【20代男性】出っ歯をインビザラインで矯正治療
治療概要
- 患者様:20代男性
- 治療期間:2年
- 矯正装置:インビザライン
- 概算治療費:88万円+TAX(マイクロインプラント費用込)
※費用は治療当時の料金となります - 担当医:福本健生
治療動機
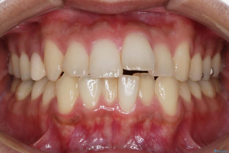
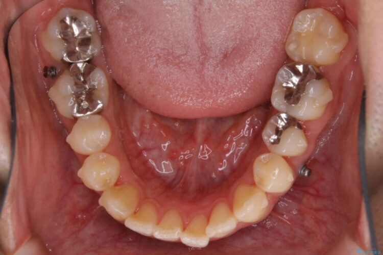
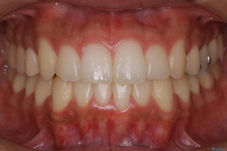
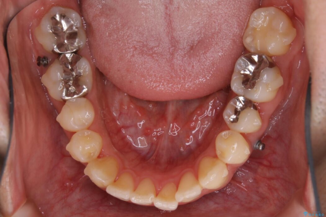
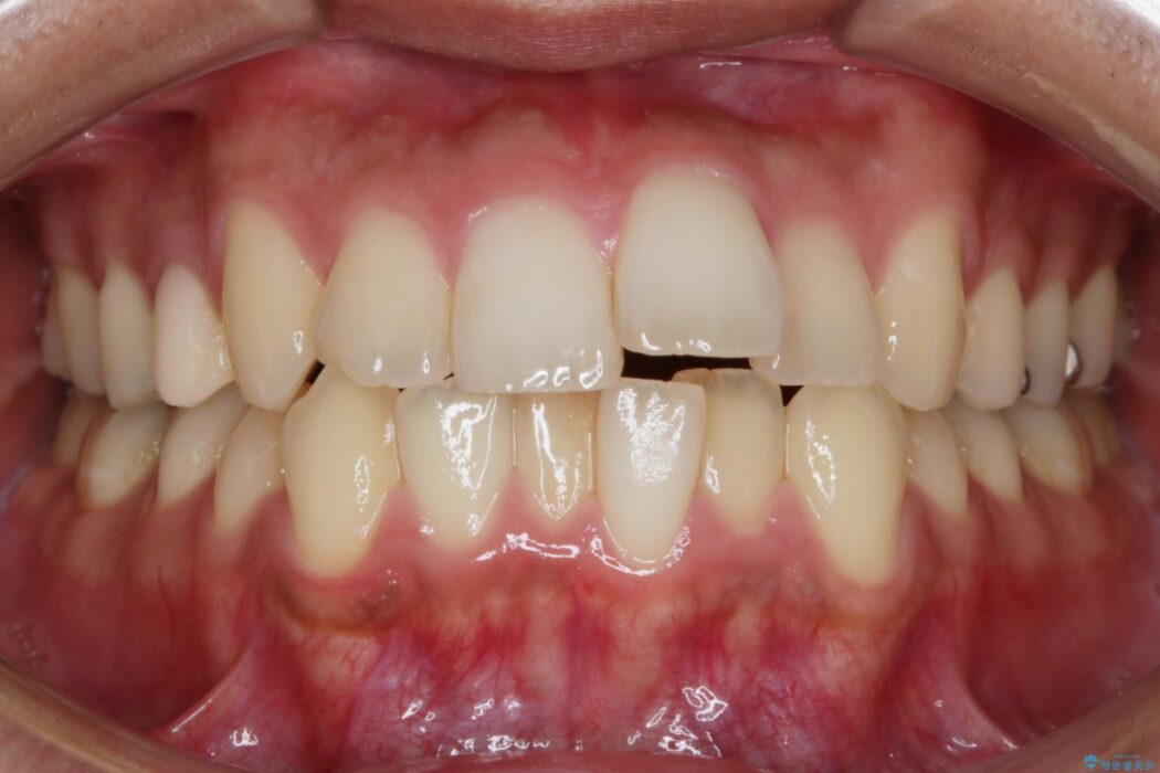
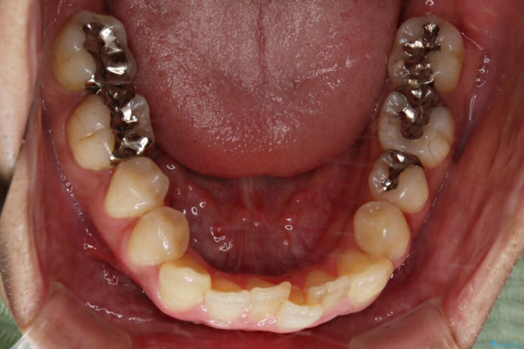
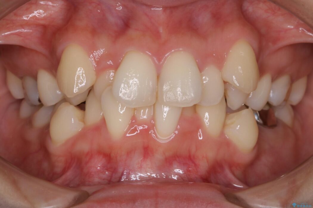
歯列のガタガタと飛び出ている前歯を治したいとのことで来院されました。
治療計画
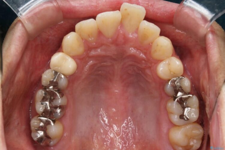
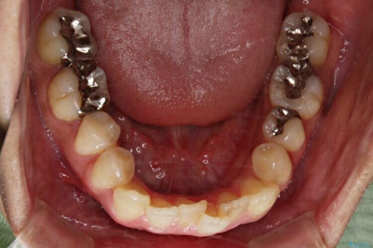
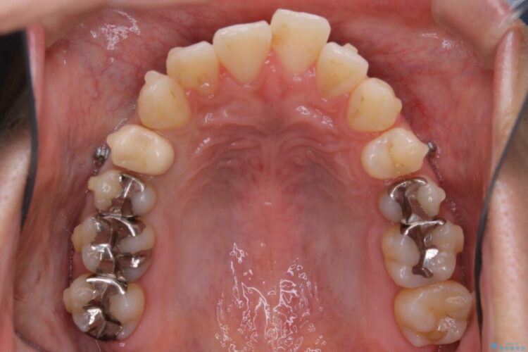
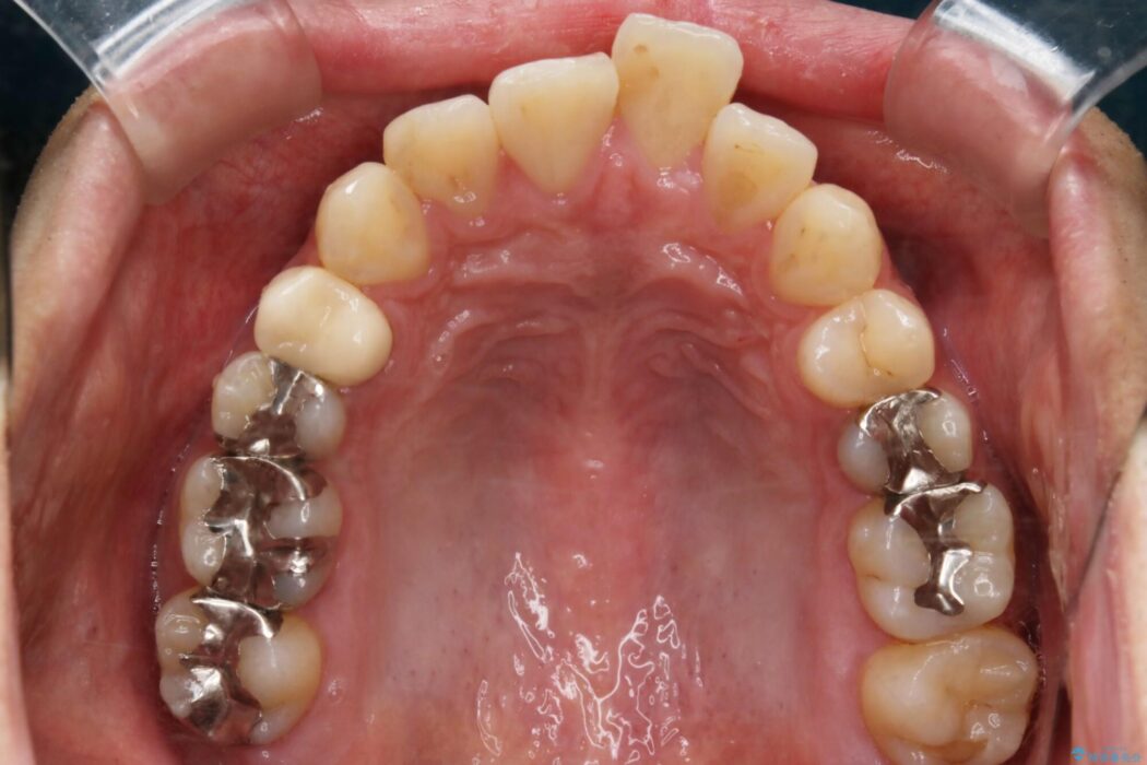
目立たない矯正装置をご希望でしたのでマウスピース装置(インビザライン)をご提案しました。
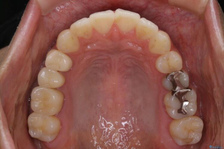
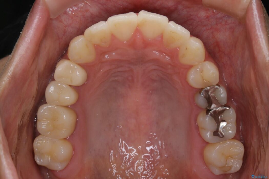
装置の範囲内で可能な限り前歯の位置を動かし整えるため、マイクロインプラントを用いて遠心移動をする歯列矯正を計画しました。
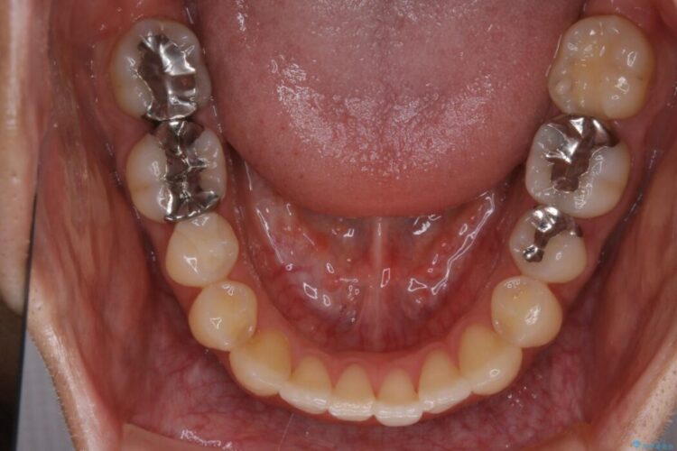
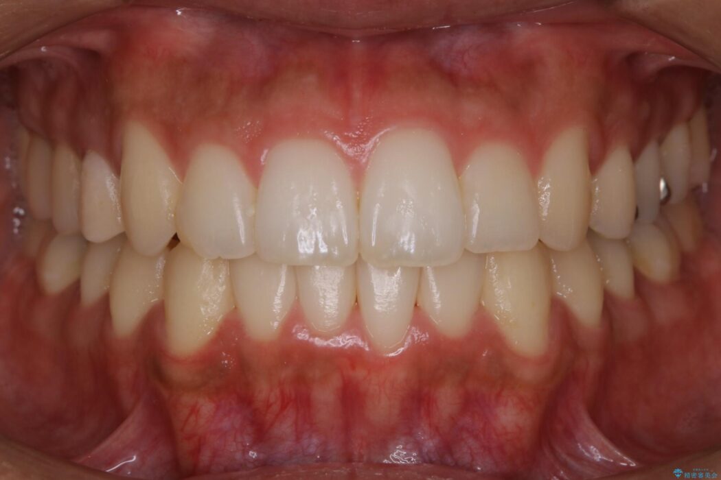
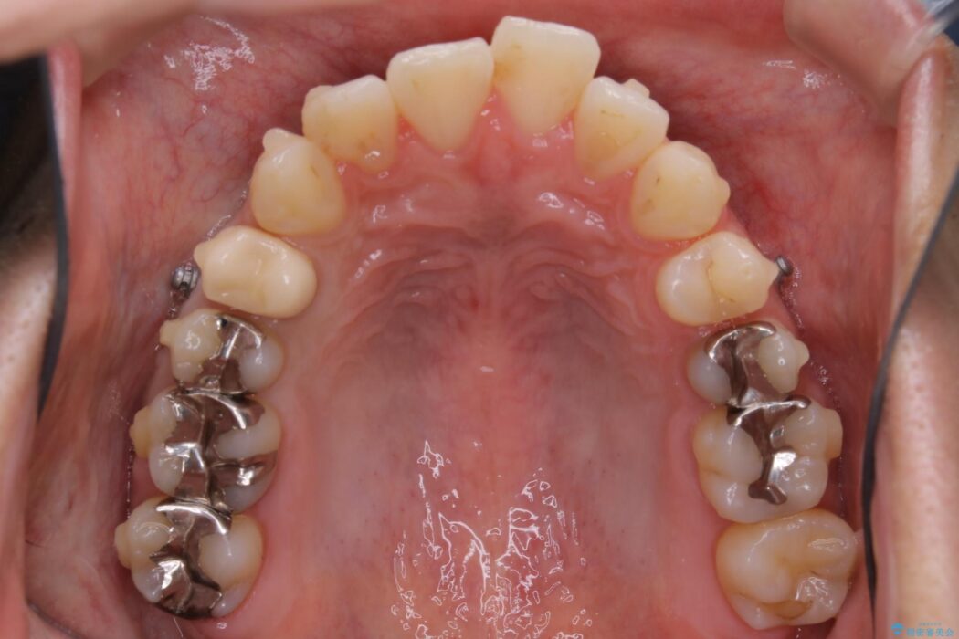
マイクロインプラントについて
本症例では上顎前突(出っ歯)や歯列のがたつきを改善するスペースを確保するために、歯を遠心移動をサポートすることができるマイクロインプラントを用いたゴムかけを行っていただきました。
それにより従来の矯正治療と比べましても効率的に歯の移動を行えるため、非抜歯の場合でも歯列を整えることが可能となります。
関連する他の症例
マウスピース矯正の注意事項(リスク・副作用など)
- 口腔内・歯並びの状態によっては対応できない場合があります
- マウスピース型矯正装置の長時間装着(1日20時間以上)が必須です
- 治療計画通りに進めるためには、患者様の意志が重要になります
- 矯正治療後の保定が不十分だと後戻り(元の位置に戻ろうとする動き)をします
- 薬機法対象外の矯正歯科装置のため医薬品副作用被害救済制度の対象外となる場合があります
- 自費診療(保険適用外)となります









