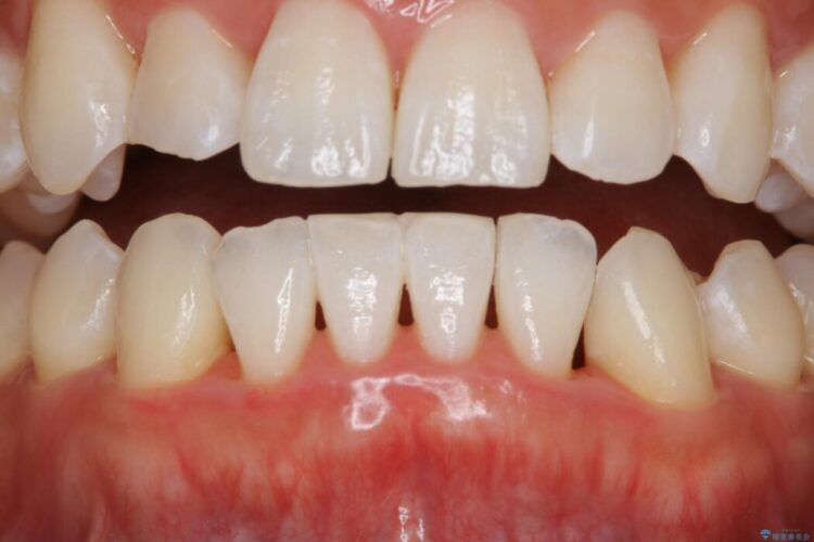
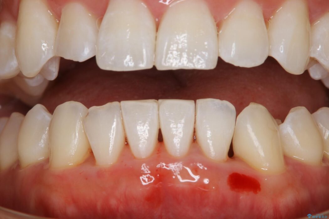
【30代男性】歯肉のブラックトライアングル治療
治療概要
- 患者様:30代男性
- 治療期間:1日
- 概算治療費:3.3万円(個々に1.0㎖のヒアルロン酸注射をご購入いただく金額。注入ヵ所数による金額変動はありませんが、1.0㎖を超える場合は2本目のシリンジ購入が必要となります)
※費用は治療当時の料金となります - 担当医:福本健生
治療動機
矯正治療中の患者様が治療期間中に結婚式を迎えられ、ブラックトライアングルを埋めたいとのことで、ヒアルロン酸注射をご提案しました。
治療後について
永続的に効果のある処置ではないものの、結婚式のような大きなイベントを迎えるにあたって患者様が気になっていたブラックトライアングルを埋めることができ喜んでいただけました。
矯正治療後のブラックトライアングルの改善方法
矯正治療後に、歯と歯の間の歯肉が下がって、黒く抜けた隙間ができることがあります。これを「ブラックトライアングル」と呼びます。
ブラックトライアングルの改善方法には、大きく分けて2つあります。
1つ目は、歯を移動させる方法です。歯を移動させることで、歯と歯の間の距離を縮め、ブラックトライアングルを見えにくくすることができます。この方法は、ブラックトライアングルの原因が歯の不整列にある場合に有効ですが、歯を移動させるには時間と費用がかかります。
もう1つは、ヒアルロン酸を注射する方法です。ヒアルロン酸を歯肉に注入することで、歯肉の厚みを増し、ブラックトライアングルを見えにくくすることができます。この方法は、歯の移動が難しい場合や、ブラックトライアングルをすぐに改善したい場合に有効です。ただし、ヒアルロン酸は徐々に吸収されるため、定期的にメンテナンスや再注入が必要です。
具体的には、以下のような点に考慮して、治療方法を検討します。
・ブラックトライアングルの原因
・ブラックトライアングルの程度
・患者様の希望
また、矯正治療中のブラックトライアングルの予防対策として、歯磨きの仕方を正しく行うことも重要です。歯磨きが不十分で歯肉炎や歯周病になると、歯肉が下がってブラックトライアングルが目立つことがあります。
①歯の移動
メリット:ブラックトライアングルを根本的に改善できる
デメリット:時間と費用がかかる
②ヒアルロン酸注射
メリット:すぐに改善できる
デメリット:定期的なメンテナンス・再注入が必要
ブラックトライアングルは、矯正治療以外の原因でも起こることがあります。例えば、歯磨きが不十分で歯肉炎や歯周病になっている場合、歯肉が下がってブラックトライアングルが目立つことがあります。このような場合は、歯磨きの仕方を改善したり、歯周病の治療を受けたりすることで、ブラックトライアングルを改善できる可能性があります。
ヒアルロン酸注射の注意事項(リスク・副作用など)
・ヒアルロン酸は吸収性があるため効果は永続的ではありません。
・針を刺すため、軽度の内出血が起こります。
・注入箇所に細菌が入り、感染症を起こすことが稀にあります。
・アレルギー反応を引き起こすことが稀にあります。
関連する他の症例
その他の注意事項(リスク・副作用など)
- 担当歯科医師、歯科衛生士又は医院スタッフから受けた説明・注意事項をよくご確認ください
- 医療を提供するに当たり、適切な説明を行い、患者様の十分な理解を得るよう努めております




