【20代女性】ゴムかけを併用し噛み合わせを改善!インビザライン矯正
治療概要
- 患者様:20代女性
- 治療期間:2年2ヶ月
- 矯正装置:インビザライン コンプリヘンシブパッケージ
- 概算治療費:88万円
※費用は治療当時の料金となります - 担当医:福本健生
治療動機
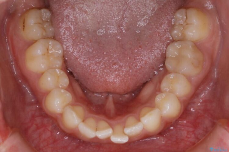
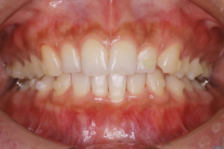
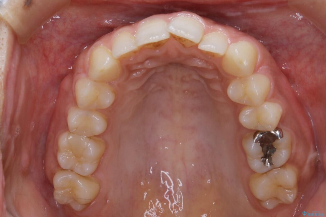
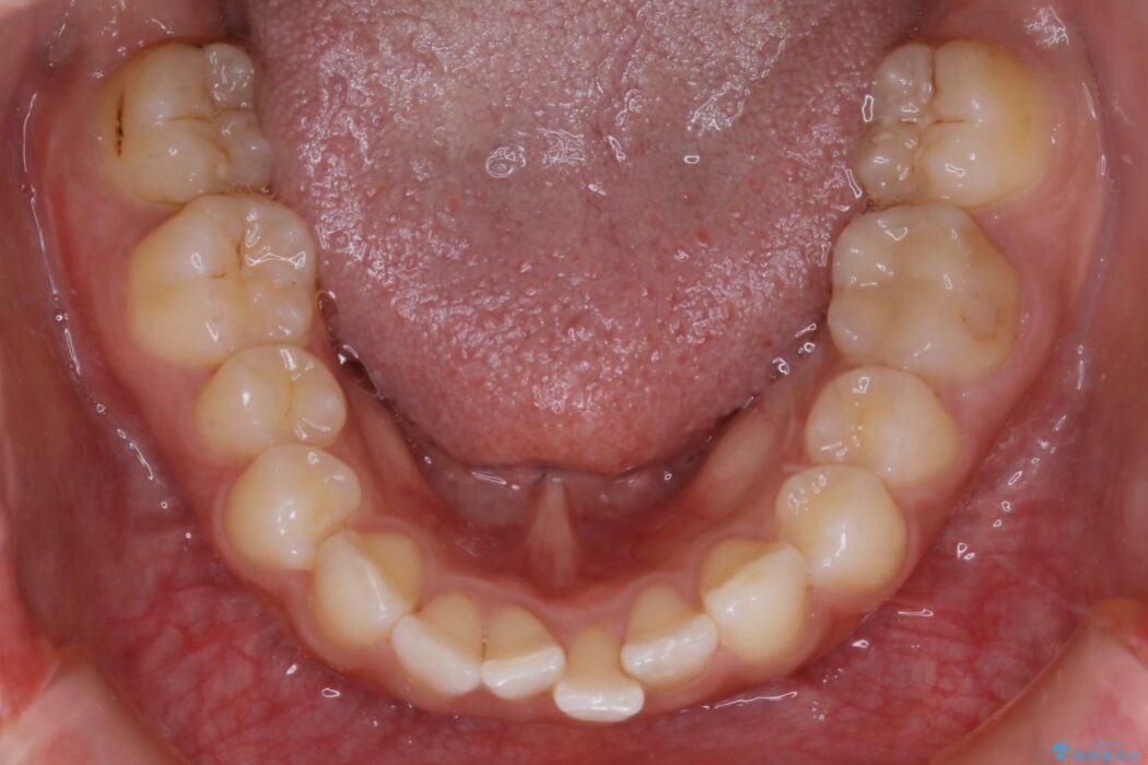
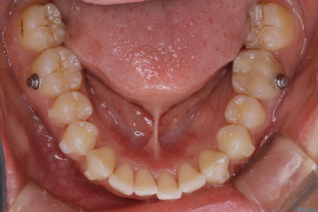
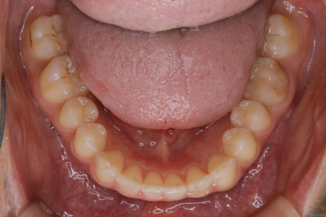
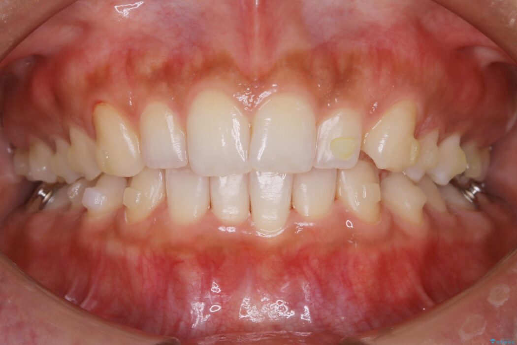
気になるガタツキと噛み合わせを改善したいとご来院されました。
治療計画
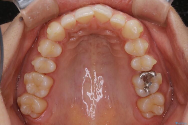
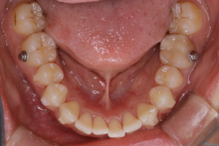
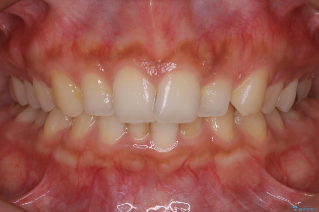
下の歯列よりも上の歯列が前に出ている状態を治すため、マウスピース矯正に加え、患者様にゴムかけのご協力をいただきました。その結果、ガタつきが改善し、上下の噛み合わせが適切な位置で合うようになりました。
歯列弓の拡大
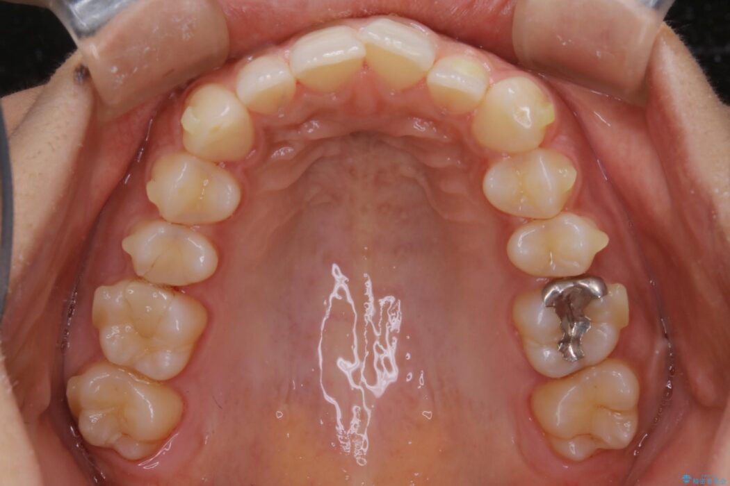
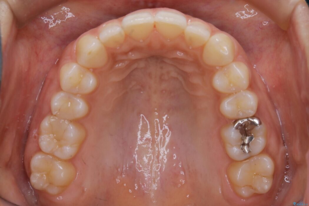
歯並びが悪くなる原因の一つに「歯列弓の狭窄」というものがあります。
奥歯や前歯が内側(舌側)に倒れ込んでしまったり、歯が生えてくる位置が内側になってしまうことにより歯並びのアーチが狭くなってしまうことを言います。
このような場合、歯並びのアーチを拡大してあげるだけでもガタつきを無くすためのスペースがかなり作れることがあります。
関連する他の症例
マウスピース矯正の注意事項(リスク・副作用など)
- 口腔内・歯並びの状態によっては対応できない場合があります
- マウスピース型矯正装置の長時間装着(1日20時間以上)が必須です
- 治療計画通りに進めるためには、患者様の意志が重要になります
- 矯正治療後の保定が不十分だと後戻り(元の位置に戻ろうとする動き)をします
- 薬機法対象外の矯正歯科装置のため医薬品副作用被害救済制度の対象外となる場合があります
- 自費診療(保険適用外)となります









