【20代女性】噛み合わせのズレからくるガタついた歯列をインビザライン矯正治療
治療概要
- 患者様:20代女性
- 治療期間:1年6ヶ月
- 矯正装置:インビザライン コンプリヘンシブパッケージ
- 概算治療費:88万円
※費用は治療当時の料金となります - 担当医:福本健生
治療動機
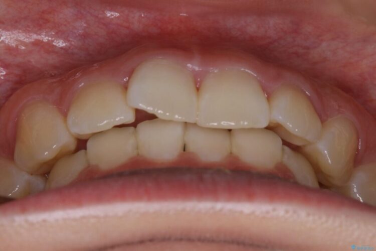
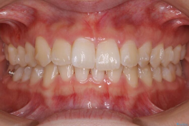
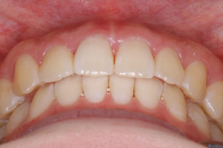
前歯のがたつきを改善したいとのことで来院された患者様です。
治療計画
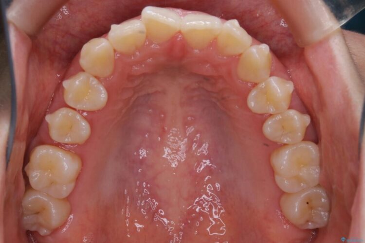
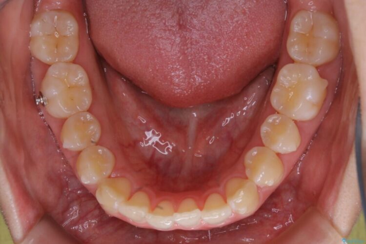
精密検査をしたところ患者様の主訴である前歯のがたつきは奥歯の不正咬合からくるものと判明しました。
部分的な治療か、全体的な治療かを患者様と相談をし、全体をしっかりと治療することとしました。
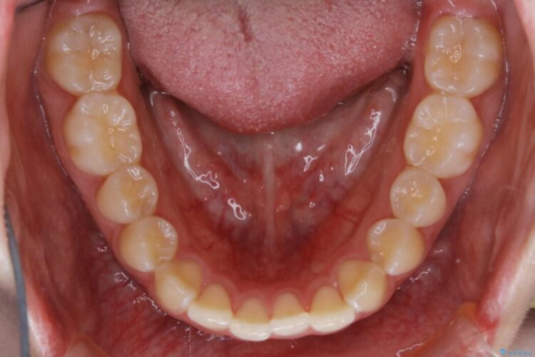
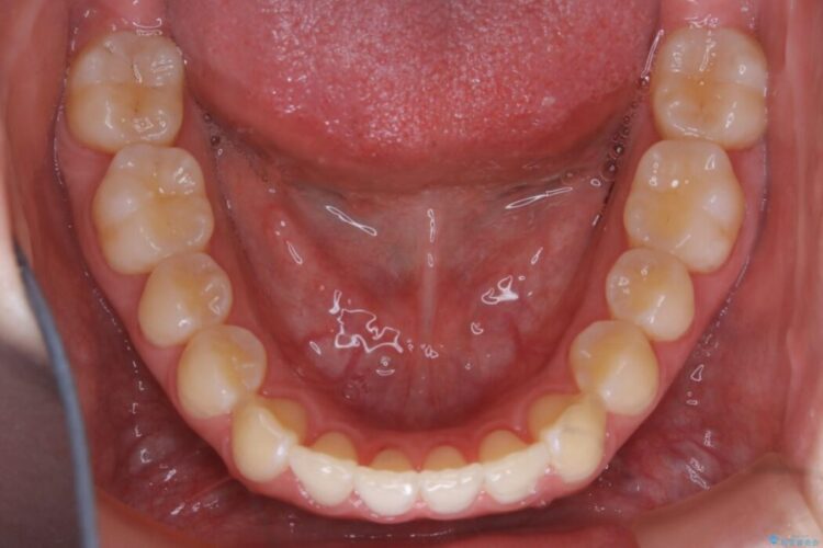
幸い下顎の歯列はがたつきが少なかったため、下顎を基準とし上下ともに正しい噛み合わせと歯列を獲得していく計画としました。
治療後について
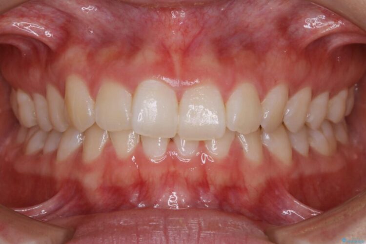
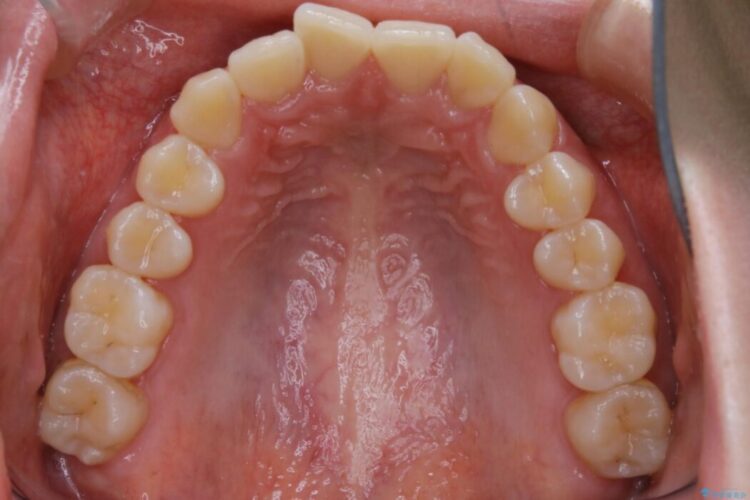
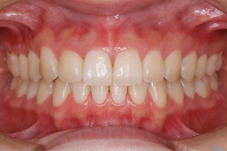
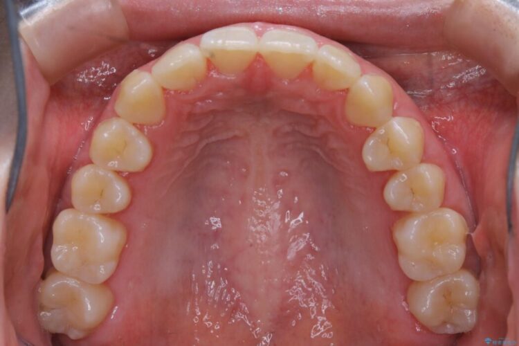
ガタついていた歯列もきれいな歯列弓となりました。
噛み合わせは一見問題ないように見えるとしても精密検査を行った結果、治療した方が良いケースも多々ございます。見た目だけでなく機能面も重視することは口腔内環境を整え歯を長持ちさせるのに非常に重要と考えます。
しかしながら歯科医としての理想を押し付けることが良い治療とはいえません。患者様のご希望も踏まえ、納得のいく方針を話し合い選択していきます。
関連する他の症例
マウスピース矯正の注意事項(リスク・副作用など)
- 口腔内・歯並びの状態によっては対応できない場合があります
- マウスピース型矯正装置の長時間装着(1日20時間以上)が必須です
- 治療計画通りに進めるためには、患者様の意志が重要になります
- 矯正治療後の保定が不十分だと後戻り(元の位置に戻ろうとする動き)をします
- 薬機法対象外の矯正歯科装置のため医薬品副作用被害救済制度の対象外となる場合があります
- 自費診療(保険適用外)となります











