【20代男性】滑舌の悪さを改善したい!舌小帯切除術
治療概要
- 患者様:20代男性
- 治療期間:1ヶ月
- 概算治療費:6.6万円(舌小帯切除術+MFT3回セット)
※費用は治療当時の料金となります - 担当医:福本健生
治療動機
滑舌の悪さを治したいとの主訴で来院、舌小帯切除術をご希望されました。
治療計画
舌小帯切除術の外科手術と並行してMFT(筋機能訓練)という口腔筋機能療法を行う重要性をご説明し、治療していくこととしました。
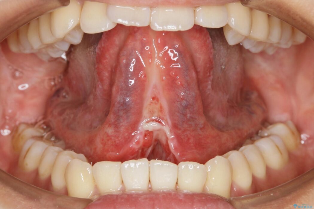
レーザー機器を使用し、縫合レスでの手術となります。
治療後について
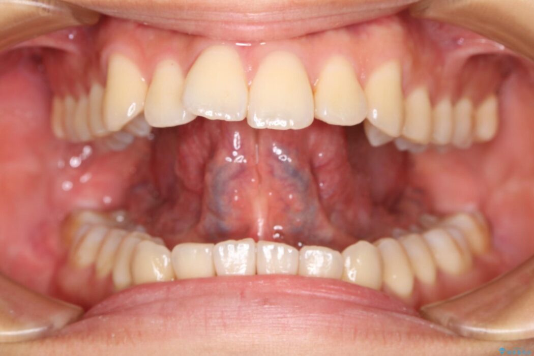
舌小帯(舌の裏側についている線維性のスジ)を切除するだけでは滑舌は改善しません。ですが、舌小帯が短いことによって狭まっていた可動域が手術で広がり動きやすくなります。
手術と合わせて口周りの筋肉を鍛えて滑舌を改善していくことになります。
舌小帯切除術
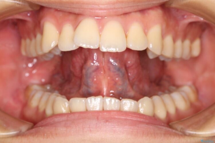
舌小帯は舌の下面についているヒダのことを指します。個人によっても違いますが、舌小帯が短い・硬い場合は舌の動きが制限されてしまいます。それによって滑舌の悪さ、摂食・嚥下に影響を及ぼすことがあります。
このような舌小帯の異常の場合、「舌小帯切除術」を行うことがあります。
本症例ではレーザー機器を用いて手術を行いました。これにより従来のメスを使用する術式と比べて所要時間の短縮が図れ、かつ縫合を必要としないため術後の不快感も軽減することができます。
MFT(筋機能訓練)
MFT(筋機能訓練)とは口周りの筋肉がバランスよく動くように機能を改善させることを目的とした舌運動トレーニングです。舌が本来取るべき自然なポジショニングへの誘導や、使っていなかった筋肉を動かすことで舌の筋肉量の底上げに繋がります。
舌小帯切除術後、そのまま放置してしまうと切除した靱帯が元の短い状態で繋がってしまうことがあります。また手術前までで限られた範囲内のみで運動していた舌は通常の環境下の舌と比較して筋力か弱い傾向にあります。
手術効果を最大限に高めるためにも当院では「MFT(筋機能訓練)」を併用して行うことをおすすめしております。
関連する他の症例
外科処置の注意事項(リスク・副作用など)
- 外科手術のため、術後に出血、痛みや腫れ、違和感を伴います
- 口腔内の状態によっては適応できないことがあります
その他の注意事項(リスク・副作用など)
- 担当歯科医師、歯科衛生士又は医院スタッフから受けた説明・注意事項をよくご確認ください
- 医療を提供するに当たり、適切な説明を行い、患者様の十分な理解を得るよう努めております







