【30代女性】黒ずんだ虫歯をセラミック治療
治療概要
- 患者様:30代女性
- 治療期間:1ヶ月
- 概算治療費:7.7万円
※費用は治療当時の料金となります - 担当医:福本健生
治療動機
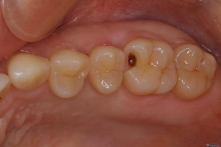
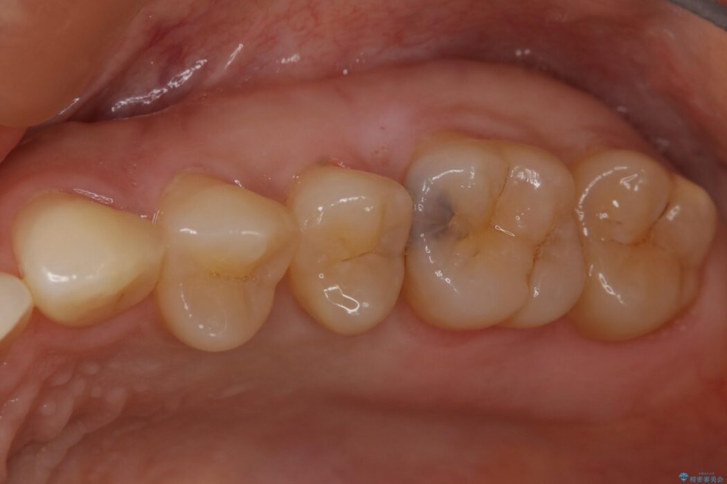
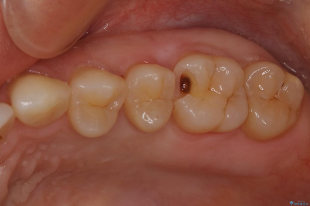
歯が黒くなってきているので調べて欲しいとの主訴で来院されました。
治療計画
レントゲン撮影にて調べてみると、幸いなことに神経までは到達してはいませんでしたが虫歯を認めました。
部分的な詰め物(インレー)にて対応可能と判断し、患者様と相談した上でセラミック材料を使用した治療を行うこととしました。
治療後について
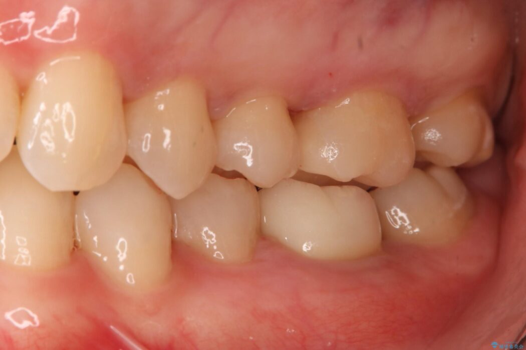
黒ずみもなくなり、詰め物が入っているのかもぱっと見では判断がつかないと思います。
セラミックインレーは劣化がほとんどないため変色がなく、耐摩耗性にも優れ長期的に良好な予後が見込めるものになります。
セラミック治療が気になるという方はぜひ当院の無料カウンセリングをおすすめいたします。
関連する他の症例
セラミック治療の注意事項(リスク・副作用など)
- 天然歯を削ります
- 硬い素材は天然歯を傷つけてしまう場合があります
- かみ合わせや歯ぎしりが強すぎる方はセラミックが割れてしまう可能性があります
- 自費診療(保険適用外治療)となります






