【50代男性】重度の歯周病をインプラントを用いた上顎義歯(入れ歯)で補綴治療
治療概要
- 患者様:50代男性
- 治療期間:1年
- 概算治療費:80万円(義歯と土台部分の料金のみ。インプラント費用は別途必要。)
※費用は治療当時の料金となります - 担当医:福本健生
治療動機
口腔内に痛みがあり、日常に支障が出ているとのことで来院されました。
治療計画
検査をしたところ、重度の歯周病を認めました。
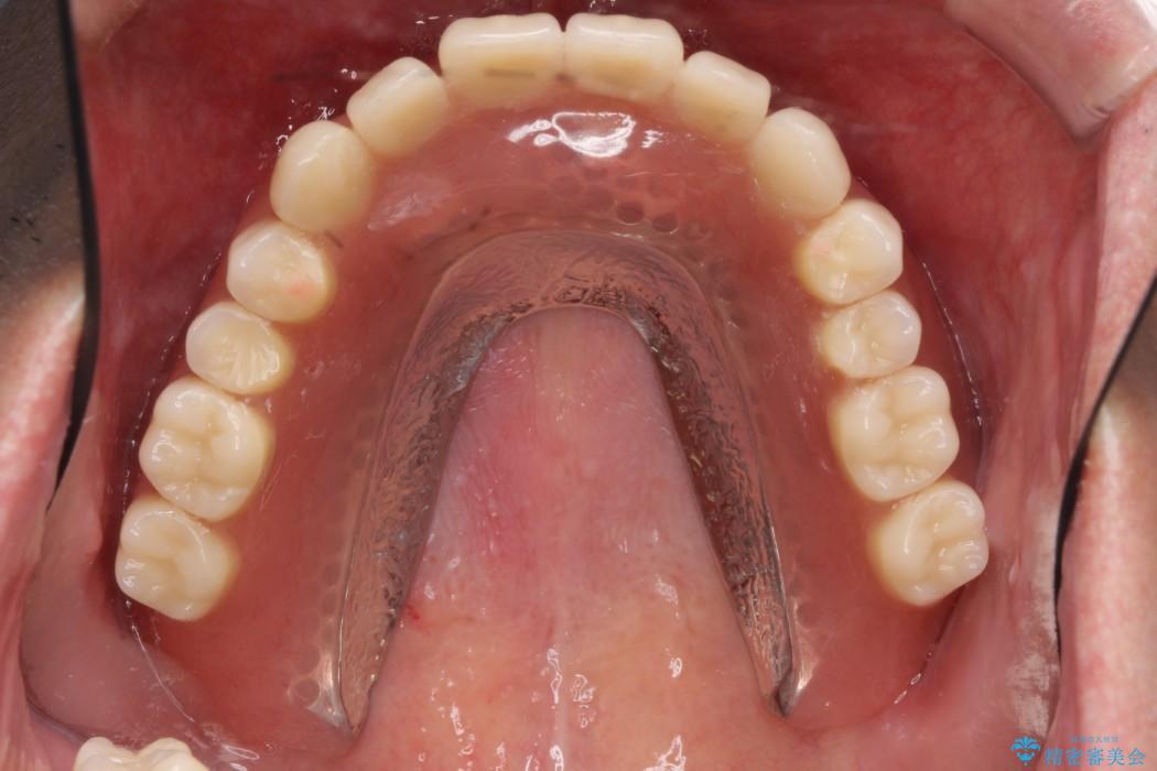
状態から残せないと判断した歯を抜歯、噛み合わせ回復のため土台にインプラントを用いた上顎義歯にて補綴治療をすることとしました。
治療後について
審美的にも機能的にも回復し、治療後の仕上がりに満足していただけました。
歯周病について
歯周病は痛みがないまま自覚症状のないうちに病気が進行するため、サイレントディジーズ(静かなる病気)とも呼ばれます。
痛みが出た時には既に重度の状態となっていて手遅れとなってしまう場合が多々あり、最終的には歯の脱落へとつながります。歯周病やそれ以外の病気の予防と早期発見のためにも、定期健診をおすすめいたします。
マグネットオーバーデンチャーについて
本症例では失った歯を補うため、マグネットを使用したインプラントの入れ歯(マグネットオーバーデンチャー)という維持機構を使用しました。
マグネットタイプは無理な側方力がかかると入れ歯が外れるため、口腔内に設置する装置が他の維持装置と比べてインプラント体や支台歯へ大きな負担がかかることを防止してくれます。
また着脱が簡単であり、磁石の固定によりガタつかず非常に安定します。
マグネットオーバーデンチャーのリスクについて
・インプラント手術を併用するため、手術後は痛みや腫れなどの違和感があります。
・自費診療(保険適用外)です。
関連する他の症例
入れ歯の注意事項(リスク・副作用など)
- ブリッジやインプラントと比較して、色が合いづらい、見た目の違和感があります
- ブリッジやインプラントと比較して、話しにくい、舌が当たる等の違和感があります
- 慣れるまで微調整で何度か通って頂くことがあります
- 就寝時や食後に毎回取り外して、清掃する必要があります
- 自費診療(保険適用外)となります




