【20代女性】生まれつき歯の本数が足りない先天欠如を治療する
治療概要
- 患者様:20代女性
- 治療期間:1年3ヶ月
- 矯正装置:インビザライン コンプリヘンシブパッケージ
- 概算治療費:88万円
※費用は治療当時の料金となります - 担当医:福本健生
治療動機
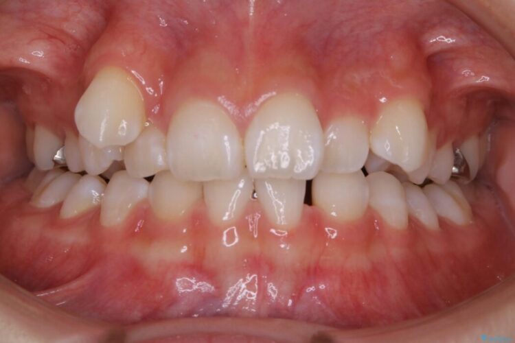
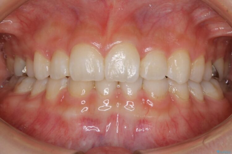
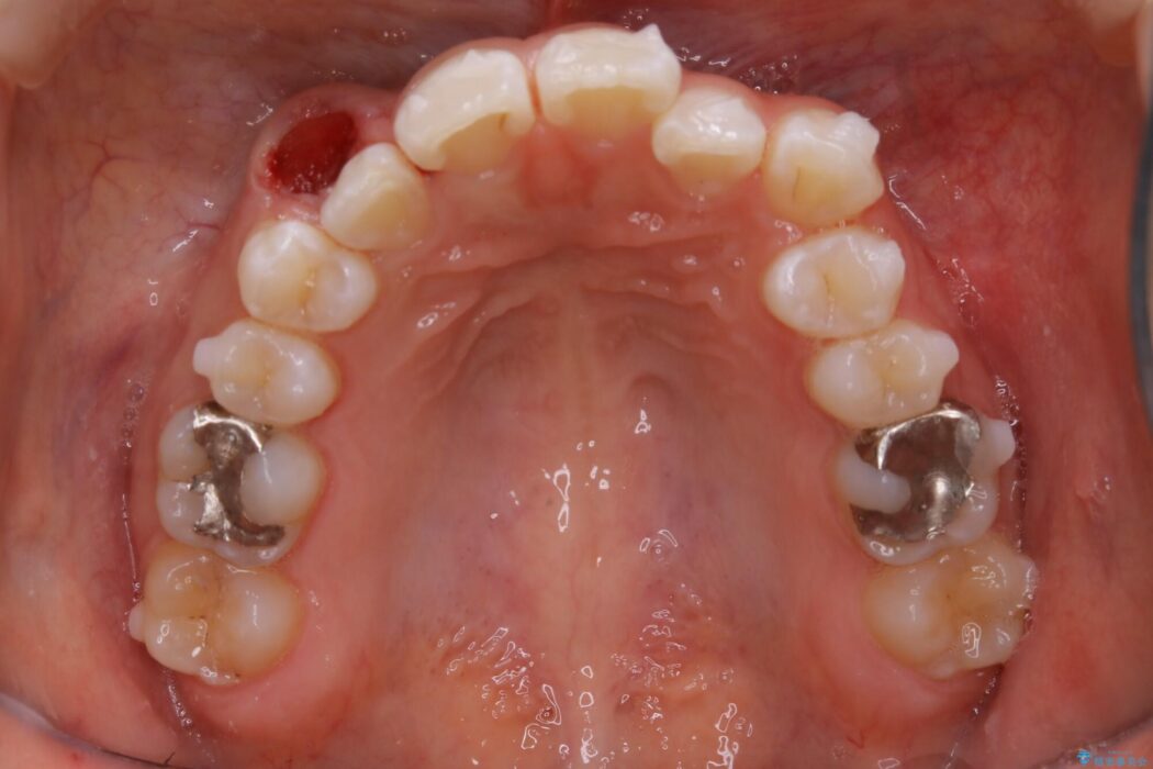
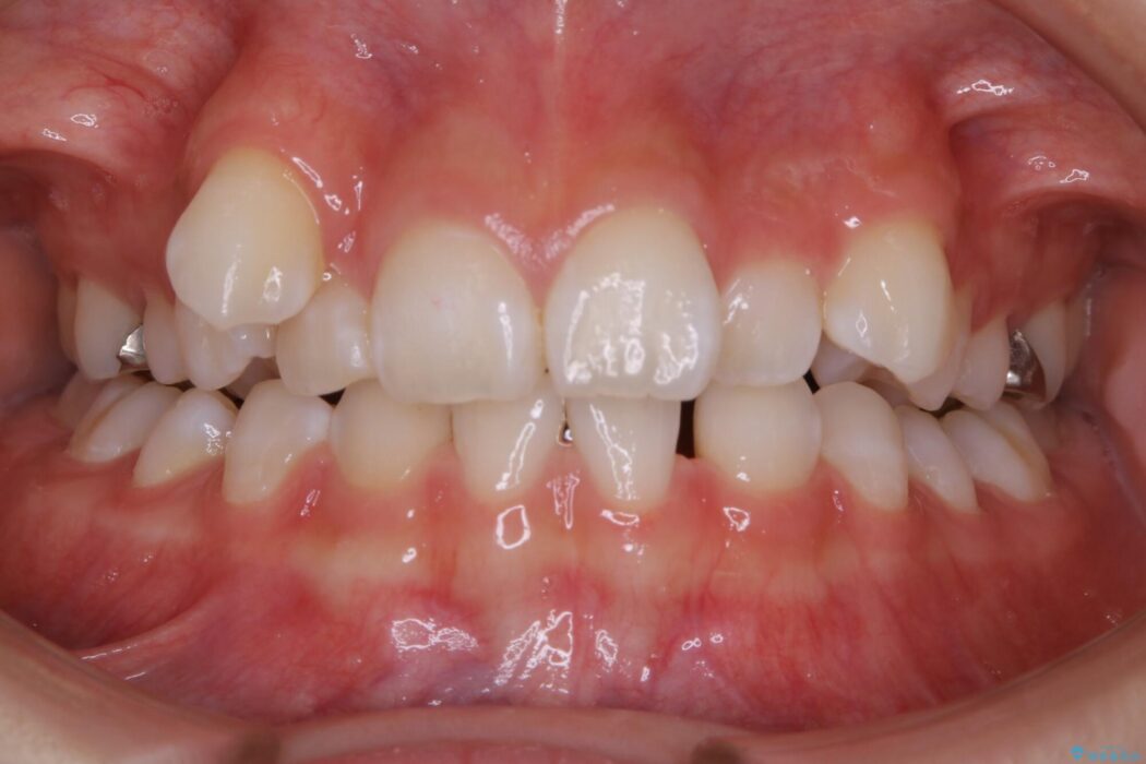
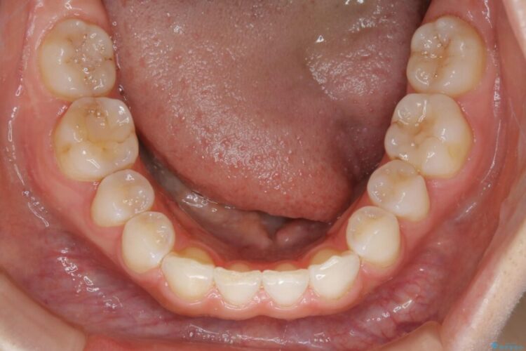
飛び出た八重歯による歯列のガタガタを主訴に来院されました。
治療計画
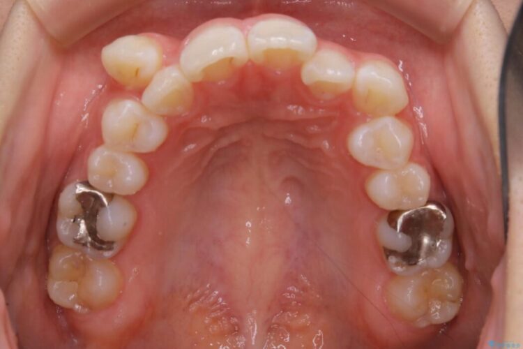
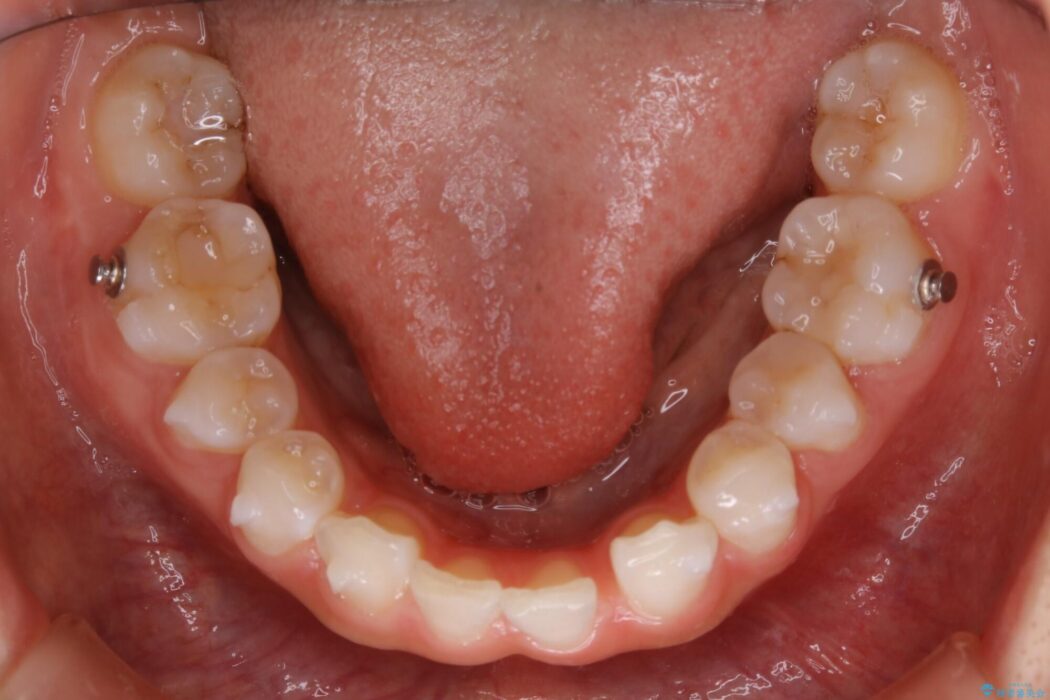
診査したところ叢生だけでなく生まれつき永久歯の欠損、いわゆる先天欠如により歯の本数が少ないため噛み合わせなどにも影響が出ている状態でした。
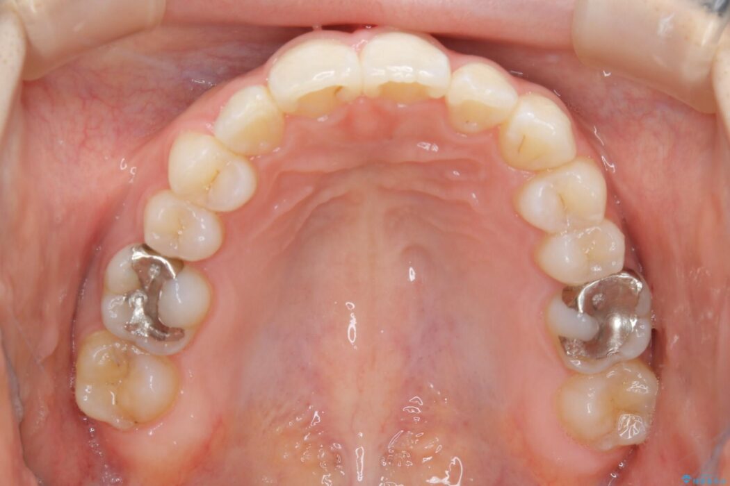
特殊な状況からの矯正治療となるため、抜歯する本数や位置、歯列を整えるにあたって必要なスペースの確保を慎重に計画し、インビザライン コンプリヘンシブパッケージでのマウスピース矯正を行いました。
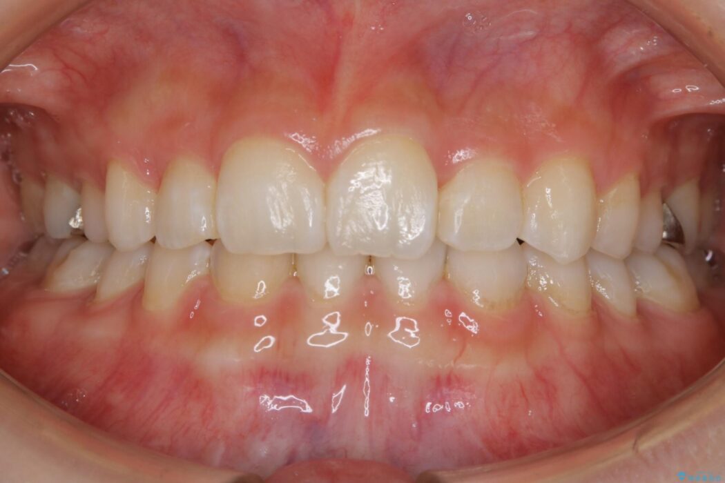
治療後について
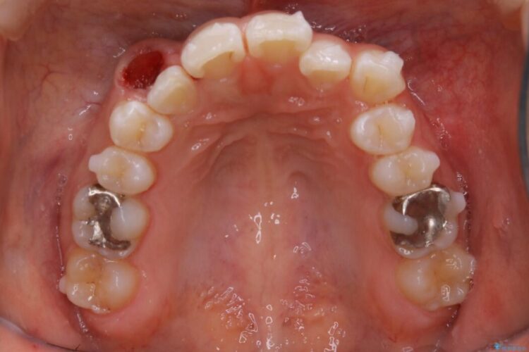
笑った時の歯の見た目がきれいになりとても喜んでいただけました。
先天欠如について
「先天欠如歯」とは「無歯症」とも呼ばれる生まれつき永久歯の数が足りない症状のことをいいます。上下合わせて乳歯は20本・永久歯は28本あるのが正常な本数となります。
このようなケースを治療する際は、
・欠損している歯の本数分を反対の顎の歯(上顎に欠損がある場合は下顎の歯)を抜歯してスペースの確保をする
・欠損分の幅を反対側の歯にIPRをすることによってスペースの調整をする
・欠損している歯の分のスペースをそのまま残したまま矯正を終了して、最後にブリッジやインプラント治療をすることで歯の本数を増やして隙間を埋める
上記のような方法があります。
個々の状態やご希望によっても異なりますので、治療方法につきましては患者様とご相談して決めていければと思います。
関連する他の症例
マウスピース矯正の注意事項(リスク・副作用など)
- 口腔内・歯並びの状態によっては対応できない場合があります
- マウスピース型矯正装置の長時間装着(1日20時間以上)が必須です
- 治療計画通りに進めるためには、患者様の意志が重要になります
- 矯正治療後の保定が不十分だと後戻り(元の位置に戻ろうとする動き)をします
- 薬機法対象外の矯正歯科装置のため医薬品副作用被害救済制度の対象外となる場合があります
- 自費診療(保険適用外)となります









