【30代女性】非抜歯で噛み合わせとガタつきの改善
治療概要
- 患者様:30代女性
- 治療期間:1年6ヶ月
- 矯正装置:インビザライン コンプリヘンシブパッケージ
- 概算治療費:90.2万円(マイクロインプラント費用込)
※費用は治療当時の料金となります - 担当医:福本健生
治療動機
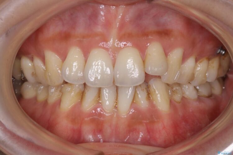
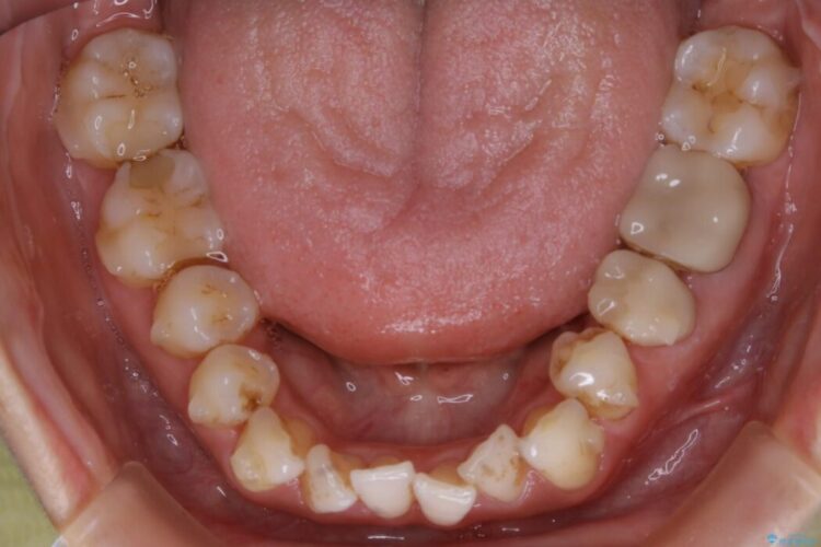
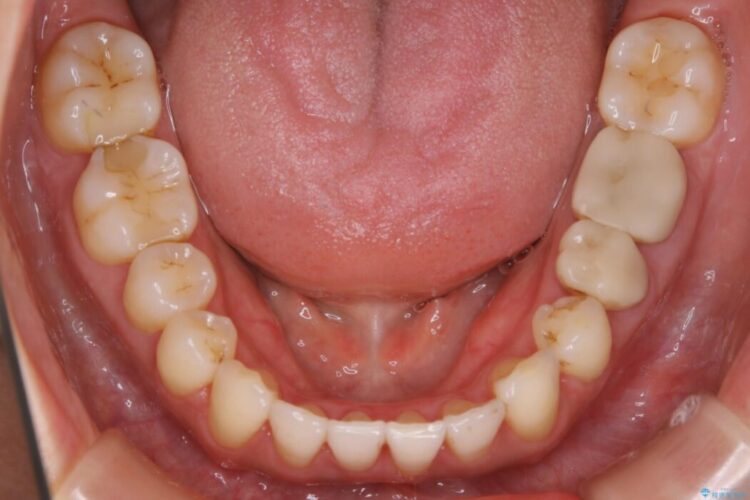
ガタガタした歯列の見栄えが悪く歯磨きがしづらいとのことで来院されました。
治療計画
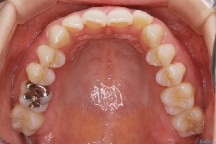
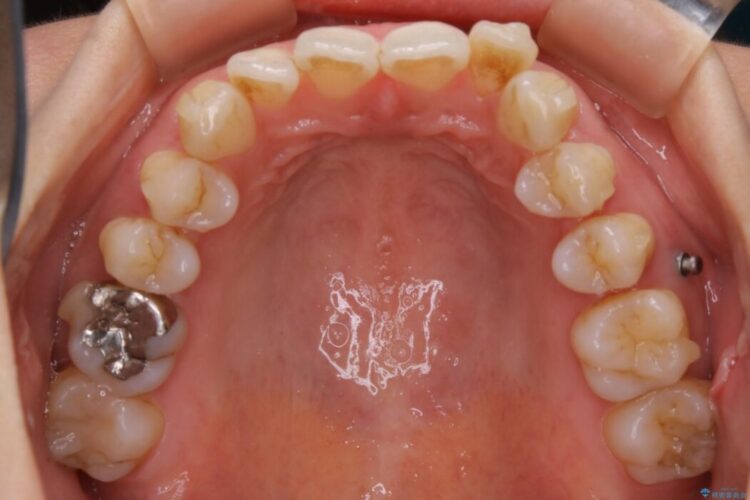
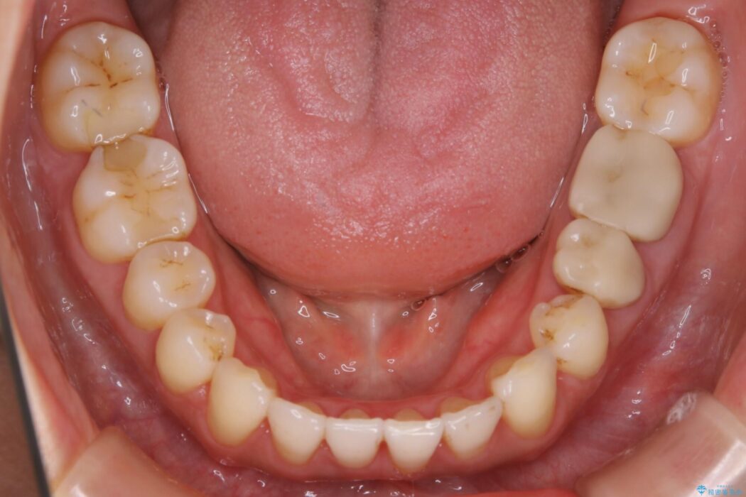
検査したところ歯の叢生自体は歯列幅の拡大やディスキング(IPR)で解決できる範囲内でした。
ですが、上顎左側の歯が前方へ寄っている状態であるため噛み合わせにズレが生じていました。
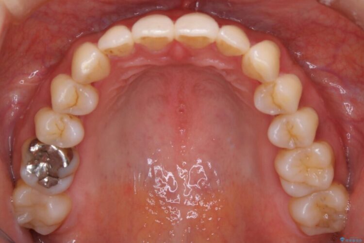
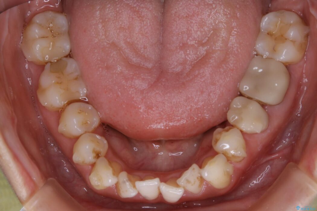
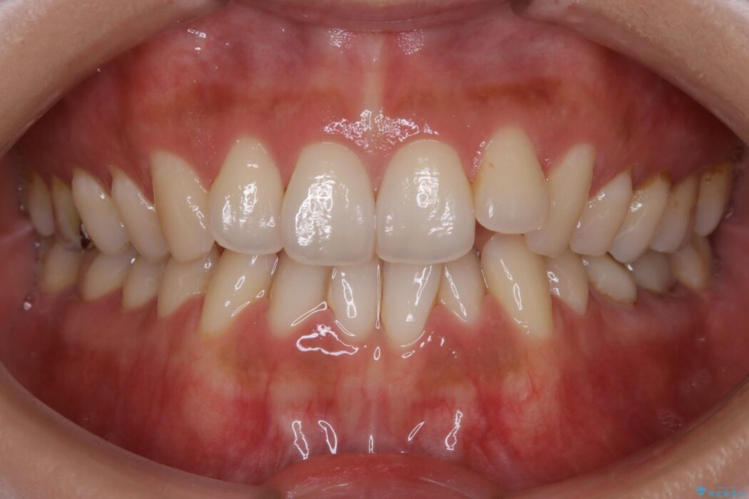
よって噛み合わせのズレをマイクロインプラントを使用して歯を移動させ、インビザラインにて歯列の整えを行うこととしました。
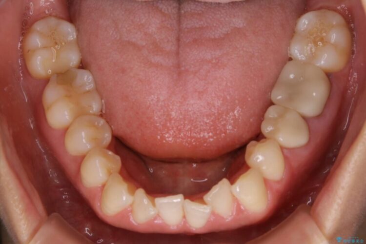
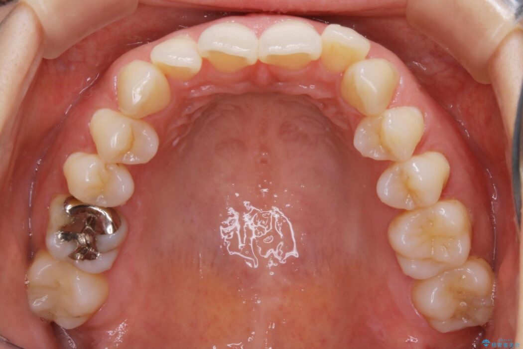
治療後について
笑った時の歯の見え方が改善され患者様にご満足いただけました。
ガタつきが生じる原因
生えている歯に対して顎の骨が小さいなどでスペースが足りないため舌側へ倒れてしまったり、歯列からはみ出てしまうことがあります。
歯列幅の狭窄の場合は歯列弓を拡大するだけでも歯列を整えるだけのスペース確保が可能になる場合があります。
ディスキング(IPR)について
矯正治療において歯を動かすスペースが必要となります。
その際に歯と歯の間を薄く最大0.5mmまでの範囲内で削りスペースと確保する処置をディスキング(IPR)といいます。
当院ではなるべく歯の機能や見た目に影響の出ないよう、作業時に拡大鏡(マイクロスコープ)の使用や削るタイミングの微調整を行っています。
関連する他の症例
マウスピース矯正の注意事項(リスク・副作用など)
- 口腔内・歯並びの状態によっては対応できない場合があります
- マウスピース型矯正装置の長時間装着(1日20時間以上)が必須です
- 治療計画通りに進めるためには、患者様の意志が重要になります
- 矯正治療後の保定が不十分だと後戻り(元の位置に戻ろうとする動き)をします
- 薬機法対象外の矯正歯科装置のため医薬品副作用被害救済制度の対象外となる場合があります
- 自費診療(保険適用外)となります









