【20代女性】口元を引っ込めたい Eラインの改善
治療概要
- 患者様:20代女性
- 治療期間:2年6ヶ月
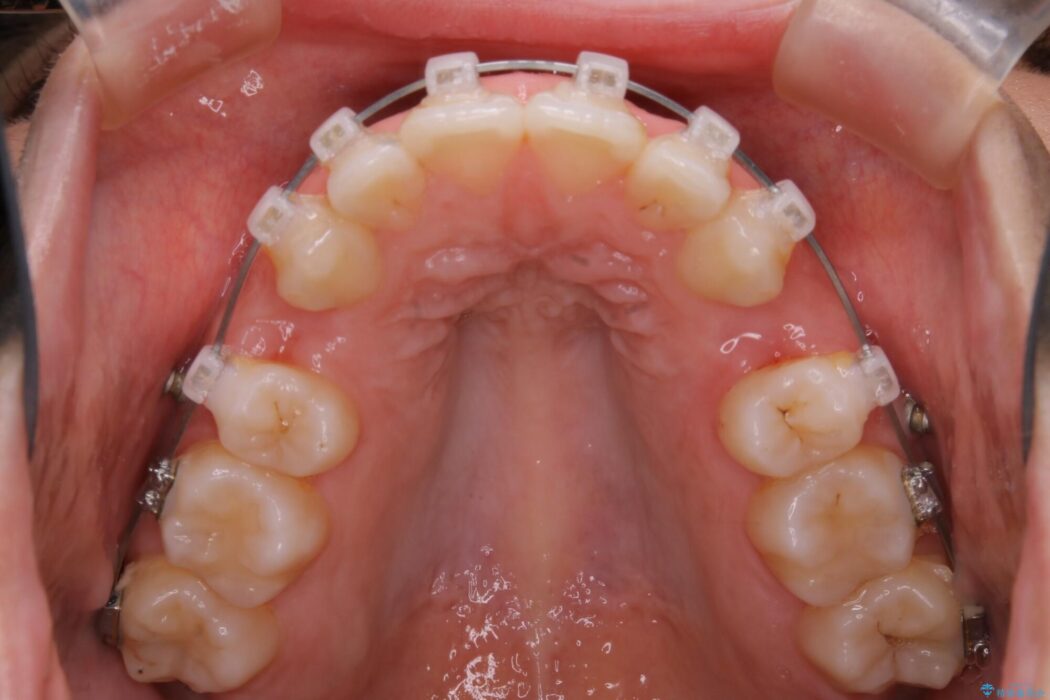
- 矯正装置:ワイヤー(クリア装置)
- 概算治療費:99万円 (ワイヤー装置+マイクロインプラント費用)
※費用は治療当時の料金となります - 担当医:福本健生
治療動機
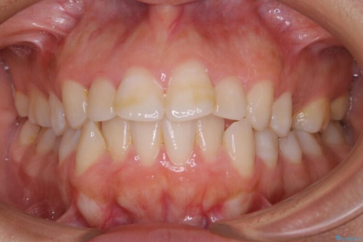
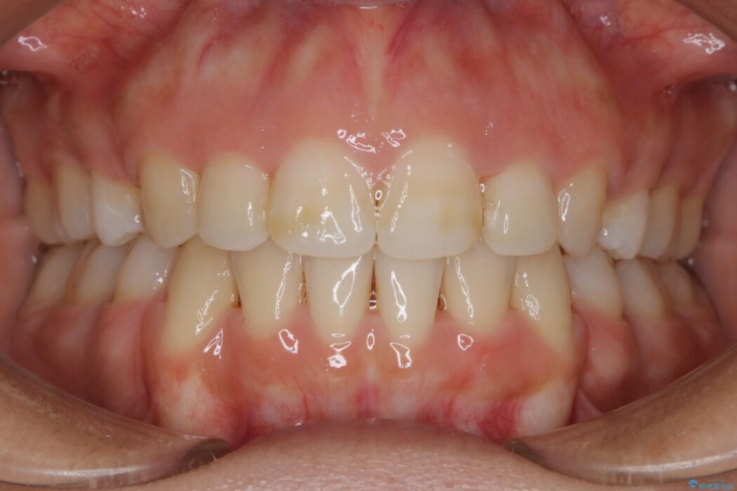
前突している口元を下げたいとの主訴で来院されました。
治療計画
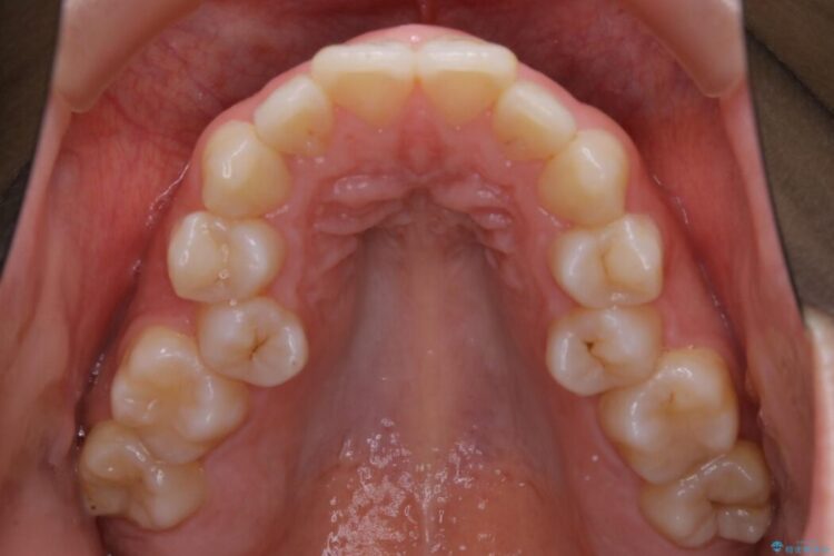
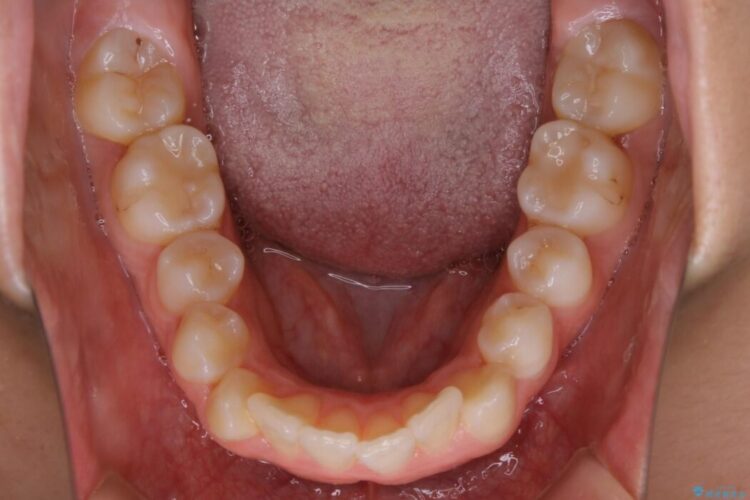
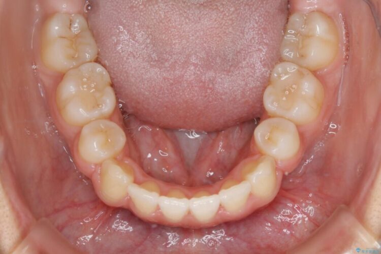
叢生(そうせい)の程度は軽度ではありましたが、顎が小さいことから歯列の幅が狭く、歯が内側に入り込んだり前方へ出てしまっていました。
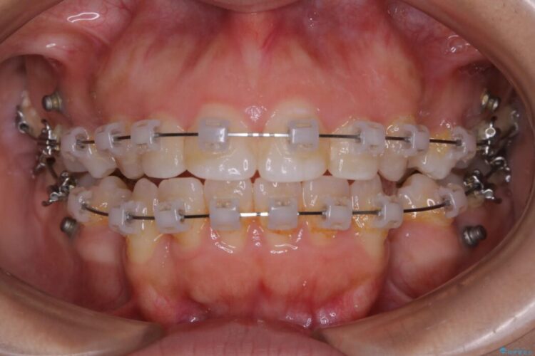
口元までしっかりと変化を起こせるよう歯列を整えるスペースを確保するために、上下左右の第一小臼歯を抜歯、のちにワイヤー装置にて矯正をしていく計画としました。
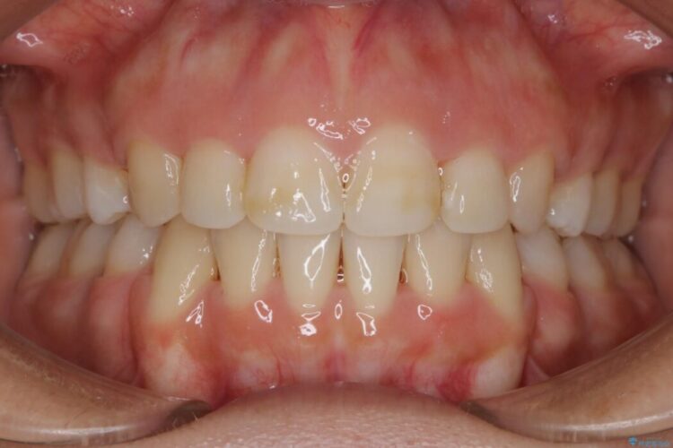
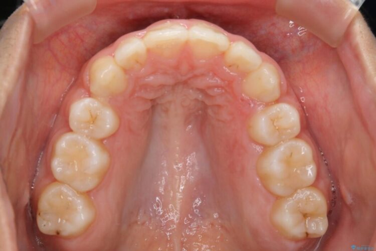
治療後について
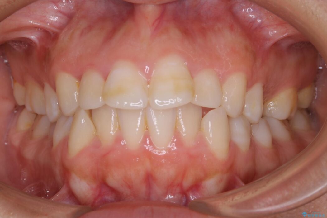
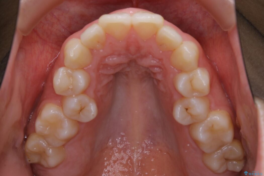
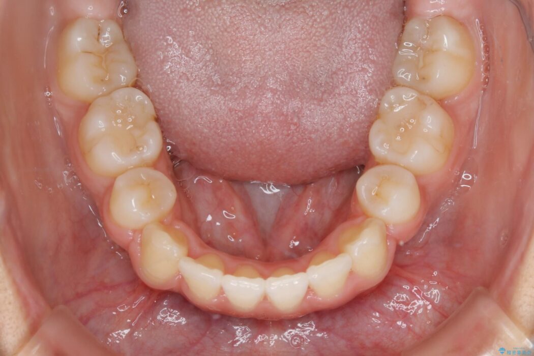
整ったアーチとなり前方へ飛び出ていた前歯も横からの写真を見ても引っ込んでいるのが確認できます。
キレイなEラインとなり印象が変わったと、とても喜んでいただけました。
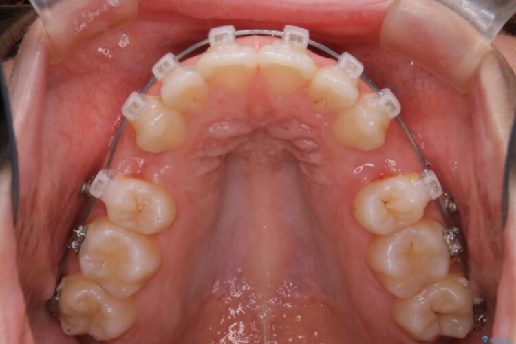
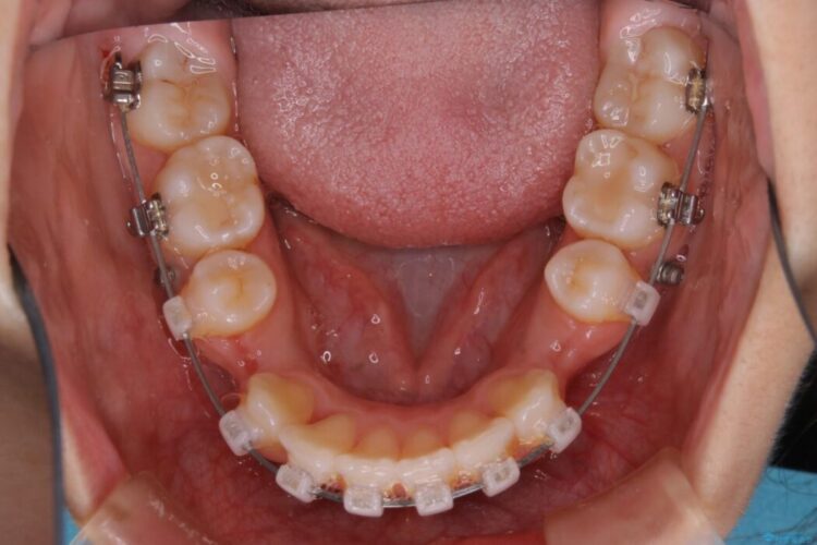
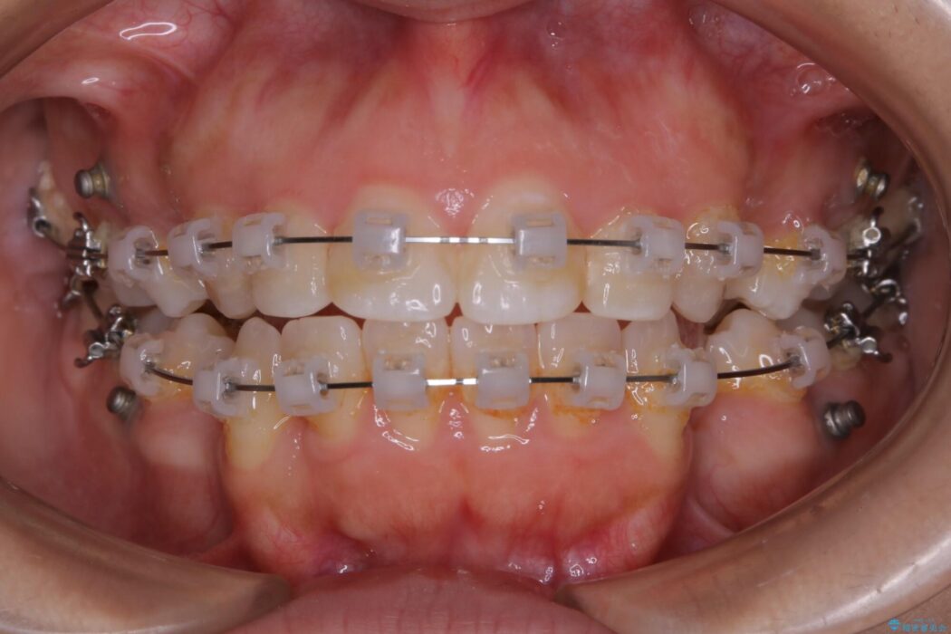
クリアブラケット
本症例では患者様のご希望からクリアブラケットを使用しています。
これは歯の表面に装着する歯の色味に近い装置です。金属製のメタルブラケットと比べると口元が見えた時に目立ちにくく、矯正中の見た目を重視される方にはおすすめです。
関連する他の症例
マウスピース矯正の注意事項(リスク・副作用など)
- 口腔内・歯並びの状態によっては対応できない場合があります
- マウスピース型矯正装置の長時間装着(1日20時間以上)が必須です
- 治療計画通りに進めるためには、患者様の意志が重要になります
- 矯正治療後の保定が不十分だと後戻り(元の位置に戻ろうとする動き)をします
- 薬機法対象外の矯正歯科装置のため医薬品副作用被害救済制度の対象外となる場合があります
- 自費診療(保険適用外)となります









