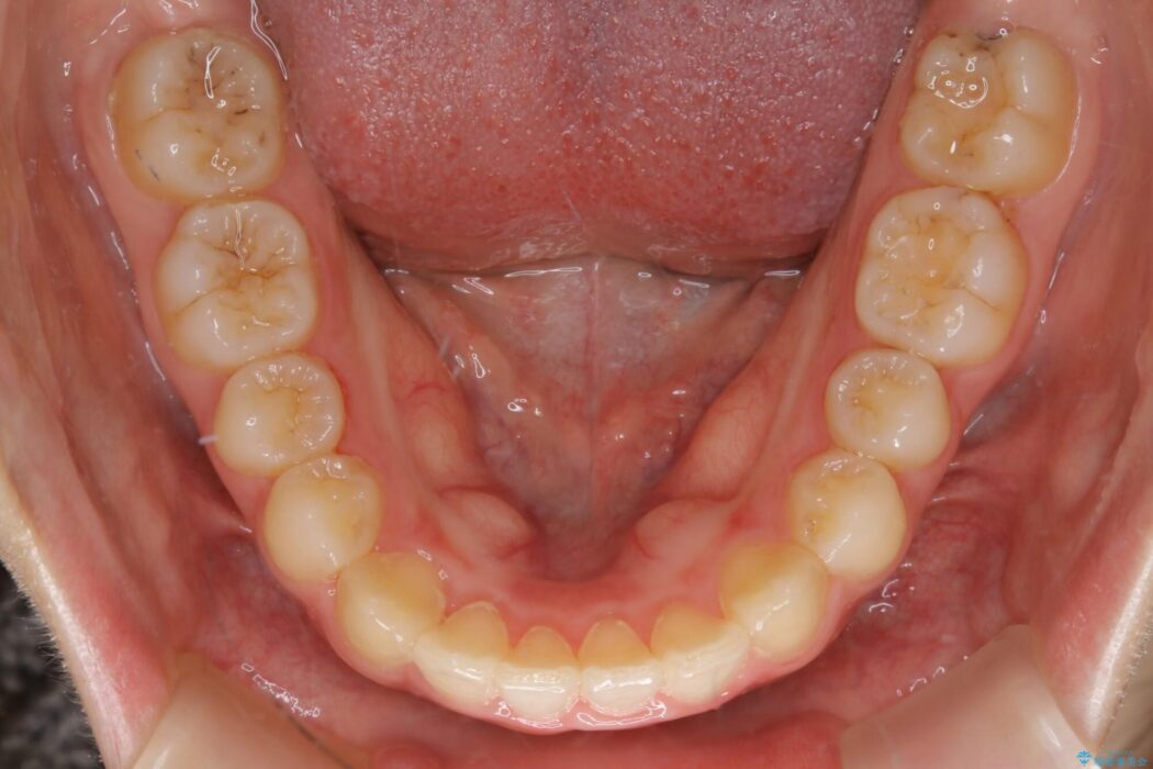
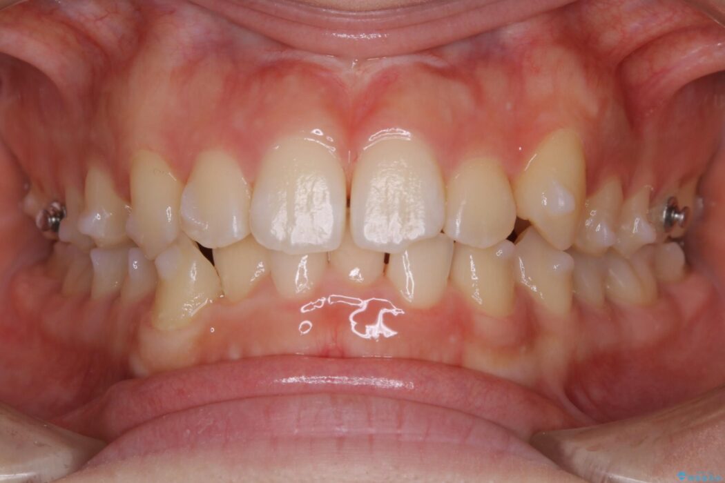
上顎前歯のすき間と前歯の全体的なガタガタさをなおしたいとのことで来院されました。
治療計画
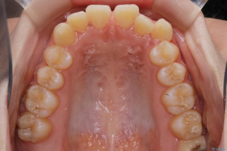
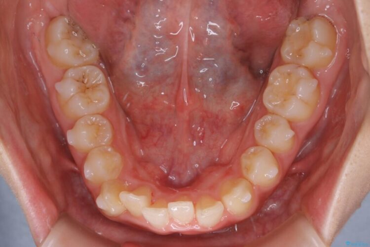
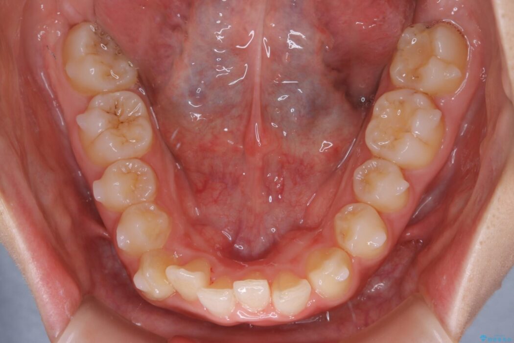
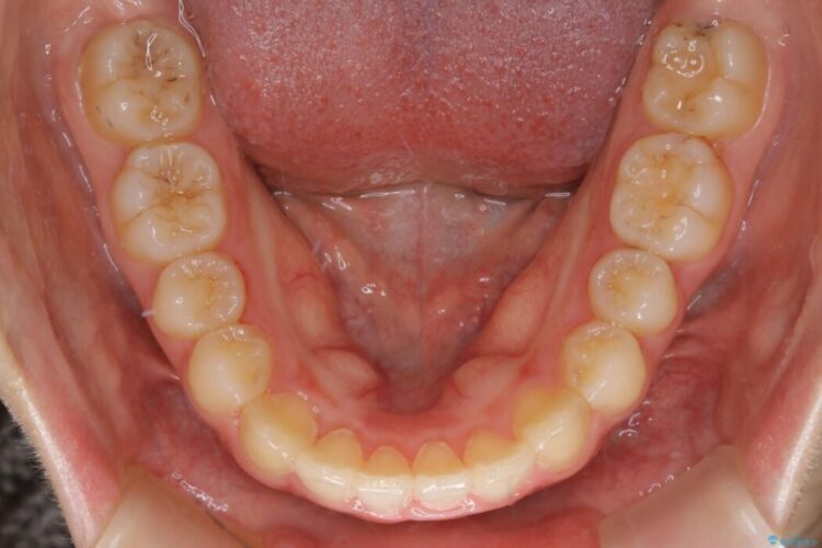
検査したところ、正中離開(上の前歯の隙間があいている状態)に加え噛み合わせもズレていました。
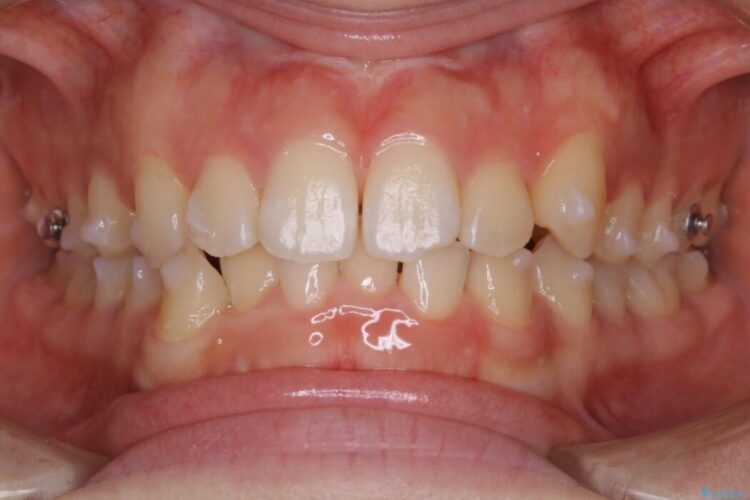
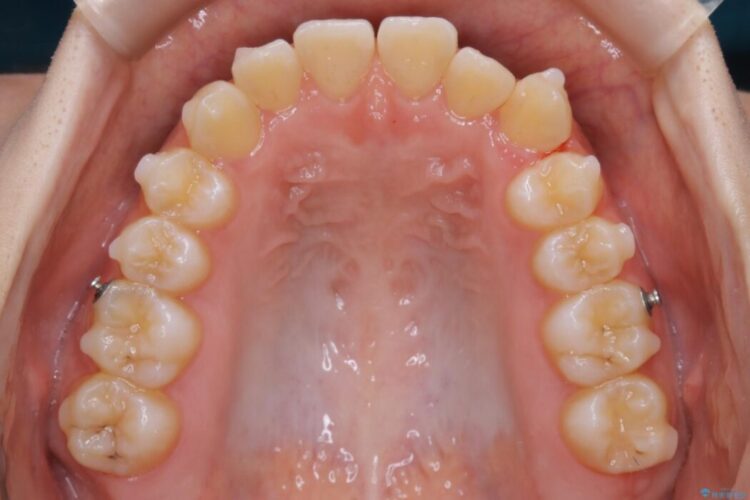
よって効率的に改善していくために患者様にはゴムかけも合わせて行っていただきながら、インビザライン装置での矯正治療を行いました。
治療後について
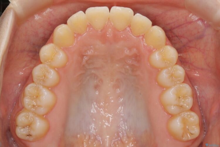
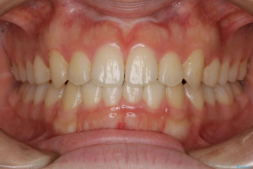
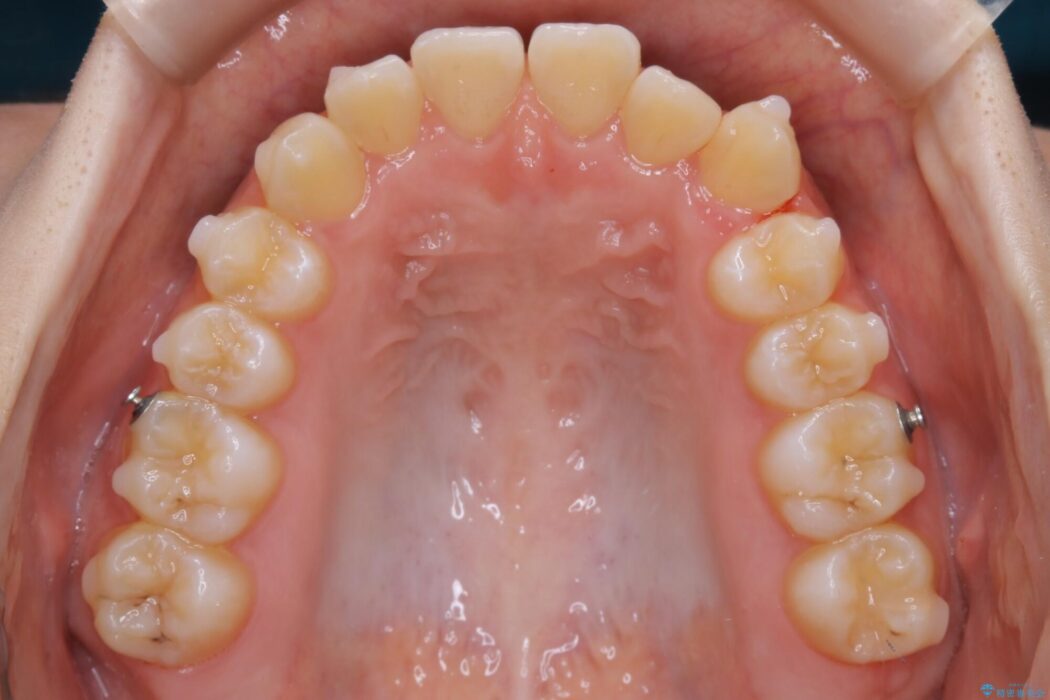
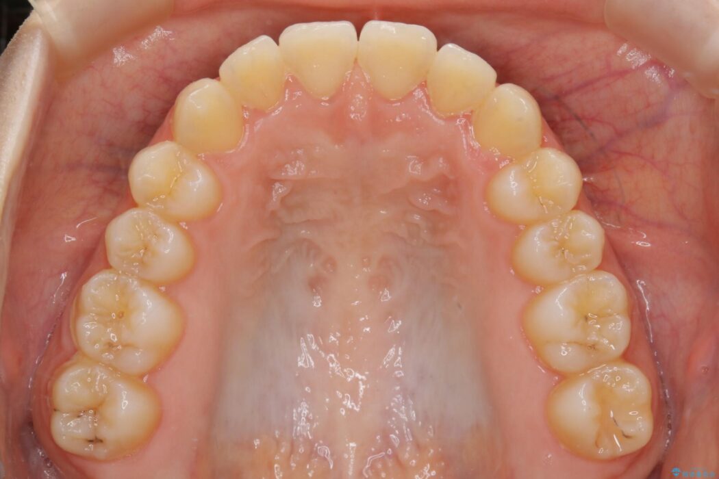
主訴であった前歯のすきっ歯とガタつきが改善し、きれいな歯列弓となりました。
正中離開
上の前歯中央の歯と歯の間に隙間がある状態のことを指します。
笑った時に見える部分のため悩まれている方も多くいらっしゃいます。
隙間を埋めるように歯を動かすことで改善するケースが多々あり、その他の状態と比べて治療しやすい不正咬合の一つとされています。
しかしながら、歯軸の傾斜、捻じれ、噛み合う歯との位置関係により治療が難しくなる場合もありますので、患者様との相談をしつつ治療を進めていきます。
関連する他の症例
マウスピース矯正の注意事項(リスク・副作用など)
- 口腔内・歯並びの状態によっては対応できない場合があります
- マウスピース型矯正装置の長時間装着(1日20時間以上)が必須です
- 治療計画通りに進めるためには、患者様の意志が重要になります
- 矯正治療後の保定が不十分だと後戻り(元の位置に戻ろうとする動き)をします
- 薬機法対象外の矯正歯科装置のため医薬品副作用被害救済制度の対象外となる場合があります
- 自費診療(保険適用外)となります









