【40代女性】前歯のかぶせ物をセラミックでやりなおす
治療概要
- 患者様:40代女性
- 治療期間:2ヶ月
- 概算治療費:25万円
※費用は治療当時の料金となります - 担当医:福本健生
治療動機
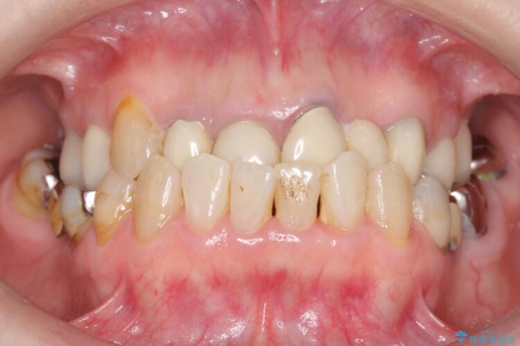
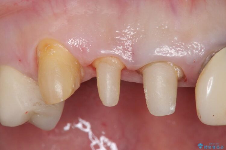
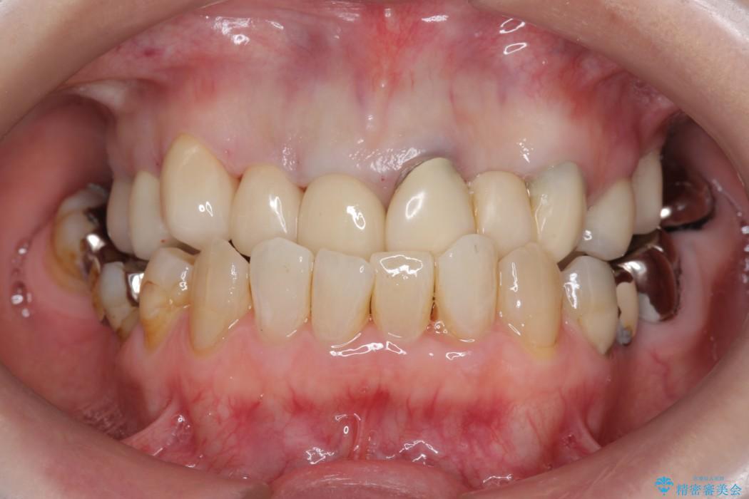
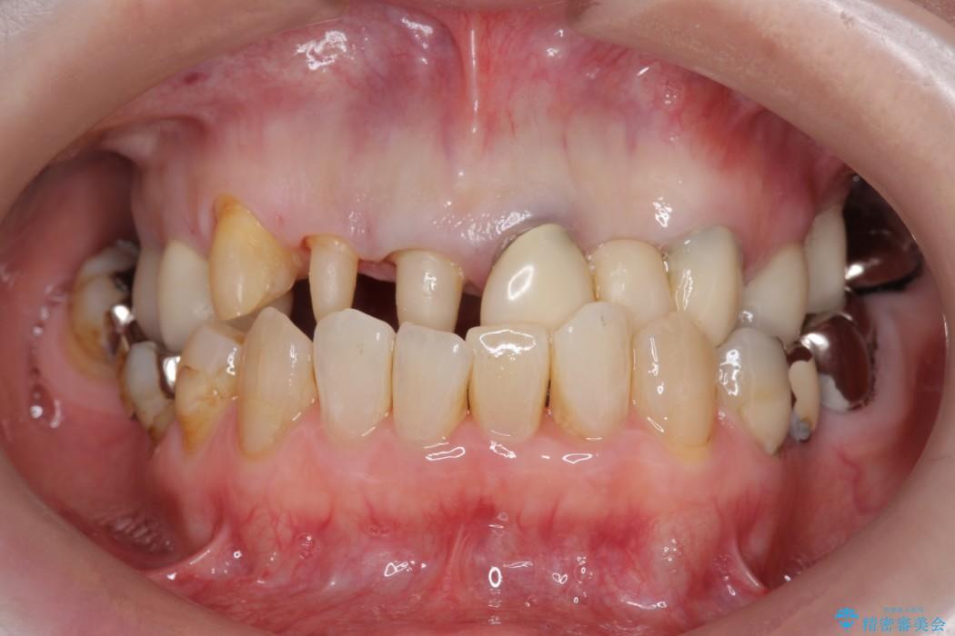
上顎右側の前歯2本のかぶせ物部分の再治療と犬歯に発生していた虫歯治療を主訴に来院されました。
治療計画
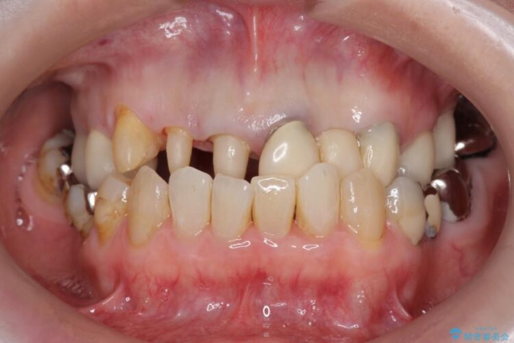
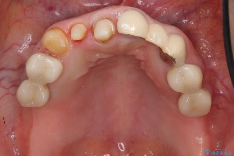
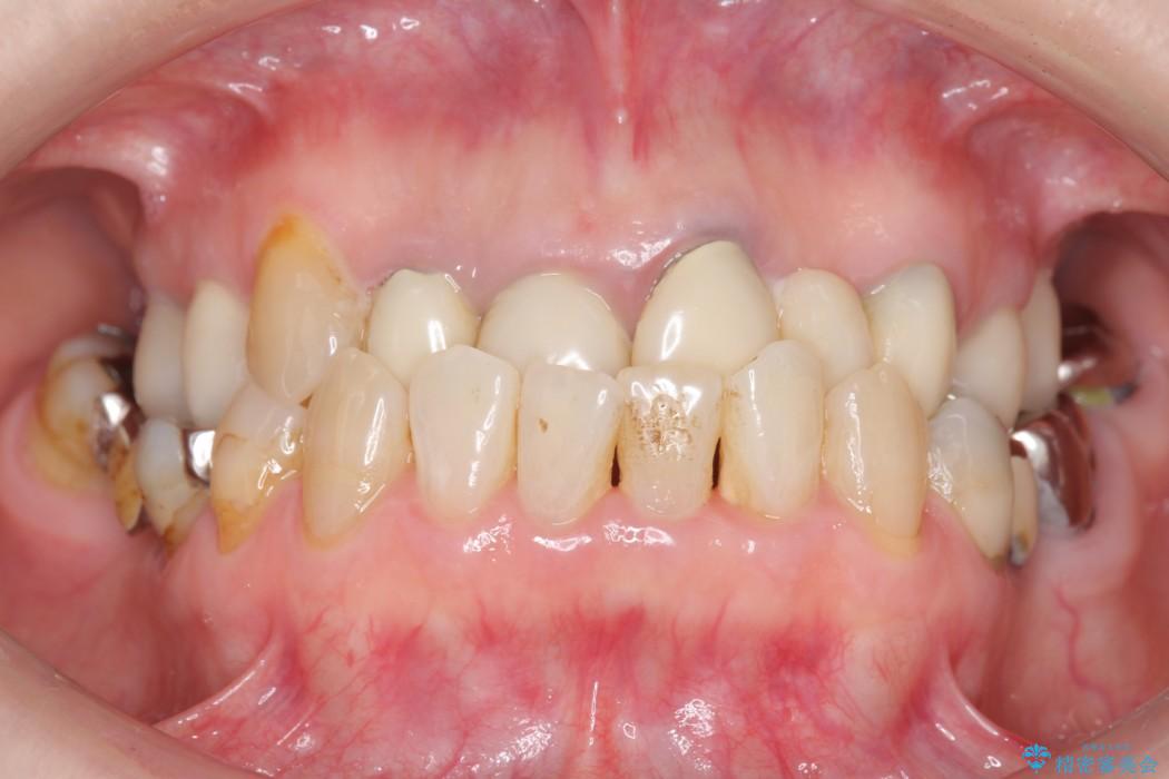
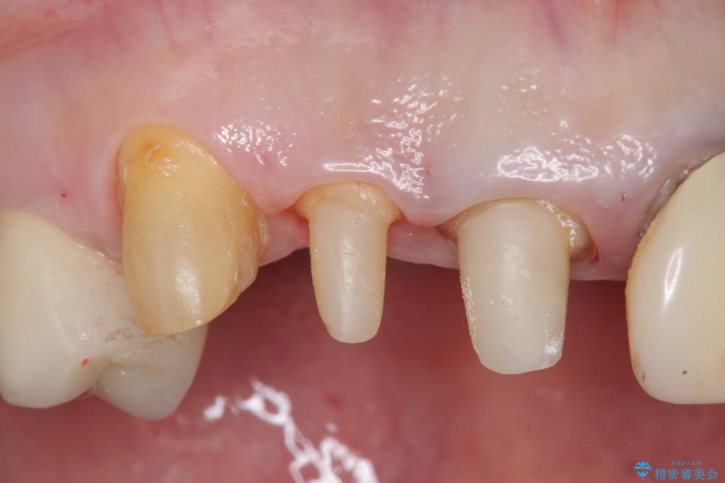
前歯のかぶせ物に関しましては、内面が金属で覆われているため歯茎にその色が透けて見えるという審美的な問題と、かぶせ物と歯の境界が不適合であるという問題がありました。
犬歯の虫歯につきましては、何度も詰め物治療が繰り返されている痕跡があり今回虫歯を取りきるにあたり歯の強度に不安が残るため前歯と同時にかぶせ物の治療をしていくことを計画しました。
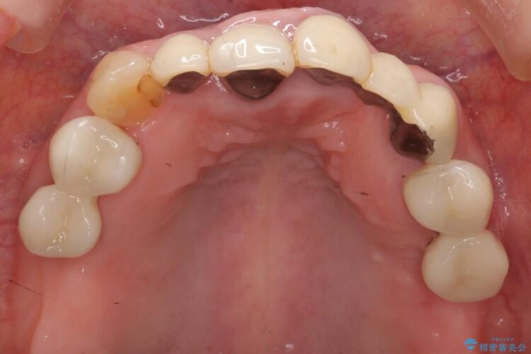
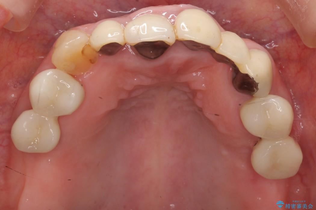
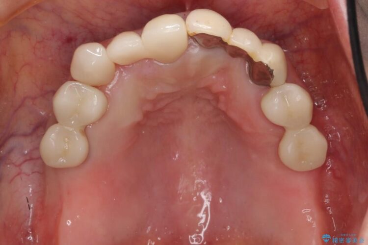
メタルフリー治療
その名の通り金属を使用しない治療です。
今回の症例では金属の色が透けていることを気にされていたので、土台から金属を除去し、金属を使用していないオールセラミックのかぶせ物を使用することとしました。
関連する他の症例
セラミック治療の注意事項(リスク・副作用など)
- 天然歯を削ります
- 硬い素材は天然歯を傷つけてしまう場合があります
- かみ合わせや歯ぎしりが強すぎる方はセラミックが割れてしまう可能性があります
- 自費診療(保険適用外治療)となります









