【20代女性】ブライダルに向けた矯正できれいなスマイルラインへ
治療概要
- 患者様:20代女性
- 治療期間:1年10ヶ月
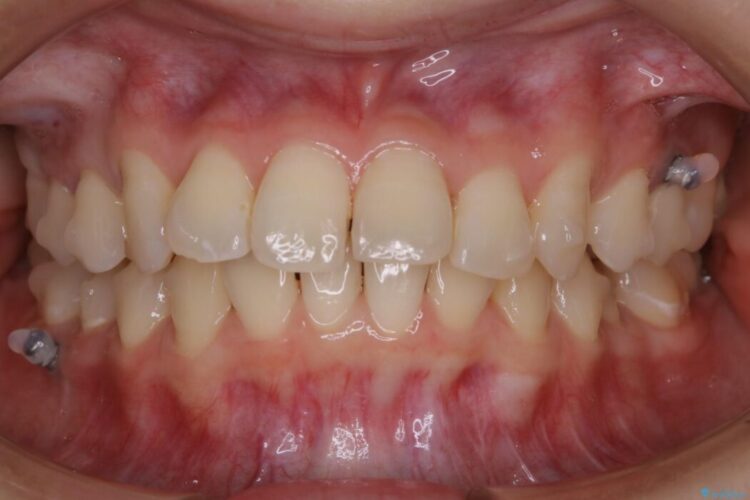
- 矯正装置:インビザライン コンプリヘンシブパッケージ
- 概算治療費:88万円(マイクロインプラント費用込)
※費用は治療当時の料金となります - 担当医:福本健生
治療動機
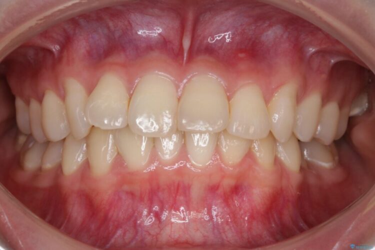
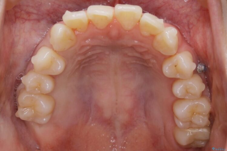
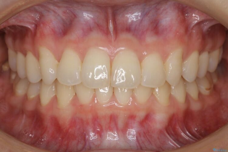
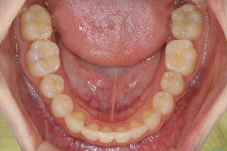
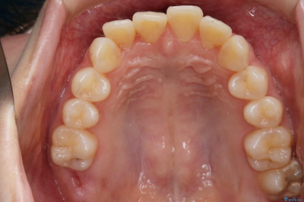
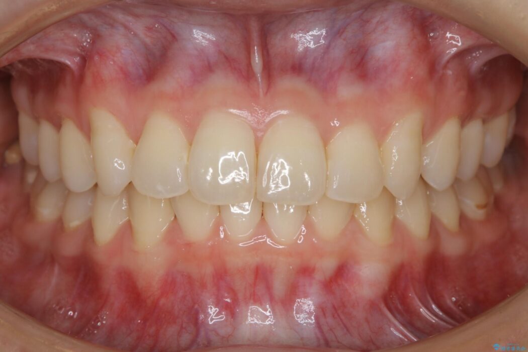
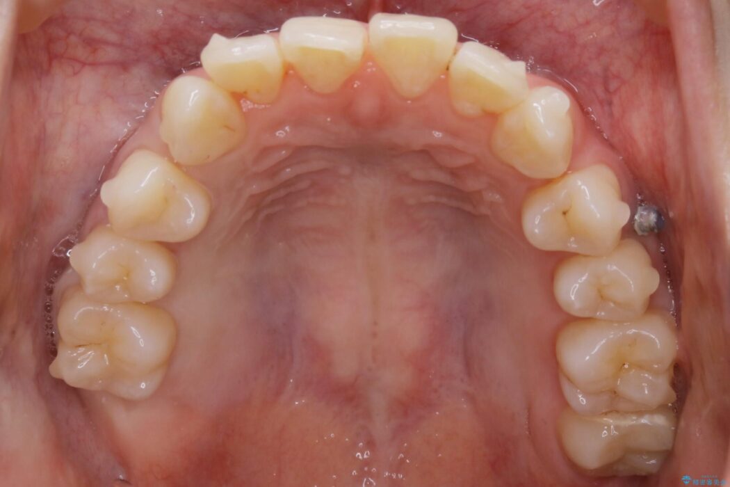
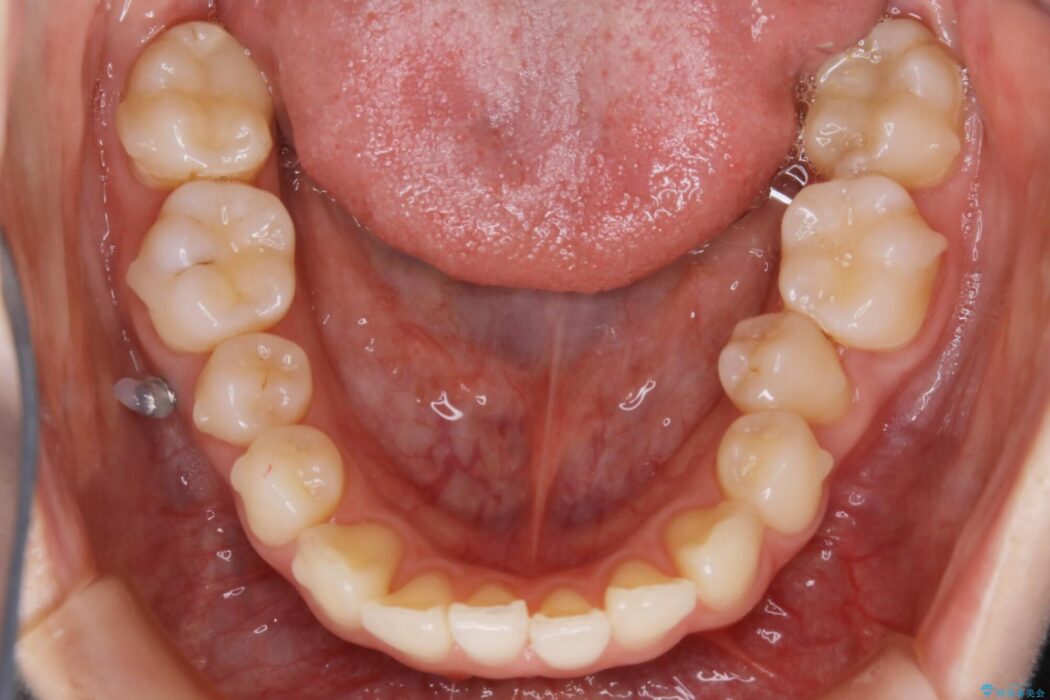
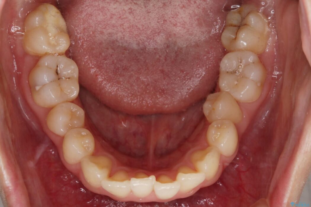
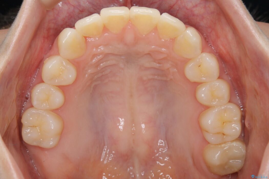
笑った時に見える歯並びをきれいにしたいとの主訴で来院されました。
治療計画
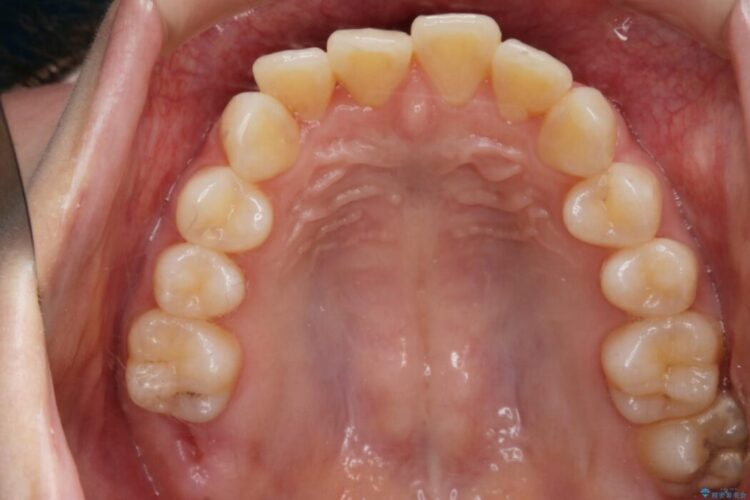
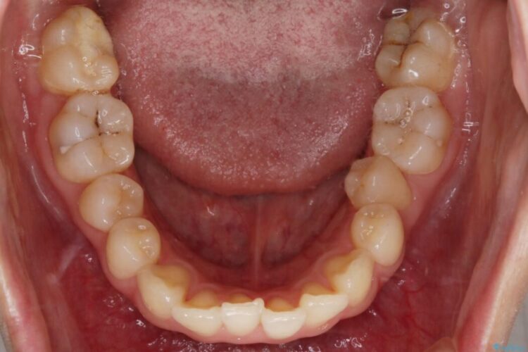
ガタつきの度合いから抜歯は不要と判断しましたので、マイクロインプラントを用いて歯全体を遠心移動させていくことでねじれや噛み合わせのズレを改善していく計画を立てました。
大切なイベント前までに
結婚式やブライダルフォトに向けて矯正治療をご希望される患者さまはとても多くいらっしゃいます。
矯正治療を行うにあたって、抜歯の判断、矯正装置の種類選択、ガタつきの量、歯の移動距離など様々な要素が治療期間や過程に影響を与えます。
したがって歯の状態により結婚式の直前から矯正を開始しても当日までに満足のいく効果が得られない可能性も否定できません。
結婚式のように時期や期限が決まっている予定がある場合には、なるべく早めにご相談へ行かれることをお勧めいたします。
関連する他の症例
マウスピース矯正の注意事項(リスク・副作用など)
- 口腔内・歯並びの状態によっては対応できない場合があります
- マウスピース型矯正装置の長時間装着(1日20時間以上)が必須です
- 治療計画通りに進めるためには、患者様の意志が重要になります
- 矯正治療後の保定が不十分だと後戻り(元の位置に戻ろうとする動き)をします
- 薬機法対象外の矯正歯科装置のため医薬品副作用被害救済制度の対象外となる場合があります
- 自費診療(保険適用外)となります









