【20代女性】歯軸傾斜を改善して噛み合わせを正しくする
治療概要
- 患者様:20代女性
- 治療期間:1年8ヶ月
- 矯正装置:インビザライン コンプリヘンシブパッケージ
- 概算治療費:88万円
※費用は治療当時の料金となります - 担当医:福本健生
治療動機
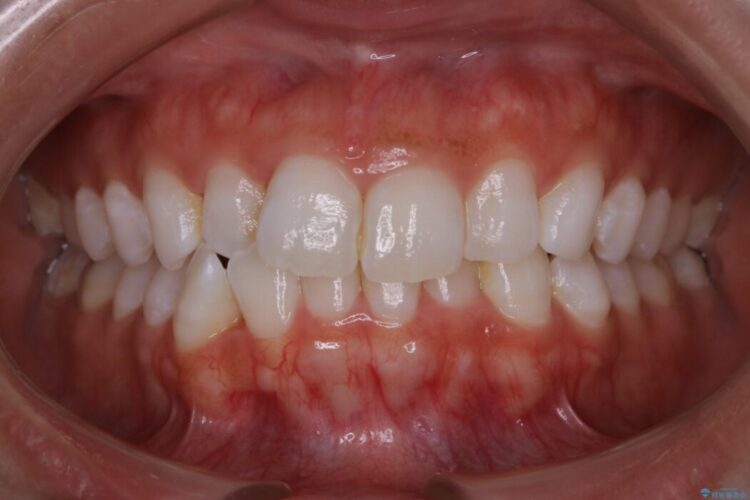
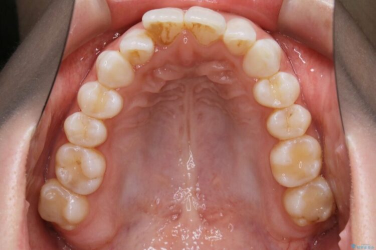
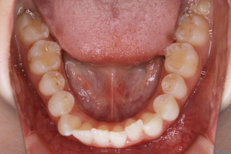
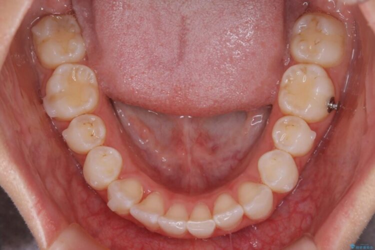
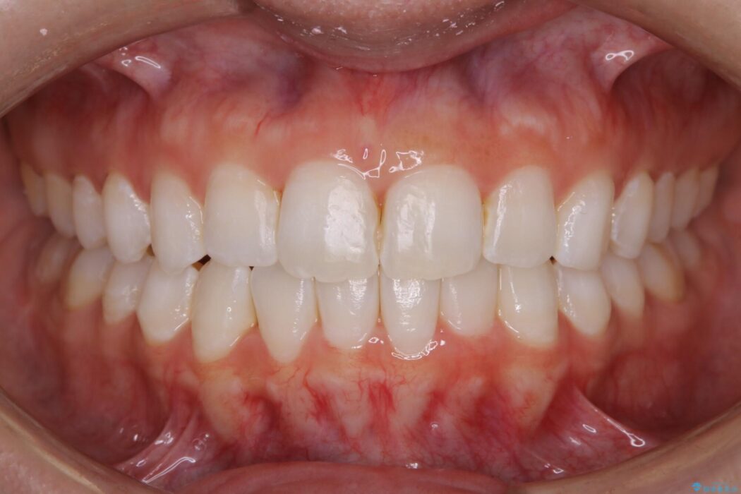
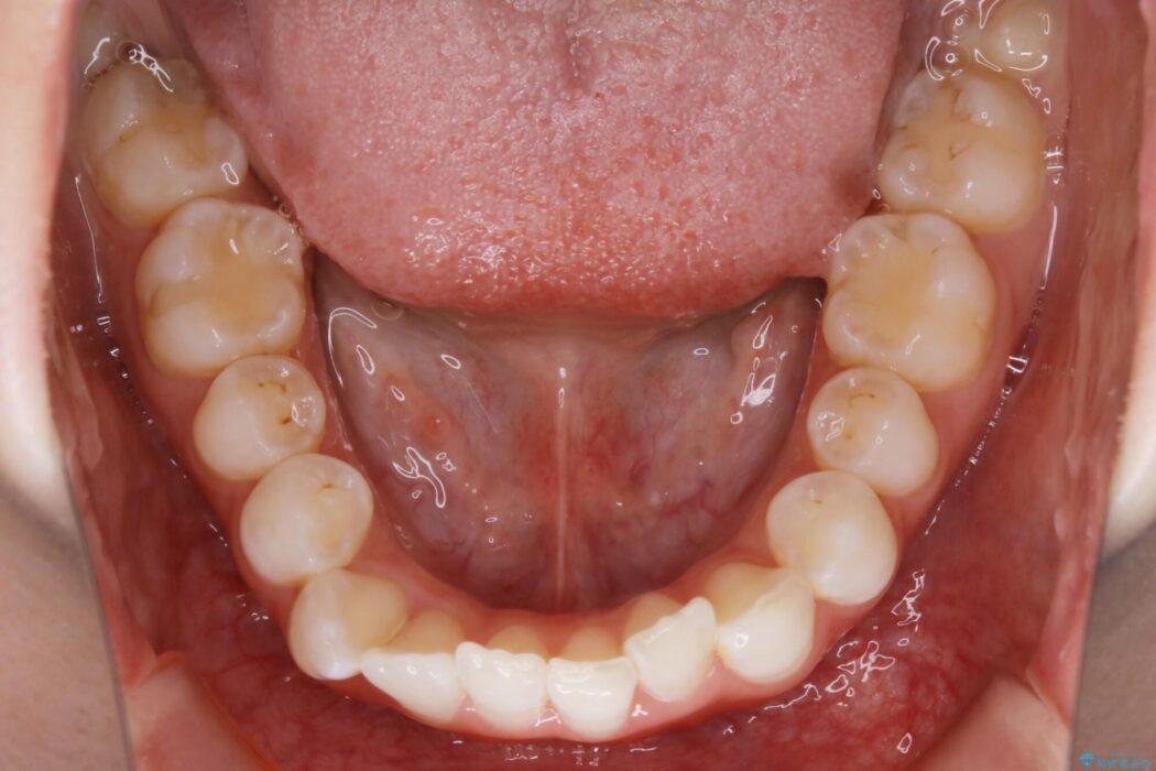
下顎右側の歯列の凸凹の改善を主訴に来院されました。
治療計画
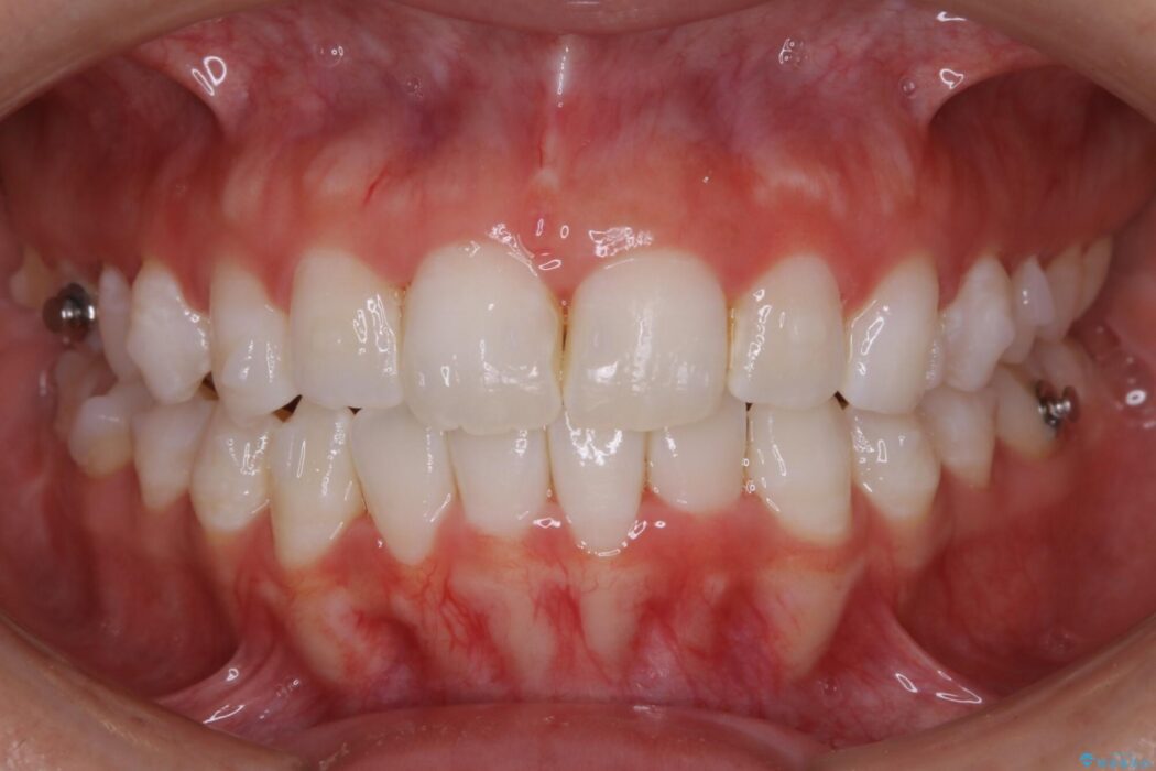
診査したところ、歯軸が傾斜しており見た目のガタつきだけではなく噛み合わせもズレていることが判明したため、歯列の矯正と合わせて噛み合わせの改善も並行して治療していくことをご提案しました。
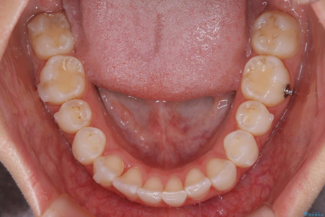
歯の遠心移動により歯列のガタつきと噛み合わせの改善をし上下前歯の正中を合わせることを計画しました。
また本症例ではインビザライン(コンプリヘンシブパッケージ)でのマウスピース矯正を選択しました。
治療後について
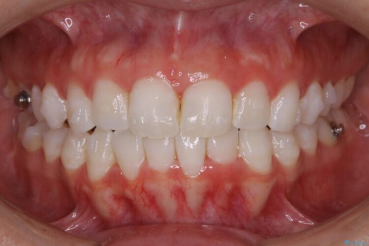
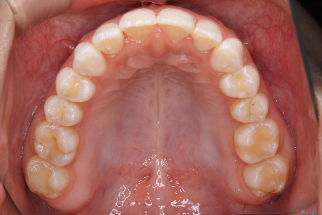
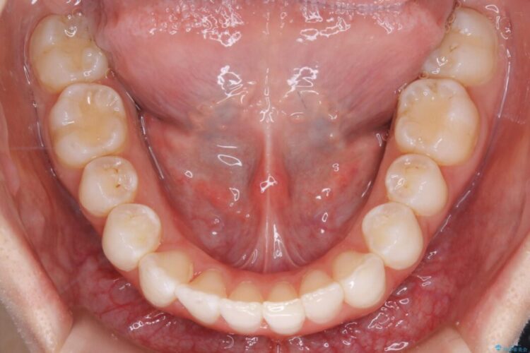
傾斜していた歯の角度が改善され、きれいな歯列弓となりました。
ゴムかけについて
今回のケースでは右下と左上の歯を遠心移動させるために患者様にゴムかけをお願いしました。
目標の位置に歯を移動させる助けとなることから補助装置として非常に有用であり、治療期間の短縮も期待できます。
関連する他の症例
マウスピース矯正の注意事項(リスク・副作用など)
- 口腔内・歯並びの状態によっては対応できない場合があります
- マウスピース型矯正装置の長時間装着(1日20時間以上)が必須です
- 治療計画通りに進めるためには、患者様の意志が重要になります
- 矯正治療後の保定が不十分だと後戻り(元の位置に戻ろうとする動き)をします
- 薬機法対象外の矯正歯科装置のため医薬品副作用被害救済制度の対象外となる場合があります
- 自費診療(保険適用外)となります









