【20代女性】軽度の反対咬合を部分矯正でなおす
治療概要
- 患者様:20代女性
- 治療期間:6ヶ月
- 矯正装置:インビザライン ライトパッケージ
- 概算治療費:49万円
※費用は治療当時の料金となります - 担当医:福本健生
治療動機
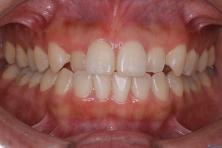
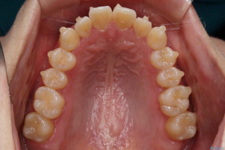
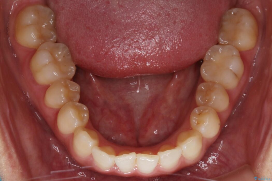
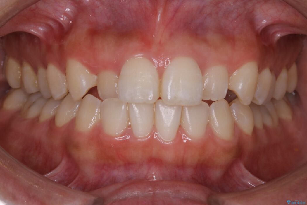
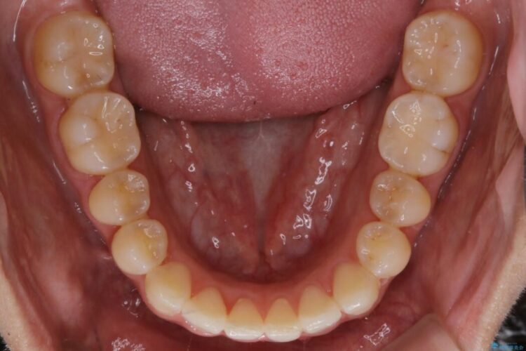
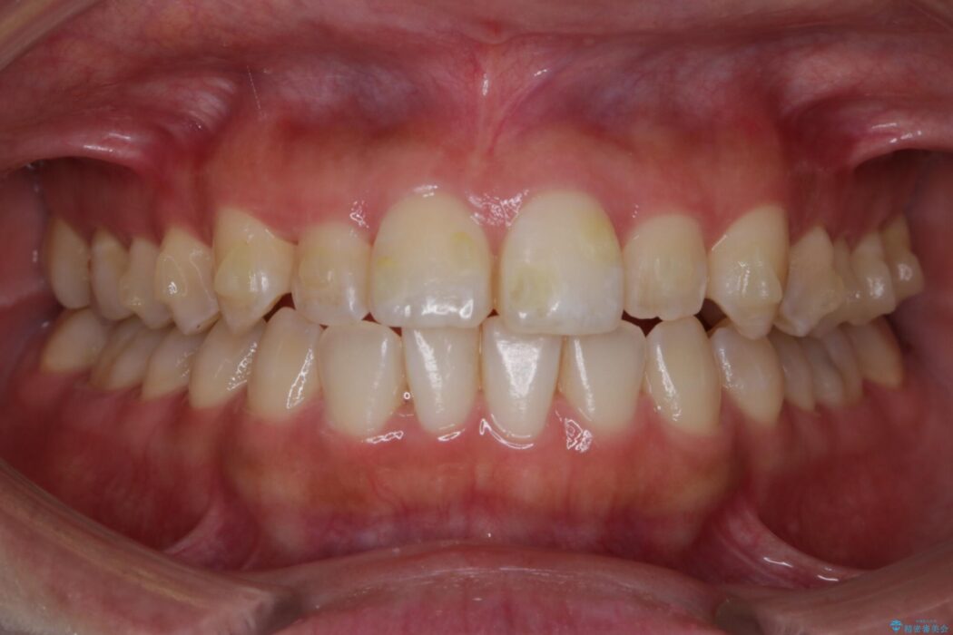
上顎歯列のガタガタを改善したいとのことで来院されました。
治療計画
前歯の一部に反対咬合が見られ歯列がガタガタしていたためインビザラインでの矯正治療をご提案しました。
また、奥歯の噛み合わせなどにほとんど問題がなかったことからインビザラインのライトパッケージを選択しました。
治療後について
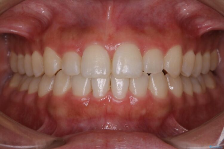
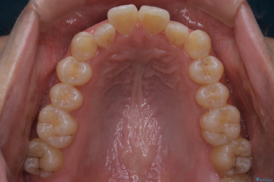
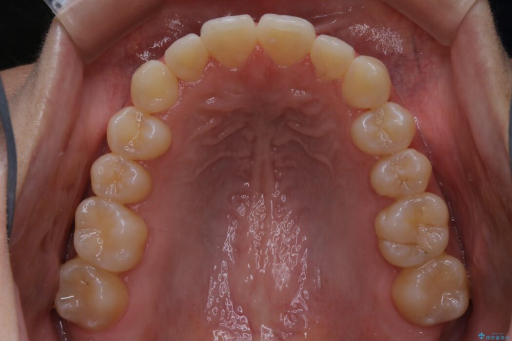
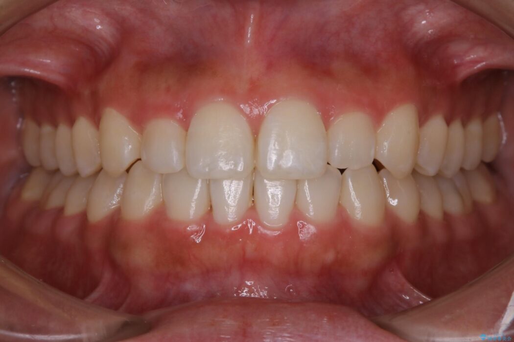
反対咬合の歯も整ったアーチに収まり、きれいに仕上がりました。
部分矯正について
今回のケースでは前歯部の軽い凹凸のみであったため部分矯正の適応範囲に該当していました。
適応例は限られますが、部分矯正は全体矯正と比べると矯正期間が短く、費用も安く済みます。
関連する他の症例
マウスピース矯正の注意事項(リスク・副作用など)
- 口腔内・歯並びの状態によっては対応できない場合があります
- マウスピース型矯正装置の長時間装着(1日20時間以上)が必須です
- 治療計画通りに進めるためには、患者様の意志が重要になります
- 矯正治療後の保定が不十分だと後戻り(元の位置に戻ろうとする動き)をします
- 薬機法対象外の矯正歯科装置のため医薬品副作用被害救済制度の対象外となる場合があります
- 自費診療(保険適用外)となります









