【30代女性】噛み合わせのズレを解消する
治療概要
- 患者様:30代女性
- 治療期間:1年2ヶ月
- 矯正装置:インビザライン
- 概算治療費:88万円
※費用は治療当時の料金となります - 担当医:福本健生
治療動機
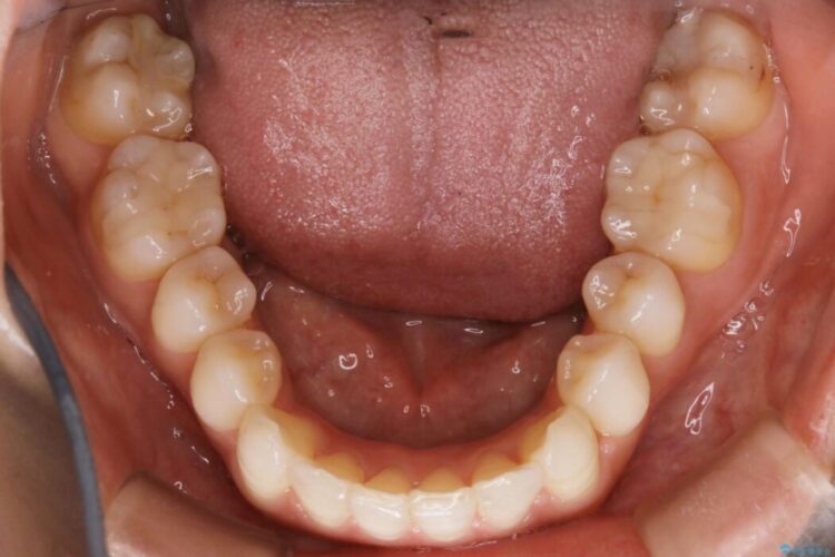
噛み合わせが悪く改善したいとのことで来院されました。
治療計画
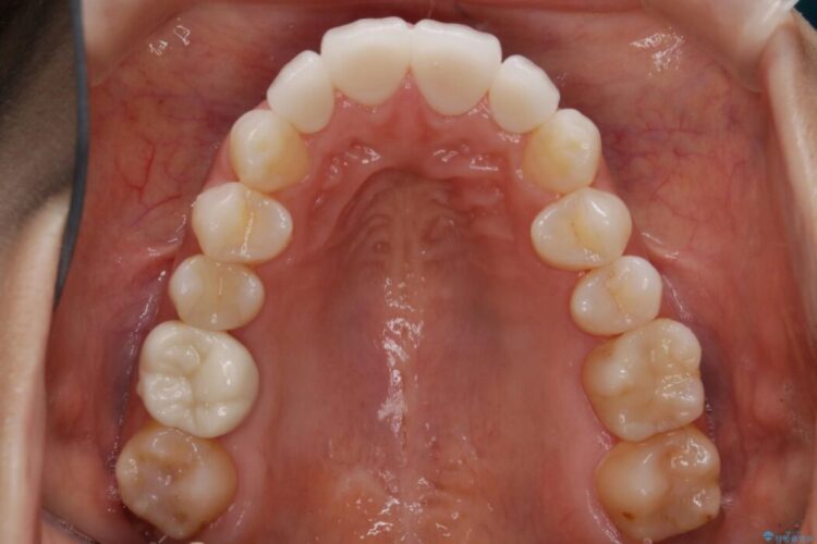
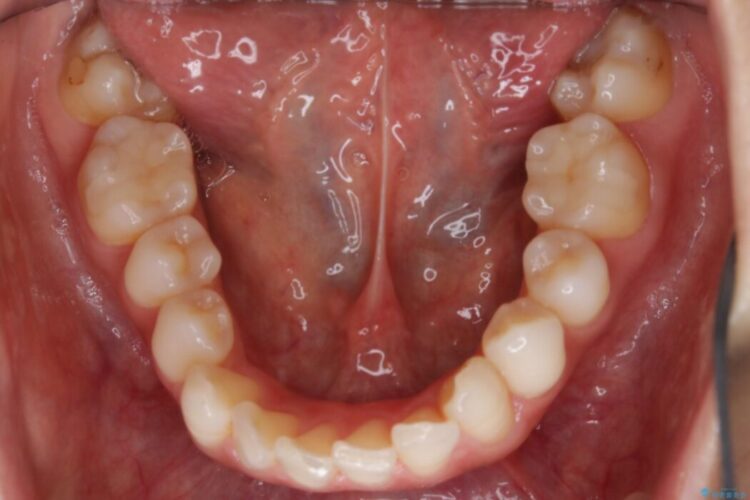
軽度のガタつきと不正咬合が見受けられましたので、インビザラインでの矯正治療を計画しました。
また確認したところ前歯と奥歯にセラミッククラウンで治療した歯があったため、そちらに影響のない範囲内で口腔内全体の噛み合わせが改善されるように歯を動かしていくことになりました。
治療後について
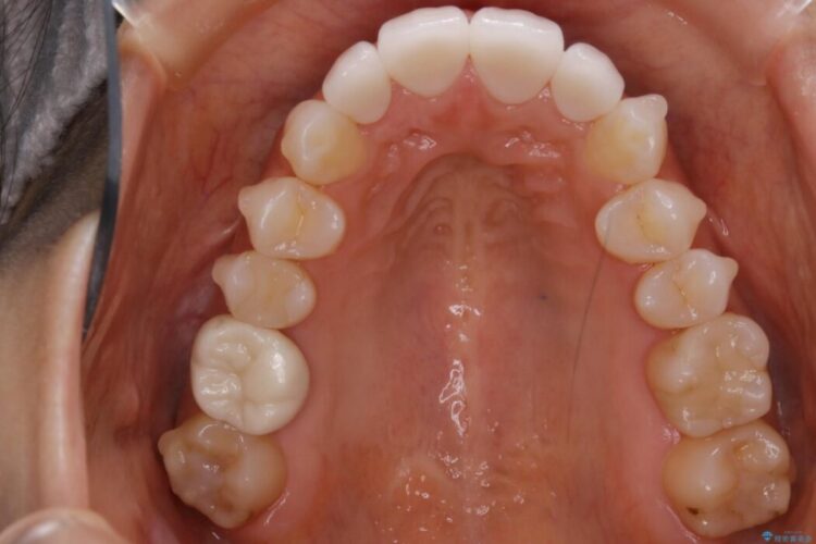
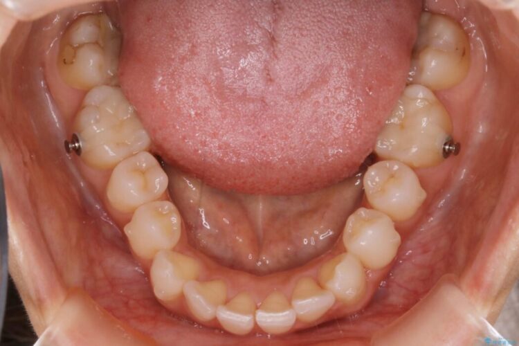
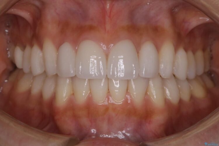
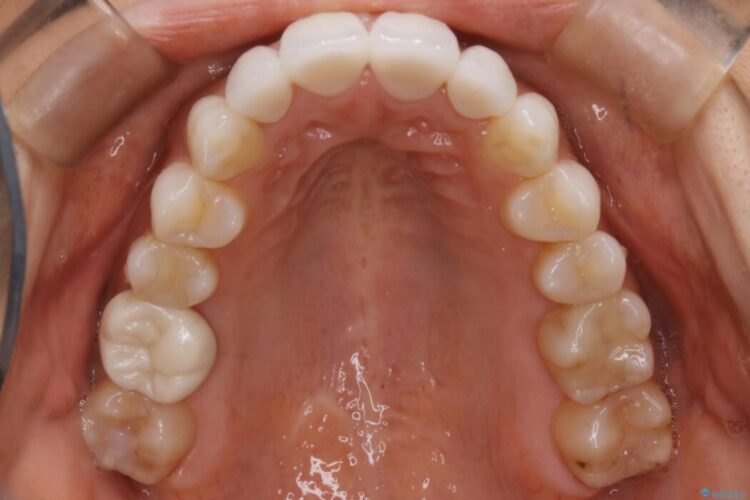
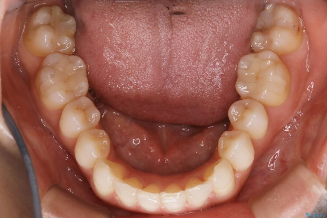
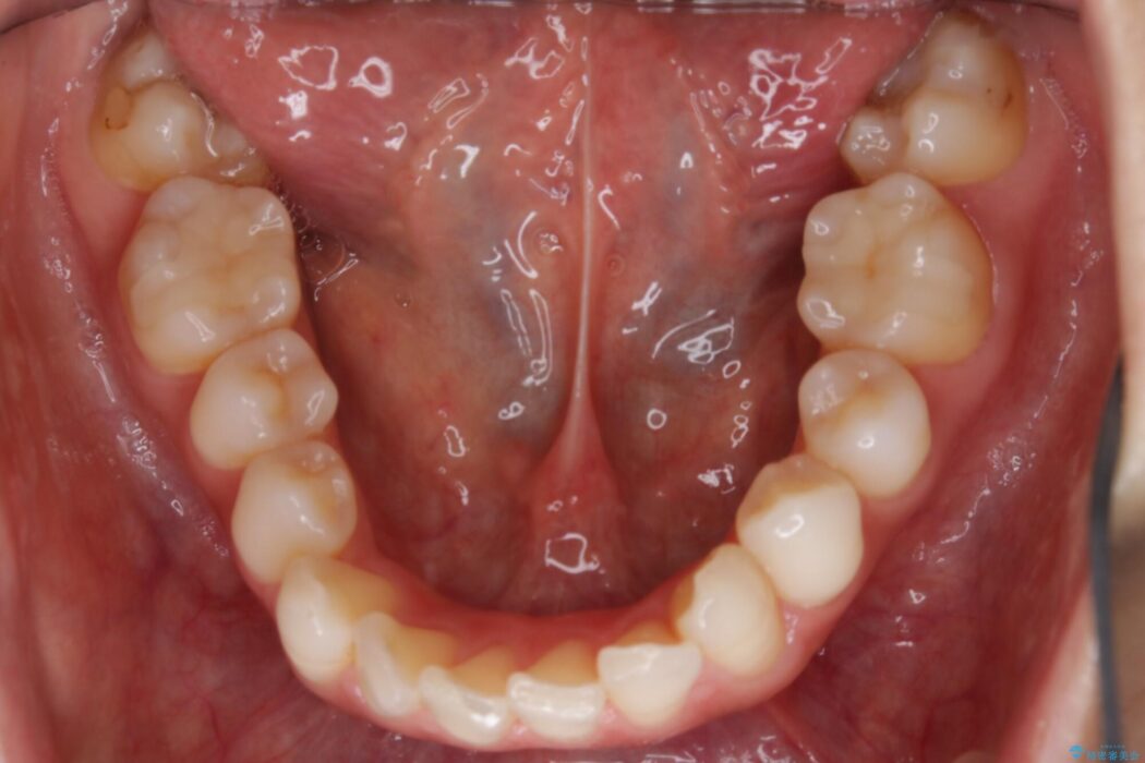
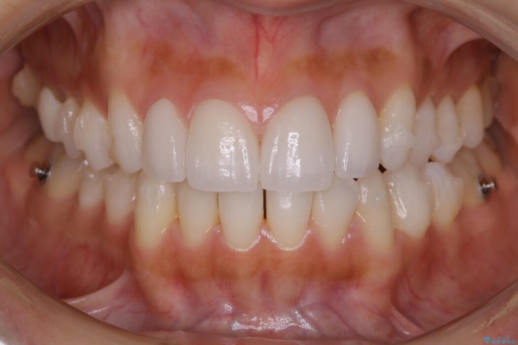
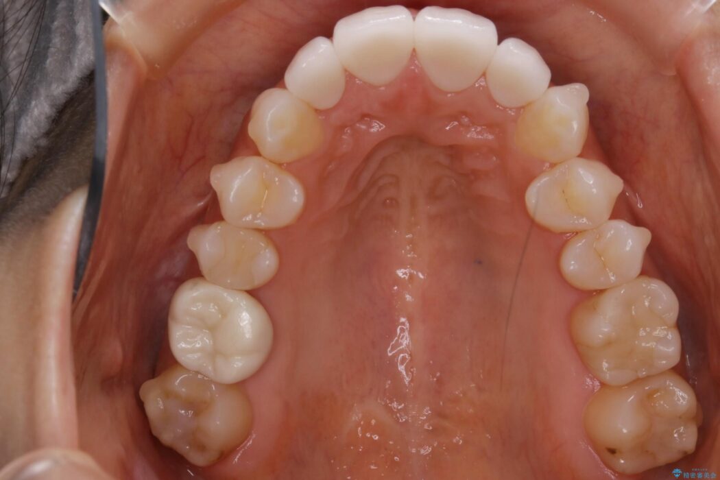
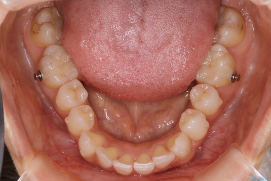
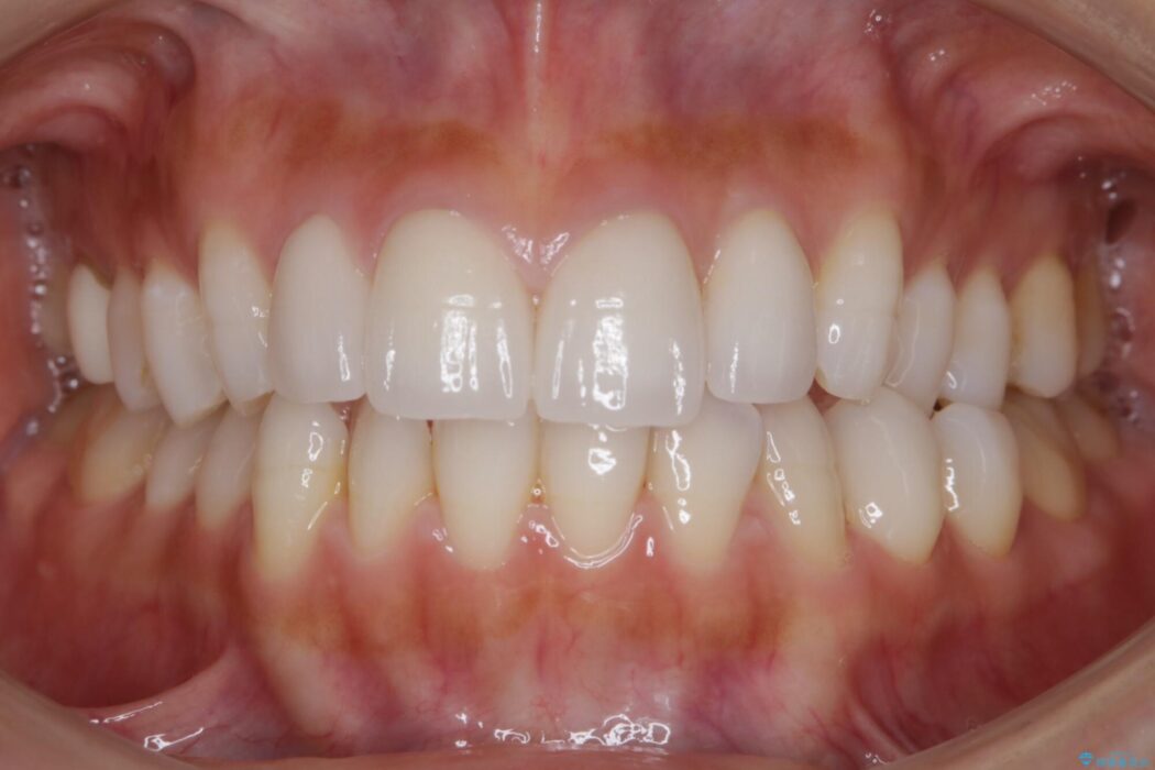
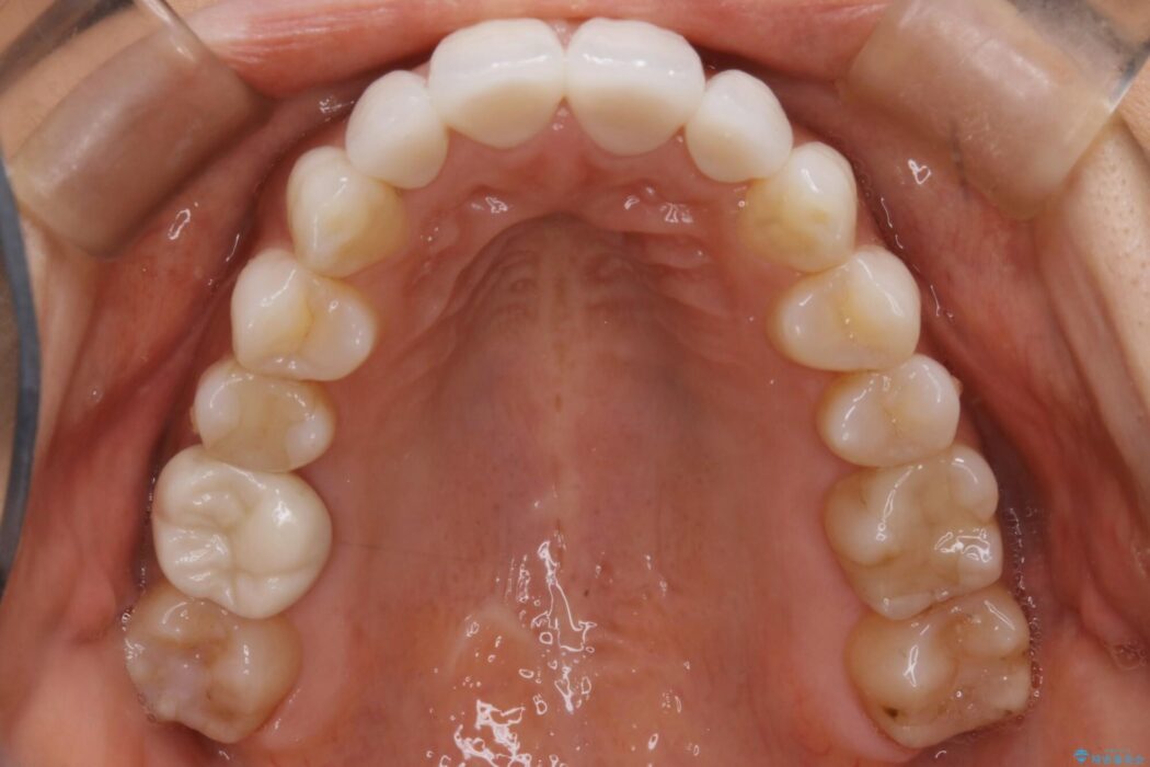
既定のインビザラインの装着時間を守っていただけたこともあり整ったアーチとなりました。
特に気にされていた噛み合わせは改善されご満足いただけました。
かぶせ物がある場合の矯正治療
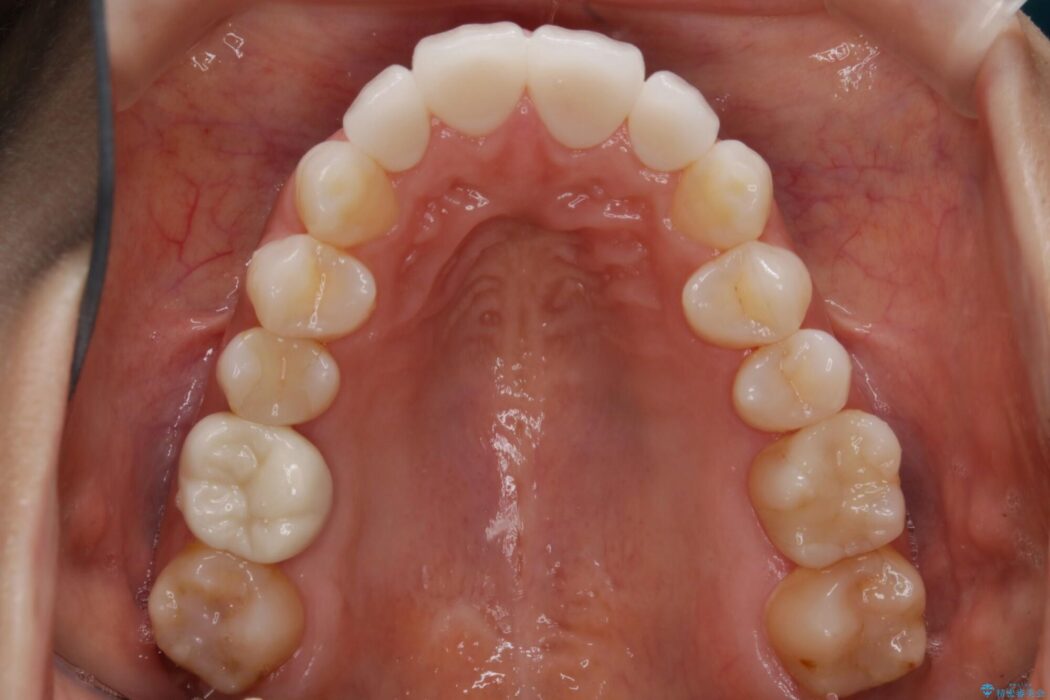
本症例ではセラミッククラウンのかぶせ物をした歯が複数ありました。
セラミック等の被せ物がある場合、それ自体の外形は矯正治療では変えられないため天然歯の移動に影響を与えてしまうことがあります。
加えてインビザラインでの治療上設定されるアタッチメント(歯の表面に付けるプラスチックの突起)が外れやすい場合が多く、歯の移動に対する力が不足する可能性があります。
関連する他の症例
マウスピース矯正の注意事項(リスク・副作用など)
- 口腔内・歯並びの状態によっては対応できない場合があります
- マウスピース型矯正装置の長時間装着(1日20時間以上)が必須です
- 治療計画通りに進めるためには、患者様の意志が重要になります
- 矯正治療後の保定が不十分だと後戻り(元の位置に戻ろうとする動き)をします
- 薬機法対象外の矯正歯科装置のため医薬品副作用被害救済制度の対象外となる場合があります
- 自費診療(保険適用外)となります









